ARG63519
anti-BAF57 / SMARCE1 antibody
anti-BAF57 / SMARCE1 antibody for IHC-Formalin-fixed paraffin-embedded sections,Western blot and Human
Gene Regulation antibody
概述
| 产品描述 | Goat Polyclonal antibody recognizes BAF57 / SMARCE1 |
|---|---|
| 反应物种 | Hu |
| 预测物种 | Ms |
| 应用 | IHC-P, WB |
| 宿主 | Goat |
| 克隆 | Polyclonal |
| 同位型 | IgG |
| 靶点名称 | BAF57 / SMARCE1 |
| 抗原物种 | Human |
| 抗原 | C-PPTDPIPEDEKKE |
| 偶联标记 | Un-conjugated |
| 別名 | SWI/SNF-related matrix-associated actin-dependent regulator of chromatin subfamily E member 1; BRG1-associated factor 57; BAF57 |
应用说明
| 应用建议 |
|
||||||
|---|---|---|---|---|---|---|---|
| 应用说明 | WB: Recommend incubate at RT for 1h. * The dilutions indicate recommended starting dilutions and the optimal dilutions or concentrations should be determined by the scientist. |
属性
| 形式 | Liquid |
|---|---|
| 纯化 | Purified from goat serum by antigen affinity chromatography. |
| 缓冲液 | Tris saline (pH 7.3), 0.02% Sodium azide and 0.5% BSA. |
| 抗菌剂 | 0.02% Sodium azide |
| 稳定剂 | 0.5% BSA |
| 浓度 | 0.5 mg/ml |
| 存放说明 | For continuous use, store undiluted antibody at 2-8°C for up to a week. For long-term storage, aliquot and store at -20°C or below. Storage in frost free freezers is not recommended. Avoid repeated freeze/thaw cycles. Suggest spin the vial prior to opening. The antibody solution should be gently mixed before use. |
| 注意事项 | For laboratory research only, not for drug, diagnostic or other use. |
生物信息
| 数据库连接 |
Swiss-port # Q969G3 Human SWI/SNF-related matrix-associated actin-dependent regulator of chromatin s |
|---|---|
| 背景介绍 | The protein encoded by this gene is part of the large ATP-dependent chromatin remodeling complex SWI/SNF, which is required for transcriptional activation of genes normally repressed by chromatin. The encoded protein, either alone or when in the SWI/SNF complex, can bind to 4-way junction DNA, which is thought to mimic the topology of DNA as it enters or exits the nucleosome. The protein contains a DNA-binding HMG domain, but disruption of this domain does not abolish the DNA-binding or nucleosome-displacement activities of the SWI/SNF complex. Unlike most of the SWI/SNF complex proteins, this protein has no yeast counterpart. [provided by RefSeq, Jul 2008] |
| 研究领域 | Gene Regulation antibody |
| 预测分子量 | 47 kDa |
| 翻译后修饰 | Ubiquitinated by TRIP12, leading to its degradation by the proteasome. Ubiquitination is prevented upon interaction between TRIP12 and SMARCC1. |
检测图片 (2) Click the Picture to Zoom In
-
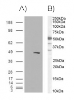
ARG63519 anti-BAF57 / SMARCE1 antibody WB image
Western Blot: A) 1). Mock transfection; 2) BAF57 (RC209444) overexpressing HEK293 cell lysate standed with ARG63519 anti-BAF57 / SMARCE1 antibody
-
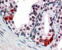
ARG63519 anti-BAF57 / SMARCE1 antibody IHC-P image
Immunohistochemistry: In paraffin embedded Human Prostate shows nuclear staining in secretory epithelial cells stained with ARG63519 anti-BAF57 / SMARCE1 antibody Recommended concentration, 3-5µg/ml.
