ARG46052
anti-BRSK2 / STK29 antibody
anti-BRSK2 / STK29 antibody for Western blot,IHC-Formalin-fixed paraffin-embedded sections and Human,Mouse
概述
| 产品描述 | Rabbit Polyclonal antibody recognizes BRSK2 / STK29 |
|---|---|
| 反应物种 | Hu, Ms |
| 应用 | IHC-P, WB |
| 宿主 | Rabbit |
| 克隆 | Polyclonal |
| 同位型 | IgG |
| 靶点名称 | BRSK2 / STK29 |
| 抗原物种 | Human |
| 抗原 | A 23 amino acid synthetic peptide within aa. 630 - 680 of human BRSK2 / STK29. |
| 偶联标记 | Un-conjugated |
| 別名 | BRSK2; SAD1; STK29; PEN11B; C11orf7; BR serine/threonine kinase 2; serine/threonine kinase 29; homolog of SAD-1 (C. elegans); chromosome 11 open reading frame 7; chromsosome 11 open reading frame 7; FLJ41362; protein kinase SAD1B; serine/threonine kinase SAD-A |
应用说明
| 应用建议 |
|
||||||
|---|---|---|---|---|---|---|---|
| 应用说明 | * The dilutions indicate recommended starting dilutions and the optimal dilutions or concentrations should be determined by the scientist. |
属性
| 纯化 | Affinity chromatography purified |
|---|---|
| 缓冲液 | PBS and 0.02% Sodium azide. |
| 抗菌剂 | 0.02% Sodium azide |
| 浓度 | 1 mg/ml |
| 存放说明 | For continuous use, store undiluted antibody at 2-8°C for up to a week. For long-term storage, aliquot and store at -20°C. Storage in frost free freezers is not recommended. Avoid repeated freeze/thaw cycles. Suggest spin the vial prior to opening. The antibody solution should be gently mixed before use. |
| 注意事项 | For laboratory research only, not for drug, diagnostic or other use. |
生物信息
| 数据库连接 |
Swiss-port # Q69Z98 Mouse Serine/threonine-protein kinase BRSK2 Swiss-port # Q8IWQ3 Human Serine/threonine-protein kinase BRSK2 |
|---|---|
| 基因名称 | BRSK2 |
| 全名 | BR serine/threonine kinase 2 |
检测图片 (3) Click the Picture to Zoom In
-
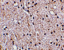
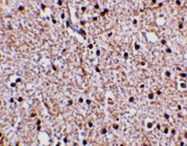
ARG46052 anti-BRSK2 / STK29 antibody IHC-P image
Immunohistochemistry: Human brain stained with ARG46052 anti-BRSK2 / STK29 antibody.
-
ARG46052 anti-BRSK2 / STK29 antibody ICC/IF image
Immunofluorescence: Human Brain stained with ARG46052 anti-BRSK2 / STK29 antibody.
-
ARG46052 anti-BRSK2 / STK29 antibody WB image
Western blot: Human brain stained with ARG46052 anti-BRSK2 / STK29 antibody.
