ARG46042
anti-BFAR antibody
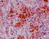
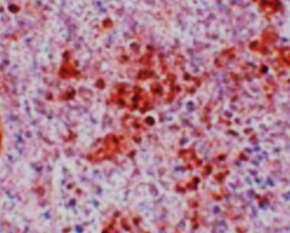
anti-BFAR antibody for Western blot,IHC-Formalin-fixed paraffin-embedded sections and Human,Mouse,Rat
概述
| 产品描述 | Rabbit Polyclonal antibody recognizes BFAR |
|---|---|
| 反应物种 | Hu, Ms, Rat |
| 应用 | IHC-P, WB |
| 宿主 | Rabbit |
| 克隆 | Polyclonal |
| 同位型 | IgG |
| 靶点名称 | BFAR |
| 抗原物种 | Human |
| 抗原 | A 14 amino acid synthetic peptide within aa. 300 - 350 of human BFAR. |
| 偶联标记 | Un-conjugated |
| 別名 | BFAR; RNF47; BAR; Bifunctional apoptosis regulator; RING finger protein 47 |
应用说明
| 应用建议 |
|
||||||
|---|---|---|---|---|---|---|---|
| 应用说明 | * The dilutions indicate recommended starting dilutions and the optimal dilutions or concentrations should be determined by the scientist. |
属性
| 纯化 | Affinity chromatography purified |
|---|---|
| 缓冲液 | PBS and 0.02% Sodium azide. |
| 抗菌剂 | 0.02% Sodium azide |
| 浓度 | 1 mg/ml |
| 存放说明 | For continuous use, store undiluted antibody at 2-8°C for up to a week. For long-term storage, aliquot and store at -20°C. Storage in frost free freezers is not recommended. Avoid repeated freeze/thaw cycles. Suggest spin the vial prior to opening. The antibody solution should be gently mixed before use. |
| 注意事项 | For laboratory research only, not for drug, diagnostic or other use. |
生物信息
| 数据库连接 | |
|---|---|
| 基因名称 | BFAR |
| 全名 | bifunctional apoptosis regulator |
| 生物功能 | Apoptosis regulator. Has anti-apoptotic activity, both for apoptosis triggered via death-receptors and via mitochondrial factors. [UniProt] |
| 预测分子量 | 53 kDa |
检测图片 (2) Click the Picture to Zoom In
