ARG58215
anti-Aquaporin 5 antibody
anti-Aquaporin 5 antibody for IHC-Formalin-fixed paraffin-embedded sections,Western blot and Rat
概述
| 产品描述 | Rabbit Polyclonal antibody recognizes Aquaporin 5 |
|---|---|
| 反应物种 | Rat |
| 应用 | IHC-P, WB |
| 宿主 | Rabbit |
| 克隆 | Polyclonal |
| 同位型 | IgG |
| 靶点名称 | Aquaporin 5 |
| 抗原物种 | Mouse |
| 抗原 | Synthetic peptide corresponding to a sequence at the C-terminus of Mouse AQP5(246-265aa EEDWEDHREERKKTIELTAH), identical to the related Rat sequence. |
| 偶联标记 | Un-conjugated |
| 別名 | Aquaporin-5; AQP-5; PPKB |
应用说明
| 应用建议 |
|
||||||
|---|---|---|---|---|---|---|---|
| 应用说明 | IHC-P: Antigen Retrieval: By heat mediation. * The dilutions indicate recommended starting dilutions and the optimal dilutions or concentrations should be determined by the scientist. |
属性
| 形式 | Liquid |
|---|---|
| 纯化 | Affinity purification with immunogen. |
| 缓冲液 | 0.9% NaCl, 0.2% Na2HPO4, 0.05% Thimerosal, 0.05% Sodium azide and 5% BSA. |
| 抗菌剂 | 0.05% Thimerosal and 0.05% Sodium azide |
| 稳定剂 | 5% BSA |
| 浓度 | 0.5 mg/ml |
| 存放说明 | For continuous use, store undiluted antibody at 2-8°C for up to a week. For long-term storage, aliquot and store at -20°C or below. Storage in frost free freezers is not recommended. Avoid repeated freeze/thaw cycles. Suggest spin the vial prior to opening. The antibody solution should be gently mixed before use. |
| 注意事项 | For laboratory research only, not for drug, diagnostic or other use. |
生物信息
| 数据库连接 | |
|---|---|
| 基因名称 | AQP5 |
| 全名 | aquaporin 5 |
| 背景介绍 | Aquaporin 5 (AQP5) is a water channel protein. Aquaporins are a family of small integral membrane proteins related to the major intrinsic protein (MIP or AQP0). Aquaporin 5 plays a role in the generation of saliva, tears and pulmonary secretions. AQP0, AQP2, AQP5, and AQP6 are closely related and all map to 12q13. [provided by RefSeq, Jul 2008] |
| 生物功能 | Forms a water-specific channel. Implicated in the generation of saliva, tears, and pulmonary secretions. Required for TRPV4 activation by hypotonicity. Together with TRPV4, controls regulatory volume decrease in salivary epithelial cells. [UniProt] |
| 细胞定位 | Membrane; Multi-pass membrane protein. [UniProt] |
| 预测分子量 | 28 kDa |
检测图片 (2) Click the Picture to Zoom In
-
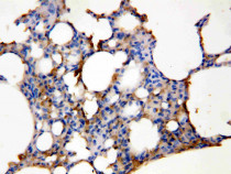
ARG58215 anti-Aquaporin 5 antibody IHC-P image
Immunohistochemistry: Paraffin-embedded Rat lung stained with ARG58215 anti-Aquaporin 5 antibody at 1 µg/ml dilution.
-
ARG58215 anti-Aquaporin 5 antibody WB image
Western blot: Rat lung and Rat testis lysates stained with ARG58215 anti-Aquaporin 5 antibody at 0.5 µg/ml dilution.
