ARG11030
anti-Aryl Hydrocarbon Receptor antibody
anti-Aryl Hydrocarbon Receptor antibody for IHC-Formalin-fixed paraffin-embedded sections,Western blot and Mouse
概述
产品描述 | Rabbit Polyclonal antibody recognizes Aryl Hydrocarbon Receptor |
---|---|
反应物种 | Ms |
应用 | IHC-P, WB |
宿主 | Rabbit |
克隆 | Polyclonal |
同位型 | IgG |
靶点名称 | Aryl Hydrocarbon Receptor |
抗原物种 | Human |
抗原 | Synthetic peptide around the C-terminus of Mouse Aryl Hydrocarbon Receptor. (EAALKHEQIGHAQDV) |
偶联标记 | Un-conjugated |
別名 | Aryl hydrocarbon receptor; AhR; Ah receptor; bHLHe76; Class E basic helix-loop-helix protein 76 |
应用说明
应用建议 |
|
||||||
---|---|---|---|---|---|---|---|
应用说明 | * The dilutions indicate recommended starting dilutions and the optimal dilutions or concentrations should be determined by the scientist. | ||||||
实际分子量 | ~ 95 kDa |
属性
形式 | Liquid |
---|---|
纯化 | Affinity purification with immunogen. |
缓冲液 | PBS, 0.025% Sodium azide and 2.5% BSA. |
抗菌剂 | 0.025% Sodium azide |
稳定剂 | 2.5% BSA |
浓度 | 0.5 mg/ml |
存放说明 | For continuous use, store undiluted antibody at 2-8°C for up to a week. For long-term storage, aliquot and store at -20°C or below. Storage in frost free freezers is not recommended. Avoid repeated freeze/thaw cycles. Suggest spin the vial prior to opening. The antibody solution should be gently mixed before use. |
注意事项 | For laboratory research only, not for drug, diagnostic or other use. |
生物信息
数据库连接 | |
---|---|
基因名称 | AHR |
全名 | aryl hydrocarbon receptor |
背景介绍 | The protein encoded by this gene is a ligand-activated helix-loop-helix transcription factor involved in the regulation of biological responses to planar aromatic hydrocarbons. This receptor has been shown to regulate xenobiotic-metabolizing enzymes such as cytochrome P450. Before ligand binding, the encoded protein is sequestered in the cytoplasm; upon ligand binding, this protein moves to the nucleus and stimulates transcription of target genes. [provided by RefSeq, Sep 2015] |
生物功能 | Ligand-activated transcriptional activator. Binds to the XRE promoter region of genes it activates. Activates the expression of multiple phase I and II xenobiotic chemical metabolizing enzyme genes (such as the CYP1A1 gene). Mediates biochemical and toxic effects of halogenated aromatic hydrocarbons. Involved in cell-cycle regulation. Likely to play an important role in the development and maturation of many tissues. Regulates the circadian clock by inhibiting the basal and circadian expression of the core circadian component PER1. Inhibits PER1 by repressing the CLOCK-ARNTL/BMAL1 heterodimer mediated transcriptional activation of PER1. [UniProt] |
预测分子量 | 96 kDa |
检测图片 (3) Click the Picture to Zoom In
-
ARG11030 anti-Aryl Hydrocarbon Receptor antibody IHC-P
Immunohistochemistry: Paraffin-embedded Mouse heart tissue stained with ARG11030 anti-Aryl Hydrocarbon Receptor antibody.
-
ARG11030 anti-Aryl Hydrocarbon Receptor antibody WB image
Western blot: 1) Mouse brain, 2) Mouse heart and 3) Mouse liver lysates stained with ARG11030 anti-Aryl Hydrocarbon Receptor antibody.
-
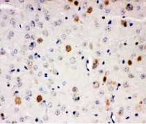
ARG11030 anti-Aryl Hydrocarbon Receptor antibody IHC-P
Immunohistochemistry: Paraffin-embedded Mouse brain tissue stained with ARG11030 anti-Aryl Hydrocarbon Receptor antibody.