ARG44047
anti-BCL2L13 antibody
anti-BCL2L13 antibody for ICC/IF,IHC-Formalin-fixed paraffin-embedded sections,Western blot and Human
概述
| 产品描述 | Rabbit Polyclonal antibody recognizes BCL2L13 |
|---|---|
| 反应物种 | Hu |
| 预测物种 | Ms, Rat |
| 应用 | ICC/IF, IHC-P, WB |
| 宿主 | Rabbit |
| 克隆 | Polyclonal |
| 同位型 | IgG |
| 靶点名称 | BCL2L13 |
| 抗原物种 | Human |
| 抗原 | Recombinant fusion protein containing a sequence corresponding to amino acids 280 - 330 of Human Bcl-rambo. |
| 偶联标记 | Un-conjugated |
| 別名 | BCL2L13; BCL2 Like 13; MIL1; BCL-RAMBO; BCL2-Like 13 (Apoptosis Facilitator); Bcl-2-Like Protein 13; Bcl2-L-13; Protein Mil1; Bcl-Rambo |
应用说明
| 应用建议 |
|
||||||||
|---|---|---|---|---|---|---|---|---|---|
| 应用说明 | * The dilutions indicate recommended starting dilutions and the optimal dilutions or concentrations should be determined by the scientist. |
属性
| 形式 | Liquid |
|---|---|
| 纯化 | Affinity purified. |
| 缓冲液 | PBS and 0.02% Sodium azide. |
| 抗菌剂 | 0.02% Sodium azide |
| 浓度 | 1 mg/ml |
| 存放说明 | For continuous use, store undiluted antibody at 2-8°C for up to a week. For long-term storage, aliquot and store at -20°C. Storage in frost free freezers is not recommended. Avoid repeated freeze/thaw cycles. Suggest spin the vial prior to opening. The antibody solution should be gently mixed before use. |
| 注意事项 | For laboratory research only, not for drug, diagnostic or other use. |
生物信息
| 数据库连接 | |
|---|---|
| 基因名称 | BCL2L13 |
| 全名 | BCL2 Like 13 |
| 背景介绍 | This gene encodes a mitochondrially-localized protein with conserved B-cell lymphoma 2 homology motifs. Overexpression of the encoded protein results in apoptosis. Alternatively spliced transcript variants have been observed for this gene. |
| 生物功能 | May promote the activation of caspase-3 and apoptosis. |
| 细胞定位 | Membrane, Mitochondrion, Nucleus |
| 预测分子量 | 53 kDa |
| 翻译后修饰 | Phosphoprotein |
检测图片 (3) Click the Picture to Zoom In
-
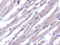
ARG44047 anti-BCL2L13 antibody IHC-P image
Immunohistochemistry: Human heart tissue stained with ARG44047 anti-BCL2L13 antibody at 10 μg/mL dilution.
-
ARG44047 anti-BCL2L13 antibody ICC/IF image
Immunofluorescence: Human Heart cells stained with ARG44047 anti-BCL2L13 antibody at 20 μg/mL dilution.
-
ARG44047 anti-BCL2L13 antibody WB image
Western blot: K562 stained with ARG44047 anti-BCL2L13 antibody at 4 μg/mL dilution.
