ARG70010
anti-BTBD9 antibody
anti-BTBD9 antibody for Flow cytometry,IHC-Formalin-fixed paraffin-embedded sections,Western blot and Human,Mouse
Gene Regulation antibody
概述
| 产品描述 | Rabbit Polyclonal antibody recognizes BTBD9 |
|---|---|
| 反应物种 | Hu, Ms |
| 预测物种 | Bov, Rat |
| 应用 | FACS, IHC-P, WB |
| 宿主 | Rabbit |
| 克隆 | Polyclonal |
| 同位型 | IgG |
| 靶点名称 | BTBD9 |
| 抗原物种 | Human |
| 抗原 | KLH-conjugated synthetic peptide within 237 to 262 aa (center) of Human BTBD9 protein (NP_001092742.1) |
| 偶联标记 | Un-conjugated |
| 別名 | dJ322I12.1; BTB/POZ domain-containing protein 9 |
应用说明
| 应用建议 |
|
||||||||
|---|---|---|---|---|---|---|---|---|---|
| 应用说明 | * The dilutions indicate recommended starting dilutions and the optimal dilutions or concentrations should be determined by the scientist. | ||||||||
| 阳性对照 | Jurkat |
属性
| 形式 | Liquid |
|---|---|
| 纯化 | Purification with Protein A. |
| 缓冲液 | PBS and 0.09% (W/V) Sodium azide |
| 抗菌剂 | 0.09% (W/V) Sodium azide |
| 存放说明 | For continuous use, store undiluted antibody at 2-8°C for up to a week. For long-term storage, aliquot and store at -20°C or below. Storage in frost free freezers is not recommended. Avoid repeated freeze/thaw cycles. Suggest spin the vial prior to opening. The antibody solution should be gently mixed before use. |
| 注意事项 | For laboratory research only, not for drug, diagnostic or other use. |
生物信息
| 数据库连接 |
Swiss-port # Q8C726 Mouse BTB/POZ domain-containing protein 9 Swiss-port # Q96Q07 Human BTB/POZ domain-containing protein 9 |
|---|---|
| 基因名称 | BTBD9 |
| 全名 | BTB (POZ) domain containing 9 |
| 背景介绍 | BTB/POZ domain-containing protein is known to be involved in protein-protein interactions. Polymorphisms at this locus have been reported to be associated with susceptibility to Restless Legs Syndrome and may also be associated with Tourette Syndrome. Alternatively spliced transcript variants have been described. [provided by RefSeq, Aug 2011] |
| 研究领域 | Gene Regulation antibody |
| 预测分子量 | 69 kDa |
检测图片 (3) Click the Picture to Zoom In
-
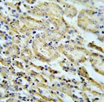
ARG70010 anti-BTBD9 antibody IHC-P image
Immunohistochemistry: Formalin-fixed and paraffin-embedded Mouse kidney tissue stained with ARG70010 anti-BTBD9 antibody.
-
ARG70010 anti-BTBD9 antibody WB image
Western blot: 15 µg of Jurkat cell lysate stained with ARG70010 anti-BTBD9 antibody.
-
ARG70010 anti-BTBD9 antibody FACS image
Flow Cytometry: Jurkat cells stained with ARG70010 anti-BTBD9 antibody (bottom histogram) or without primary antibody control (top histogram), followed by incubation with FITC labelled secondary antibody.
