ARG58217
anti-Aquaporin 6 antibody
anti-Aquaporin 6 antibody for IHC-Formalin-fixed paraffin-embedded sections,Western blot and Human
概述
| 产品描述 | Rabbit Polyclonal antibody recognizes Aquaporin 6 |
|---|---|
| 反应物种 | Hu |
| 应用 | IHC-P, WB |
| 宿主 | Rabbit |
| 克隆 | Polyclonal |
| 同位型 | IgG |
| 靶点名称 | Aquaporin 6 |
| 抗原物种 | Human |
| 抗原 | Synthetic peptide corresponding to a sequence at the C-terminus of Human Aquaporin 6(264-282aa EPLKKESQPGSGAVEMESV). |
| 偶联标记 | Un-conjugated |
| 別名 | Aquaporin-6; AQP2L; AQP-6; hKID; Kidney-specific aquaporin; Aquaporin-2-like; KID |
应用说明
| 应用建议 |
|
||||||
|---|---|---|---|---|---|---|---|
| 应用说明 | IHC-P: Antigen Retrieval: By heat mediation. * The dilutions indicate recommended starting dilutions and the optimal dilutions or concentrations should be determined by the scientist. |
属性
| 形式 | Liquid |
|---|---|
| 纯化 | Affinity purification with immunogen. |
| 缓冲液 | 0.9% NaCl, 0.2% Na2HPO4, 0.05% Thimerosal, 0.05% Sodium azide and 5% BSA. |
| 抗菌剂 | 0.05% Thimerosal and 0.05% Sodium azide |
| 稳定剂 | 5% BSA |
| 浓度 | 0.5 mg/ml |
| 存放说明 | For continuous use, store undiluted antibody at 2-8°C for up to a week. For long-term storage, aliquot and store at -20°C or below. Storage in frost free freezers is not recommended. Avoid repeated freeze/thaw cycles. Suggest spin the vial prior to opening. The antibody solution should be gently mixed before use. |
| 注意事项 | For laboratory research only, not for drug, diagnostic or other use. |
生物信息
| 数据库连接 | |
|---|---|
| 基因名称 | AQP6 |
| 全名 | aquaporin 6, kidney specific |
| 背景介绍 | The protein encoded by this gene is an aquaporin protein, which functions as a water channel in cells. Aquaporins are a family of small integral membrane proteins related to the major intrinsic protein (MIP or AQP0). This protein is specific for the kidney. This gene and related family members AQP0, AQP2, and AQP5 reside in a cluster on chromosome 12q13. [provided by RefSeq, Jul 2008] |
| 生物功能 | Forms a water-specific channel that participates in distinct physiological functions such as glomerular filtration, tubular endocytosis and acid-base metabolism. [UniProt] |
| 细胞定位 | Cytoplasmic vesicle membrane; Multi-pass membrane protein. [UniProt] |
| 预测分子量 | 29 kDa |
检测图片 (3) Click the Picture to Zoom In
-
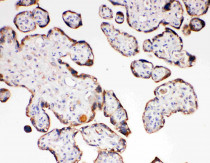
ARG58217 anti-Aquaporin 6 antibody IHC-P image
Immunohistochemistry: Paraffin-embedded Human placenta stained with ARG58217 anti-Aquaporin 6 antibody.
-
ARG58217 anti-Aquaporin 6 antibody WB image
Western blot: U87, COLO320 and MCF-7 cell lysates stained with ARG58217 anti-Aquaporin 6 antibody.
-
ARG58217 anti-Aquaporin 6 antibody IHC-P image
Immunohistochemistry: Paraffin-embedded Human lung cancer stained with ARG58217 anti-Aquaporin 6 antibody.
