ARG45129
anti-Bag1 antibody
anti-Bag1 antibody for IHC-Formalin-fixed paraffin-embedded sections,Western blot and Human,Mouse,Rat
概述
| 产品描述 | Rabbit Polyclonal antibody recognizes Bag1 |
|---|---|
| 反应物种 | Hu, Ms, Rat |
| 应用 | IHC-P, WB |
| 宿主 | Rabbit |
| 克隆 | Polyclonal |
| 同位型 | IgG |
| 靶点名称 | Bag1 |
| 抗原物种 | Human |
| 抗原 | Synthetic peptide corresponding to C-terminal region of human BAG1. |
| 偶联标记 | Un-conjugated |
| 別名 | BAG1; BAG Cochaperone; BAG family molecular chaperone regulator 1; BAG-1; Bcl-2-associated athanogene 1; BAG1; HAP; BCL2 Associated Athanogene; HAP; Glucocortoid Receptor-Associated Protein RAP46 ; Bcl-2 Associating Athanogene-1 Protein; Receptor-Associated Protein, 46-KD; BCL2 Associated Athanogene; BCL2-Associated Athanogene; Bcl-2-Binding Protein; RAP46 |
应用说明
| 应用建议 |
|
||||||
|---|---|---|---|---|---|---|---|
| 应用说明 | * The dilutions indicate recommended starting dilutions and the optimal dilutions or concentrations should be determined by the scientist. | ||||||
| 实际分子量 | 33, 46, 56 kDa |
属性
| 形式 | Liquid |
|---|---|
| 纯化 | Affinity purification with immunogen. |
| 缓冲液 | 0.2% Na2HPO4, 0.9% NaCl and 4% Trehalose. |
| 稳定剂 | 4% Trehalose |
| 浓度 | 0.5 mg/ml |
| 存放说明 | For continuous use, store undiluted antibody at 2-8°C for up to a week. For long-term storage, aliquot and store at -20°C or below. Storage in frost free freezers is not recommended. Avoid repeated freeze/thaw cycles. Suggest spin the vial prior to opening. The antibody solution should be gently mixed before use. |
| 注意事项 | For laboratory research only, not for drug, diagnostic or other use. |
生物信息
| 数据库连接 | |
|---|---|
| 基因名称 | BAG1 |
| 全名 | BAG Cochaperone |
| 背景介绍 | The oncogene BCL2 is a membrane protein that blocks a step in a pathway leading to apoptosis or programmed cell death. The protein encoded by this gene binds to BCL2 and is referred to as BCL2-associated athanogene. It enhances the anti-apoptotic effects of BCL2 and represents a link between growth factor receptors and anti-apoptotic mechanisms. Multiple protein isoforms are encoded by this mRNA through the use of a non-AUG (CUG) initiation codon, and three alternative downstream AUG initiation codons. A related pseudogene has been defined on chromosome X. [provided by RefSeq, Feb 2010] |
| 生物功能 | Co-chaperone for HSP70 and HSC70 chaperone proteins. Acts as a nucleotide-exchange factor (NEF) promoting the release of ADP from the HSP70 and HSC70 proteins thereby triggering client/substrate protein release. Nucleotide release is mediated via its binding to the nucleotide-binding domain (NBD) of HSPA8/HSC70 where as the substrate release is mediated via its binding to the substrate-binding domain (SBD) of HSPA8/HSC70. [UniProt] |
| 细胞定位 | Nucleus; Cytoplasm. [UniProt] |
| 预测分子量 | 39 kDa |
| 翻译后修饰 | Phosphoprotein; Ubl conjugation. [UniProt] |
检测图片 (4) Click the Picture to Zoom In
-
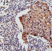
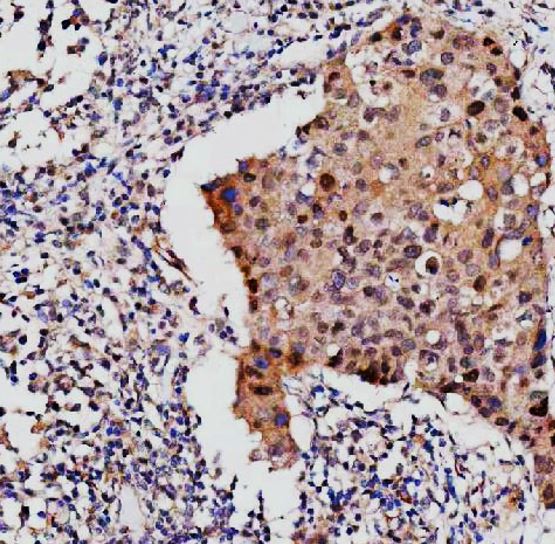
ARG45129 anti-Bag1 antibody IHC-P image
Immunohistochemistry: Human breast cancer stained with ARG45129 anti-Bag1 antibody at 2 μg/ml dilution.
-
ARG45129 anti-Bag1 antibody WB image
Western blot: Hela, Jurkat, MCF-7, and 293T stained with ARG45129 anti-Bag1 antibody at 0.5 μg/ml dilution.
-
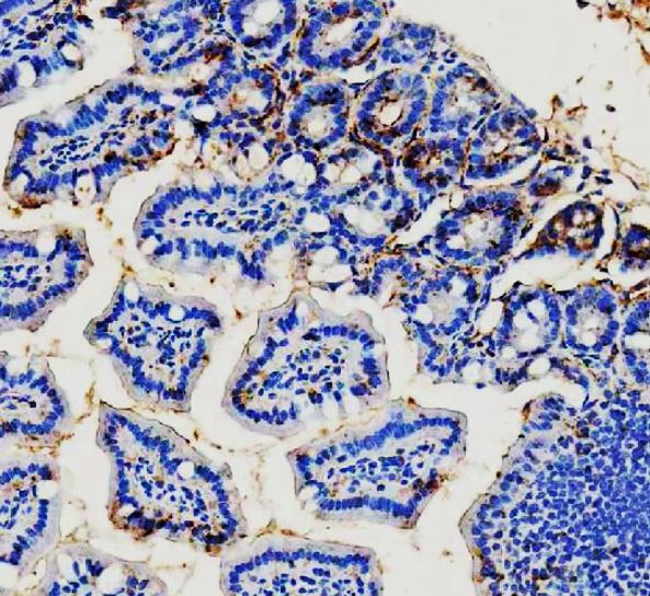
ARG45129 anti-Bag1 antibody IHC-P image
Immunohistochemistry: Rat colon stained with ARG45129 anti-Bag1 antibody at 2 μg/ml dilution.
-
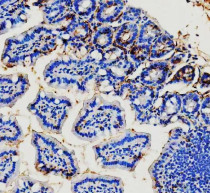
ARG45129 anti-Bag1 antibody IHC-P image
Immunohistochemistry: Mouse colon stained with ARG45129 anti-Bag1 antibody at 2 μg/ml dilution.
