ARG58291
anti-Bcl 2A1 antibody
anti-Bcl 2A1 antibody for IHC-Formalin-fixed paraffin-embedded sections,Western blot and Human,Mouse
概述
| 产品描述 | Rabbit Polyclonal antibody recognizes Bcl 2A1 |
|---|---|
| 反应物种 | Hu, Ms |
| 应用 | IHC-P, WB |
| 特异性 | At least two isoforms of Bcl2A1 are known to exist; this antibody will only detect the larger isoform. |
| 宿主 | Rabbit |
| 克隆 | Polyclonal |
| 同位型 | IgG |
| 靶点名称 | Bcl 2A1 |
| 抗原物种 | Human |
| 抗原 | Synthetic peptide corresponding to 14 aa (C-terminus) of Human Bcl2A1. |
| 偶联标记 | Un-conjugated |
| 別名 | BCL2L5; GRS; HBPA1; Bcl-2-like protein 5; Bcl-2-related protein A1; BFL1; Bcl2-L-5; Hemopoietic-specific early response protein; ACC-1; Protein GRS; ACC-2; ACC1; Protein BFL-1; ACC2 |
应用说明
| 应用建议 |
|
||||||
|---|---|---|---|---|---|---|---|
| 应用说明 | * The dilutions indicate recommended starting dilutions and the optimal dilutions or concentrations should be determined by the scientist. | ||||||
| 阳性对照 | Human kidney | ||||||
| 实际分子量 | 29 kDa |
属性
| 形式 | Liquid |
|---|---|
| 纯化 | Affinity purification with immunogen. |
| 缓冲液 | PBS and 0.02% Sodium azide |
| 抗菌剂 | 0.02% Sodium azide |
| 浓度 | 1 mg/ml |
| 存放说明 | For continuous use, store undiluted antibody at 2-8°C for up to a week. For long-term storage, aliquot and store at -20°C or below. Storage in frost free freezers is not recommended. Avoid repeated freeze/thaw cycles. Suggest spin the vial prior to opening. The antibody solution should be gently mixed before use. |
| 注意事项 | For laboratory research only, not for drug, diagnostic or other use. |
生物信息
| 数据库连接 | |
|---|---|
| 基因名称 | BCL2A1 |
| 全名 | BCL2-related protein A1 |
| 背景介绍 | This gene encodes a member of the BCL-2 protein family. The proteins of this family form hetero- or homodimers and act as anti- and pro-apoptotic regulators that are involved in a wide variety of cellular activities such as embryonic development, homeostasis and tumorigenesis. The protein encoded by this gene is able to reduce the release of pro-apoptotic cytochrome c from mitochondria and block caspase activation. This gene is a direct transcription target of NF-kappa B in response to inflammatory mediators, and is up-regulated by different extracellular signals, such as granulocyte-macrophage colony-stimulating factor (GM-CSF), CD40, phorbol ester and inflammatory cytokine TNF and IL-1, which suggests a cytoprotective function that is essential for lymphocyte activation as well as cell survival. Alternatively spliced transcript variants encoding different isoforms have been found for this gene. [provided by RefSeq, Jul 2008] |
| 生物功能 | Retards apoptosis induced by IL-3 deprivation. May function in the response of hemopoietic cells to external signals and in maintaining endothelial survival during infection (By similarity). Can inhibit apoptosis induced by serum starvation in the mammary epithelial cell line HC11 (By similarity). [UniProt] |
| 预测分子量 | 20 kDa |
检测图片 (3) Click the Picture to Zoom In
-
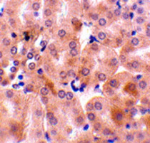
ARG58291 anti-Bcl 2A1 antibody IHC image
Immunohistochemistry: Mouse kidney tissue stained with ARG58291 anti-Bcl 2A1 antibody at 20 µg/ml dilution.
-
ARG58291 anti-Bcl 2A1 antibody WB image
Western blot: Human kidney and Human lung tissue lysates stained with ARG58291 anti-Bcl 2A1 antibody at 1 µg/ml dilution.
-
ARG58291 anti-Bcl 2A1 antibody IHC-P image
Immunohistochemistry: Mouse kidney tissue stained with ARG58291 anti-Bcl 2A1 antibody at 10 µg/ml dilution.
