ARG45480
anti-BRSK1 antibody
anti-BRSK1 antibody for Flow cytometry,ICC/IF,IHC-Formalin-fixed paraffin-embedded sections,Western blot and Human,Mouse,Rat
概述
| 产品描述 | Rabbit Polyclonal antibody recognizes BRSK1 |
|---|---|
| 反应物种 | Hu, Ms, Rat |
| 应用 | FACS, ICC/IF, IHC-P, WB |
| 宿主 | Rabbit |
| 克隆 | Polyclonal |
| 同位型 | IgG |
| 靶点名称 | BRSK1 |
| 抗原物种 | Human |
| 抗原 | Recombinant protein containing to human BRSK1. |
| 偶联标记 | Un-conjugated |
| 別名 | BRSK1; BR Serine/Threonine Kinase 1; KIAA1811; SAD-B; Brain-Specific Serine/Threonine-Protein Kinase 1; Synapses Of Amphids Defective Homolog 1; Serine/Threonine-Protein Kinase BRSK1; Serine/Threonine-Protein Kinase SAD-B; BR Serine/Threonine-Protein Kinase 1; Brain-Selective Kinase 1; SAD1 Homolog; EC 2.7.11.1 47; HSAD1; Brain Selective Kinase 1; Protein Kinase SAD1A; EC 2.7.11.26; SAD1 Kinase; EC 2.7.11 47; SAD1; SADB |
应用说明
| 应用建议 |
|
||||||||||
|---|---|---|---|---|---|---|---|---|---|---|---|
| 应用说明 | * The dilutions indicate recommended starting dilutions and the optimal dilutions or concentrations should be determined by the scientist. | ||||||||||
| 实际分子量 | 90 kDa |
属性
| 形式 | Liquid |
|---|---|
| 纯化 | Affinity purified |
| 缓冲液 | 0.2% Na2HPO4, 0.9% NaCl and 4% Trehalose. |
| 稳定剂 | 4% Trehalose |
| 浓度 | 0.5 mg/ml |
| 存放说明 | For continuous use, store undiluted antibody at 2-8°C for up to a week. For long-term storage, aliquot and store at -20°C or below. Storage in frost free freezers is not recommended. Avoid repeated freeze/thaw cycles. Suggest spin the vial prior to opening. The antibody solution should be gently mixed before use. |
| 注意事项 | For laboratory research only, not for drug, diagnostic or other use. |
生物信息
| 数据库连接 | |
|---|---|
| 基因名称 | BRSK1 |
| 全名 | BR Serine/Threonine Kinase 1 |
| 背景介绍 | Enables magnesium ion binding activity and tau-protein kinase activity. Involved in mitotic G2 DNA damage checkpoint signaling and protein phosphorylation. Acts upstream of or within G2/M transition of mitotic cell cycle; peptidyl-serine phosphorylation; and response to UV. Located in cell junction; cytoplasm; and nucleoplasm. [provided by Alliance of Genome Resources, Feb 2025] |
| 生物功能 | Serine/threonine-protein kinase that plays a key role in polarization of neurons and centrosome duplication. Phosphorylates CDC25B, CDC25C, MAPT/TAU, RIMS1, TUBG1, TUBG2 and WEE1. Following phosphorylation and activation by STK11/LKB1, acts as a key regulator of polarization of cortical neurons, probably by mediating phosphorylation of microtubule-associated proteins such as MAPT/TAU at 'Thr-529' and 'Ser-579'. Also regulates neuron polarization by mediating phosphorylation of WEE1 at 'Ser-642' in postmitotic neurons, leading to down-regulate WEE1 activity in polarized neurons. In neurons, localizes to synaptic vesicles and plays a role in neurotransmitter release, possibly by phosphorylating RIMS1. Also acts as a positive regulator of centrosome duplication by mediating phosphorylation of gamma-tubulin (TUBG1 and TUBG2) at 'Ser-131', leading to translocation of gamma-tubulin and its associated proteins to the centrosome. Involved in the UV-induced DNA damage checkpoint response, probably by inhibiting CDK1 activity through phosphorylation and activation of WEE1, and inhibition of CDC25B and CDC25C. [UniProt] |
| 细胞定位 | Cell projection; Cytoplasm; Cytoplasmic vesicle; Cytoskeleton; Nucleus; Synapse. [UniProt] |
| 预测分子量 | 85 kDa |
| 翻译后修饰 | Methylation; Phosphoprotein. [UniProt] |
检测图片 (6) Click the Picture to Zoom In
-
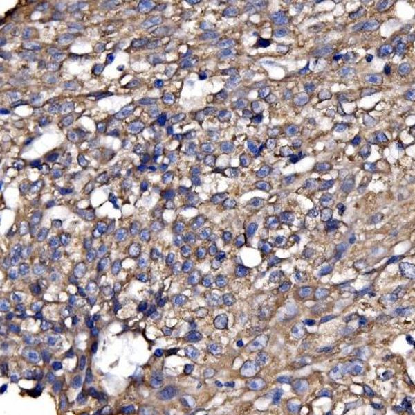
ARG45480 anti-BRSK1 antibody IHC-P image
Immunohistochemistry: Human laryngeal carcinoma stained with ARG45480 anti-BRSK1 antibody at 2 μg/ml dilution.
-
ARG45480 anti-BRSK1 antibody ICC/IF image
Immunofluorescence: A431 stained with ARG45480 anti-BRSK1 antibody at 5 μg/ml dilution.
-
ARG45480 anti-BRSK1 antibody WB image
Western blot: SH-SY5Y stained with ARG45480 anti-BRSK1 antibody at 0.5 μg/ml dilution.
-
ARG45480 anti-BRSK1 antibody FACS image
Flow Cytometry: CACO-2 stained with ARG45480 anti-BRSK1 antibody at 1 µg/10^6 cells dilution.
-
ARG45480 anti-BRSK1 antibody IHC-P image
Immunohistochemistry: Rat brain stained with ARG45480 anti-BRSK1 antibody at 2 μg/ml dilution.
-
ARG45480 anti-BRSK1 antibody IHC-P image
Immunohistochemistry: Mouse brain stained with ARG45480 anti-BRSK1 antibody at 2 μg/ml dilution.
