ARG66479
anti-BOB1 antibody
anti-BOB1 antibody for IHC-Formalin-fixed paraffin-embedded sections and Human
概述
| 产品描述 | Mouse Monoclonal antibody recognizes BOB1 |
|---|---|
| 反应物种 | Hu |
| 应用 | IHC-P |
| 宿主 | Mouse |
| 克隆 | Monoclonal |
| 同位型 | IgG2a, kappa |
| 靶点名称 | BOB1 |
| 抗原物种 | Human |
| 抗原 | Synthetic peptide derived from Human BOB1. |
| 偶联标记 | Un-conjugated |
| 別名 | POU domain class 2-associating factor 1; OCA-B; BOB-1; OCAB; OBF-1; OBF1; OCT-binding factor 1; B-cell-specific coactivator OBF-1; BOB1 |
应用说明
| 应用建议 |
|
||||
|---|---|---|---|---|---|
| 应用说明 | IHC-P: Antigen Retrieval: Citrate buffer (pH 6.0) was used. * The dilutions indicate recommended starting dilutions and the optimal dilutions or concentrations should be determined by the scientist. |
属性
| 形式 | Liquid |
|---|---|
| 纯化 | Affinity purification with immunogen. |
| 缓冲液 | PBS, 0.02% Sodium azide, 50% Glycerol and 0.5% BSA. |
| 抗菌剂 | 0.02% Sodium azide |
| 稳定剂 | 50% Glycerol and 0.5% BSA |
| 浓度 | 1 mg/ml |
| 存放说明 | For continuous use, store undiluted antibody at 2-8°C for up to a week. For long-term storage, aliquot and store at -20°C. Storage in frost free freezers is not recommended. Avoid repeated freeze/thaw cycles. Suggest spin the vial prior to opening. The antibody solution should be gently mixed before use. |
| 注意事项 | For laboratory research only, not for drug, diagnostic or other use. |
生物信息
| 数据库连接 |
Swiss-port # Q16633 Human POU domain class 2-associating factor 1 |
|---|---|
| 基因名称 | POU2AF1 |
| 全名 | POU class 2 associating factor 1 |
| 生物功能 | Transcriptional coactivator that specifically associates with either OCT1 or OCT2. It boosts the OCT1 mediated promoter activity and to a lesser extent, that of OCT2. It has no intrinsic DNA-binding activity. It recognizes the POU domains of OCT1 and OCT2. It is essential for the response of B-cells to antigens and required for the formation of germinal centers. [UniProt] |
| 细胞定位 | Nucleus. [UniProt] |
| 预测分子量 | 27 kDa |
| 翻译后修饰 | Ubiquitinated; mediated by SIAH1 or SIAH2 and leading to its subsequent proteasomal degradation. [UniProt] |
检测图片 (4) Click the Picture to Zoom In
-
ARG66479 anti-BOB1 antibody IHC-P image
Immunohistochemistry: Paraffin-embedded Human Classical Hodgkin lymphoma stained with ARG66479 anti-BOB1 antibody at 1:200 (4°C, overnight). Antigen Retrieval: Citrate buffer (pH 6.0) was used.
-
ARG66479 anti-BOB1 antibody IHC-P image
Immunohistochemistry: Paraffin-embedded Human Hodgkin lymphoma stained with ARG66479 anti-BOB1 antibody at 1:200 (4°C, overnight). Antigen Retrieval: Citrate buffer (pH 6.0) was used.
-
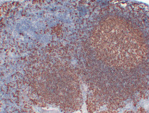
ARG66479 anti-BOB1 antibody IHC-P image
Immunohistochemistry: Paraffin-embedded Human tonsil stained with ARG66479 anti-BOB1 antibody at 1:200 (4°C, overnight). Antigen Retrieval: Citrate buffer (pH 6.0) was used.
-
ARG66479 anti-BOB1 antibody IHC-P image
Immunohistochemistry: Paraffin-embedded Human tonsil stained with ARG66479 anti-BOB1 antibody at 1:200 (4°C, overnight). Antigen Retrieval: Citrate buffer (pH 6.0) was used.
