ARG54406

anti-BIM antibody

anti-BIM antibody for ICC/IF,Western blot and Human

Cancer antibody; Cell Biology and Cellular Response antibody; Cell Death antibody; Immune System antibody; Metabolism antibody; Neuroscience antibody; Signaling Transduction antibody

概述

产品描述 Rabbit Polyclonal antibody recognizes BIM
反应物种 Hu
应用 ICC/IF, WB
特异性 This antibody recognizes full-length Bim (23kDa) of human, mouse, and rat.
宿主 Rabbit
克隆 Polyclonal
同位型 IgG
靶点名称 BIM
抗原物种 Human
抗原 Peptide corresponding to aa 22-40 of human Bim. The sequence is identical to that of mouse and is different by one amino acid from that of rat.
偶联标记 Un-conjugated
別名 Bcl2-L-11; BIM; Bcl2-interacting mediator of cell death; Bcl-2-like protein 11; BAM; BOD

应用说明

应用建议
应用 推荐稀释比
ICC/IFAssay-dependent
WBAssay-dependent
应用说明 * The dilutions indicate recommended starting dilutions and the optimal dilutions or concentrations should be determined by the scientist.
阳性对照 K562 and A549

属性

形式 Liquid
纯化 Immunoaffinity chroma-tography
缓冲液 PBS (pH 7.4) and 0.02% Sodium azide
抗菌剂 0.02% Sodium azide
存放说明 For continuous use, store undiluted antibody at 2-8°C for up to a week. For long-term storage, aliquot and store at -20°C or below. Storage in frost free freezers is not recommended. Avoid repeated freeze/thaw cycles. Suggest spin the vial prior to opening. The antibody solution should be gently mixed before use.
注意事项 For laboratory research only, not for drug, diagnostic or other use.

生物信息

数据库连接

GeneID: 10018 Human BCL2L11

Swiss-port # O43521 Human Bcl-2-like protein 11

基因名称 BCL2L11
全名 BCL2-like 11 (apoptosis facilitator)
背景介绍 A novel BH3 domain-containing protein was recently identified and designated Bim or BOD from human, mouse, and rat. Bim/BOD interacts with diverse members in the pro-survival Bcl-2 subfamily including Bcl-2, Bcl-x L , and Bcl-w. Bim/BOD induces apoptosis. The messenger RNA of Bim is ubiquitously expressed in multiple tissues and cell lines.
生物功能 Induces apoptosis and anoikis. Isoform BimL is more potent than isoform BimEL. Isoform Bim-alpha1, isoform Bim-alpha2 and isoform Bim-alpha3 induce apoptosis, although less potent than isoform BimEL, isoform BimL and isoform BimS. Isoform Bim-gamma induces apoptosis. Isoform Bim-alpha3 induces apoptosis possibly through a caspase-mediated pathway. Isoform BimAC and isoform BimABC lack the ability to induce apoptosis. [UniProt]
研究领域 Cancer antibody; Cell Biology and Cellular Response antibody; Cell Death antibody; Immune System antibody; Metabolism antibody; Neuroscience antibody; Signaling Transduction antibody
预测分子量 22 kDa
翻译后修饰 Phosphorylation at Ser-69 by MAPK1/MAPK3 leads to interaction with TRIM2 and polyubiquitination, followed by proteasomal degradation (PubMed:15486195, PubMed:21478148). Deubiquitination catalyzed by USP27X stabilizes the protein (By similarity).
Ubiquitination by TRIM2 following phosphorylation by MAPK1/MAPK3 leads to proteasomal degradation. Conversely, deubiquitination catalyzed by USP27X stabilizes the protein.

检测图片 (2) Click the Picture to Zoom In

  • ARG54406 anti-BIM antibody WB image

    Western blot: K:K562; A:A549 stained with ARG54406 anti-BIM antibody at 1 μg/ml dilution.

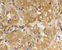
  • ARG54406 anti-BIM antibody IHC image

    Immunohistochemistry: Human skin cancer cells stained with ARG54406 anti-BIM antibody at 20 μg/ml dilution.