ARG58303
anti-BCAT2 antibody
anti-BCAT2 antibody for IHC-Formalin-fixed paraffin-embedded sections,Western blot and Human
概述
| 产品描述 | Rabbit Polyclonal antibody recognizes BCAT2 |
|---|---|
| 反应物种 | Hu |
| 应用 | IHC-P, WB |
| 宿主 | Rabbit |
| 克隆 | Polyclonal |
| 同位型 | IgG |
| 靶点名称 | BCAT2 |
| 抗原物种 | Human |
| 抗原 | Synthetic peptide corresponding to a sequence at the C-terminus of Human BCAT2(377-392aa KEIQYGIRAHEWMFPV). |
| 偶联标记 | Un-conjugated |
| 別名 | EC 2.6.1.42; BCAM; Placental protein 18; BCT2; m; PP18; BCATM; Branched-chain-amino-acid aminotransferase, mitochondrial; BCAT |
应用说明
| 应用建议 |
|
||||||
|---|---|---|---|---|---|---|---|
| 应用说明 | IHC-P: Antigen Retrieval: By heat mediation. * The dilutions indicate recommended starting dilutions and the optimal dilutions or concentrations should be determined by the scientist. |
属性
| 形式 | Liquid |
|---|---|
| 纯化 | Affinity purification with immunogen. |
| 缓冲液 | 0.9% NaCl, 0.2% Na2HPO4, 0.05% Thimerosal, 0.05% Sodium azide and 5% BSA. |
| 抗菌剂 | 0.05% Thimerosal and 0.05% Sodium azide |
| 稳定剂 | 5% BSA |
| 浓度 | 0.5 mg/ml |
| 存放说明 | For continuous use, store undiluted antibody at 2-8°C for up to a week. For long-term storage, aliquot and store at -20°C or below. Storage in frost free freezers is not recommended. Avoid repeated freeze/thaw cycles. Suggest spin the vial prior to opening. The antibody solution should be gently mixed before use. |
| 注意事项 | For laboratory research only, not for drug, diagnostic or other use. |
生物信息
| 数据库连接 |
Swiss-port # O15382 Human Branched-chain-amino-acid aminotransferase, mitochondrial |
|---|---|
| 基因名称 | BCAT2 |
| 全名 | branched chain amino-acid transaminase 2, mitochondrial |
| 背景介绍 | This gene encodes a branched chain aminotransferase found in mitochondria. The encoded protein forms a dimer that catalyzes the first step in the production of the branched chain amino acids leucine, isoleucine, and valine. Multiple transcript variants encoding different isoforms have been found for this gene. [provided by RefSeq, Sep 2009] |
| 生物功能 | Catalyzes the first reaction in the catabolism of the essential branched chain amino acids leucine, isoleucine, and valine. May also function as a transporter of branched chain alpha-keto acids. [UniProt] |
| 细胞定位 | Isoform A: Mitochondrion. [UniProt] |
| 预测分子量 | 44 kDa |
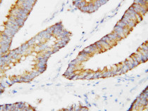
检测图片 (2) Click the Picture to Zoom In
-
ARG58303 anti-BCAT2 antibody IHC-P image
Immunohistochemistry: Paraffin-embedded Human colon cancer stained with ARG58303 anti-BCAT2 antibody.
-
ARG58303 anti-BCAT2 antibody WB image
Western blot: 40 µg of A431 whole cell lysate, SW620 whole cell lysate, SMMC-7721 whole cell lysate, Jurkat whole cell lysate and CEM whole cell lysate stained with ARG58303 anti-BCAT2 antibody at 0.5 µg/ml dilution.
