ARG45563
anti-BRD1 / BRL antibody
anti-BRD1 / BRL antibody for Flow cytometry,ICC/IF,Western blot and Human,Mouse,Rat
概述
| 产品描述 | Rabbit Polyclonal antibody recognizes BRD1 / BRL |
|---|---|
| 反应物种 | Hu, Ms, Rat |
| 应用 | FACS, ICC/IF, WB |
| 宿主 | Rabbit |
| 克隆 | Polyclonal |
| 同位型 | IgG |
| 靶点名称 | BRD1 / BRL |
| 抗原物种 | Human |
| 抗原 | Recombinant protein containing to human BRD1 / BRL. |
| 偶联标记 | Un-conjugated |
| 別名 | BRD1; Bromodomain Containing 1; BRPF2; BRL; Bromodomain And PHD Finger-Containing Protein 2; Bromodomain-Containing Protein 1; BR140-Like Protein; Bromodomain-Containing 1; BR140-Like; BRPF1 |
应用说明
| 应用建议 |
|
||||||||
|---|---|---|---|---|---|---|---|---|---|
| 应用说明 | * The dilutions indicate recommended starting dilutions and the optimal dilutions or concentrations should be determined by the scientist. | ||||||||
| 实际分子量 | 120 kDa |
属性
| 形式 | Liquid |
|---|---|
| 纯化 | Affinity purified |
| 缓冲液 | 0.2% Na2HPO4, 0.9% NaCl and 4% Trehalose. |
| 稳定剂 | 4% Trehalose |
| 浓度 | 0.5 mg/ml |
| 存放说明 | For continuous use, store undiluted antibody at 2-8°C for up to a week. For long-term storage, aliquot and store at -20°C or below. Storage in frost free freezers is not recommended. Avoid repeated freeze/thaw cycles. Suggest spin the vial prior to opening. The antibody solution should be gently mixed before use. |
| 注意事项 | For laboratory research only, not for drug, diagnostic or other use. |
生物信息
| 基因名称 | BRD1 |
|---|---|
| 全名 | Bromodomain Containing 1 |
| 背景介绍 | This gene encodes a bromodomain-containing protein that localizes to the nucleus and can interact with DNA and histone tails. The encoded protein is a component of the MOZ/MORF acetyltransferase complex and can stimulate acetylation of histones H3 and H4, thereby potentially playing a role in gene activation. Variation in this gene is associated with schizophrenia and bipolar disorder in some study populations. Alternative splicing results in multiple transcript variants. [provided by RefSeq, Mar 2017] |
| 生物功能 | Scaffold subunit of various histone acetyltransferase (HAT) complexes, such as the MOZ/MORF and HBO1 complexes, that acts as a regulator of hematopoiesis. Plays a key role in HBO1 complex by directing KAT7/HBO1 specificity towards histone H3 'Lys-14' acetylation (H3K14ac), thereby promoting erythroid differentiation. [UniProt] |
| 细胞定位 | Chromosome; Nucleus. [UniProt] |
| 预测分子量 | 120 kDa |
| 翻译后修饰 | Acetylation; Isopeptide bond; Phosphoprotein; Ubl conjugation. [UniProt] |
检测图片 (5) Click the Picture to Zoom In
-
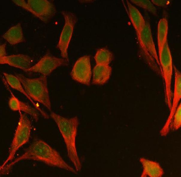
ARG45563 anti-BRD1 / BRL antibody ICC/IF image
Immunofluorescence: Hela stained with ARG45563 anti-BRD1 / BRL antibody at 5 μg/ml dilution.
-
ARG45563 anti-BRD1 / BRL antibody WB image
Western blot: 293T stained with ARG45563 anti-BRD1 / BRL antibody at 0.5 μg/ml dilution.
-
ARG45563 anti-BRD1 / BRL antibody WB image
Western blot: Rat testis stained with ARG45563 anti-BRD1 / BRL antibody at 0.5 μg/ml dilution.
-
ARG45563 anti-BRD1 / BRL antibody FACS image
Flow Cytometry: SH-SY5Y stained with ARG45563 anti-BRD1 / BRL antibody at 1 µg/10^6 cells dilution.
-
ARG45563 anti-BRD1 / BRL antibody WB image
Western blot: Mouse thymus stained with ARG45563 anti-BRD1 / BRL antibody at 0.5 μg/ml dilution.
