ARG58302
anti-Bcl 2L2 / Bcl W antibody
anti-Bcl 2L2 / Bcl W antibody for Flow cytometry,IHC-Formalin-fixed paraffin-embedded sections,Western blot and Human
概述
| 产品描述 | Rabbit Polyclonal antibody recognizes Bcl 2L2 / Bcl W |
|---|---|
| 反应物种 | Hu |
| 预测物种 | Hm |
| 应用 | FACS, IHC-P, WB |
| 宿主 | Rabbit |
| 克隆 | Polyclonal |
| 同位型 | IgG |
| 靶点名称 | Bcl 2L2 / Bcl W |
| 抗原物种 | Human |
| 抗原 | Synthetic peptide corresponding to a sequence in the middle region of Human BCL2L2(74-88aa SAQQRFTQVSDELFQ), identical to the related Rat and Mouse sequences. |
| 偶联标记 | Un-conjugated |
| 別名 | PPP1R51; Bcl-2-like protein 2; Bcl2-L-2; BCLW; Apoptosis regulator Bcl-W; BCL-W; BCL2-L-2 |
应用说明
| 应用建议 |
|
||||||||
|---|---|---|---|---|---|---|---|---|---|
| 应用说明 | IHC-P: Antigen Retrieval: Heat mediated was performed in Citrate buffer (pH 6.0) for 20 min. * The dilutions indicate recommended starting dilutions and the optimal dilutions or concentrations should be determined by the scientist. |
属性
| 形式 | Liquid |
|---|---|
| 纯化 | Affinity purification with immunogen. |
| 缓冲液 | 0.9% NaCl, 0.2% Na2HPO4, 0.05% Thimerosal, 0.05% Sodium azide and 5% BSA. |
| 抗菌剂 | 0.05% Thimerosal and 0.05% Sodium azide |
| 稳定剂 | 5% BSA |
| 浓度 | 0.5 mg/ml |
| 存放说明 | For continuous use, store undiluted antibody at 2-8°C for up to a week. For long-term storage, aliquot and store at -20°C or below. Storage in frost free freezers is not recommended. Avoid repeated freeze/thaw cycles. Suggest spin the vial prior to opening. The antibody solution should be gently mixed before use. |
| 注意事项 | For laboratory research only, not for drug, diagnostic or other use. |
生物信息
| 数据库连接 | |
|---|---|
| 基因名称 | BCL2L2 |
| 全名 | BCL2-like 2 |
| 背景介绍 | This gene encodes a member of the BCL-2 protein family. The proteins of this family form hetero- or homodimers and act as anti- and pro-apoptotic regulators. Expression of this gene in cells has been shown to contribute to reduced cell apoptosis under cytotoxic conditions. Studies of the related gene in mice indicated a role in the survival of NGF- and BDNF-dependent neurons. Mutation and knockout studies of the mouse gene demonstrated an essential role in adult spermatogenesis. Alternative splicing results in multiple transcript variants. Read-through transcription also exists between this gene and the neighboring downstream PABPN1 (poly(A) binding protein, nuclear 1) gene. [provided by RefSeq, Dec 2010] |
| 生物功能 | Promotes cell survival. Blocks dexamethasone-induced apoptosis. Mediates survival of postmitotic Sertoli cells by suppressing death-promoting activity of BAX. [UniProt] |
| 细胞定位 | Mitochondrion membrane; Peripheral membrane protein. Loosely associated with the mitochondrial membrane in healthy cells. During apoptosis, tightly bound to the membrane. [UniProt] |
| 预测分子量 | 21 kDa |
检测图片 (3) Click the Picture to Zoom In
-
ARG58302 anti-Bcl 2L2 / Bcl W antibody FACS image
Flow Cytometry: PC-3 cells were blocked with 10% normal goat serum, and then stained with ARG58302 anti-Bcl 2L2 / Bcl W antibody (blue) at 1 µg/10^6 cells for 30 min at 20°C, followed by DyLight®488 labelled secondary antibody. Isotype control antibody (green) was rabbit IgG (1 µg/10^6 cells) used under the same conditions. Unlabelled sample (red) was also used as a control.
-
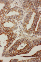
ARG58302 anti-Bcl 2L2 / Bcl W antibody IHC-P image
Immunohistochemistry: Paraffin-embedded Human rectal cancer tissue. Antigen Retrieval: Heat mediated was performed in Citrate buffer (pH 6.0, epitope retrieval solution) for 20 min. The tissue section was blocked with 10% goat serum. The tissue section was then stained with ARG58302 anti-Bcl 2L2 / Bcl W antibody at 1 µg/ml dilution, overnight at 4°C.
-
ARG58302 anti-Bcl 2L2 / Bcl W antibody WB image
Western blot: 50 µg of HeLa whole cell lysate stained with ARG58302 anti-Bcl 2L2 / Bcl W antibody at 0.5 µg/ml, overnight at 4°C, under reducing conditions.
