ARG22362
anti-Aquaporin 3 antibody
anti-Aquaporin 3 antibody for ICC/IF,IHC-Formalin-fixed paraffin-embedded sections,Western blot and Human,Mouse,Rat
概述
| 产品描述 | Rabbit Polyclonal antibody recognizes Aquaporin 3 |
|---|---|
| 反应物种 | Hu, Ms, Rat |
| 应用 | ICC/IF, IHC-P, WB |
| 宿主 | Rabbit |
| 克隆 | Polyclonal |
| 同位型 | IgG |
| 靶点名称 | Aquaporin 3 |
| 抗原物种 | Rat |
| 抗原 | Synthetic peptide around the C-terminus of Rat Aquaporin 3. (N-CHLEQPPPSTEAENVKLAHMKHKEQI) |
| 偶联标记 | Un-conjugated |
| 別名 | Aquaporin-3; GIL; Aquaglyceroporin-3; AQP-3 |
应用说明
| 应用建议 |
|
||||||||
|---|---|---|---|---|---|---|---|---|---|
| 应用说明 | * The dilutions indicate recommended starting dilutions and the optimal dilutions or concentrations should be determined by the scientist. |
属性
| 形式 | Liquid |
|---|---|
| 纯化 | Purification with Protein A. |
| 缓冲液 | PBS, 0.09% Sodium azide and 50% Glycerol |
| 抗菌剂 | 0.09% Sodium azide |
| 稳定剂 | 50% Glycerol |
| 浓度 | 1 mg/ml |
| 存放说明 | For continuous use, store undiluted antibody at 2-8°C for up to a week. For long-term storage, aliquot and store at -20°C. Storage in frost free freezers is not recommended. Avoid repeated freeze/thaw cycles. Suggest spin the vial prior to opening. The antibody solution should be gently mixed before use. |
| 注意事项 | For laboratory research only, not for drug, diagnostic or other use. |
生物信息
| 数据库连接 | |
|---|---|
| 基因名称 | Aqp3 |
| 全名 | aquaporin 3 |
| 背景介绍 | This gene encodes the water channel protein aquaporin 3. Aquaporins are a family of small integral membrane proteins related to the major intrinsic protein, also known as aquaporin 0. Aquaporin 3 is localized at the basal lateral membranes of collecting duct cells in the kidney. In addition to its water channel function, aquaporin 3 has been found to facilitate the transport of nonionic small solutes such as urea and glycerol, but to a smaller degree. It has been suggested that water channels can be functionally heterogeneous and possess water and solute permeation mechanisms. [provided by RefSeq, Aug 2011] |
| 生物功能 | Water channel required to promote glycerol permeability and water transport across cell membranes. Acts as a glycerol transporter in skin and plays an important role in regulating SC (stratum corneum) and epidermal glycerol content. Involved in skin hydration, wound healing, and tumorigenesis. Provides kidney medullary collecting duct with high permeability to water, thereby permitting water to move in the direction of an osmotic gradient. Slightly permeable to urea and may function as a water and urea exit mechanism in antidiuresis in collecting duct cells. It may play an important role in gastrointestinal tract water transport and in glycerol metabolism (By similarity). [UniProt] |
| 细胞定位 | Membrane |
| 预测分子量 | 31.5 kDa (unmodified); 35 - 50 kDa (glycosylated) |
检测图片 (2) Click the Picture to Zoom In
-
ARG22362 anti-Aquaporin 3 antibody IHC image
Immunohistochemistry: Rat kidney tissue stained with ARG22362 anti-Aquaporin 3 antibody (green) at 1:200 dilution. DAPI merge.
-
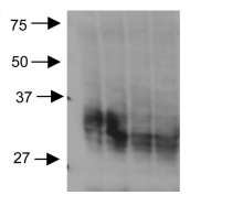
ARG22362 anti-Aquaporin 3 antibody WB image
Western blot: Rat kidney inner medullary homogenates stained with ARG22362 anti-Aquaporin 3 antibody at 1:2000 dilution.
