ARG40567
anti-Aquaporin 2 antibody
anti-Aquaporin 2 antibody for Flow cytometry,IHC-Formalin-fixed paraffin-embedded sections,Western blot and Human,Mouse,Rat
概述
| 产品描述 | Rabbit Polyclonal antibody recognizes Aquaporin 2 |
|---|---|
| 反应物种 | Hu, Ms, Rat |
| 预测物种 | Hm |
| 应用 | FACS, IHC-P, WB |
| 宿主 | Rabbit |
| 克隆 | Polyclonal |
| 同位型 | IgG |
| 靶点名称 | Aquaporin 2 |
| 抗原物种 | Human |
| 抗原 | Synthetic peptide corresponding to aa. 241-271 of Human Aquaporin 2. (EPDTDWEEREVRRRQSVELHSPQSLPRGTKA) |
| 偶联标记 | Un-conjugated |
| 別名 | Aquaporin-2; Aquaporin-CD; AQP-2; ADH water channel; Collecting duct water channel protein; Water channel protein for renal collecting duct; AQP-CD; WCH-CD |
应用说明
| 应用建议 |
|
||||||||
|---|---|---|---|---|---|---|---|---|---|
| 应用说明 | IHC-P: Antigen Retrieval: Heat mediation was performed in Citrate buffer (pH 6.0) for 20 min. * The dilutions indicate recommended starting dilutions and the optimal dilutions or concentrations should be determined by the scientist. |
属性
| 形式 | Liquid |
|---|---|
| 纯化 | Affinity purification with immunogen. |
| 缓冲液 | 0.2% Na2HPO4, 0.9% NaCl, 0.05% Sodium azide and 5% BSA. |
| 抗菌剂 | 0.05% Sodium azide |
| 稳定剂 | 5% BSA |
| 浓度 | 0.5 mg/ml |
| 存放说明 | For continuous use, store undiluted antibody at 2-8°C for up to a week. For long-term storage, aliquot and store at -20°C or below. Storage in frost free freezers is not recommended. Avoid repeated freeze/thaw cycles. Suggest spin the vial prior to opening. The antibody solution should be gently mixed before use. |
| 注意事项 | For laboratory research only, not for drug, diagnostic or other use. |
生物信息
| 数据库连接 | |
|---|---|
| 基因名称 | AQP2 |
| 全名 | aquaporin 2 (collecting duct) |
| 背景介绍 | This gene encodes a water channel protein located in the kidney collecting tubule. It belongs to the MIP/aquaporin family, some members of which are clustered together on chromosome 12q13. Mutations in this gene have been linked to autosomal dominant and recessive forms of nephrogenic diabetes insipidus. [provided by RefSeq, Oct 2008] |
| 生物功能 | Forms a water-specific channel that provides the plasma membranes of renal collecting duct with high permeability to water, thereby permitting water to move in the direction of an osmotic gradient. [UniProt] |
| 细胞定位 | Apical cell membrane; Multi-pass membrane protein. Basolateral cell membrane; Multi-pass membrane protein. Cytoplasmic vesicle membrane; Multi-pass membrane protein. Golgi apparatus, trans-Golgi network membrane; Multi-pass membrane protein. Note=Shuttles from vesicles to the apical membrane. Vasopressin-regulated phosphorylation is required for translocation to the apical cell membrane. PLEKHA8/FAPP2 is required to transport AQP2 from the TGN to sites where AQP2 is phosphorylated. [UniProt] |
| 预测分子量 | 29 kDa |
| 翻译后修饰 | Ser-256 phosphorylation is necessary and sufficient for expression at the apical membrane. Endocytosis is not phosphorylation-dependent. [UniProt] |
检测图片 (5) Click the Picture to Zoom In
-
ARG40567 anti-Aquaporin 2 antibody FACS image
Flow Cytometry: PC-3 cells were blocked with 10% normal goat serum and then stained with ARG40567 anti-Aquaporin 2 antibody (blue) at 1 µg/10^6 cells for 30 min at 20°C, followed by incubation with DyLight®488 labelled secondary antibody. Isotype control antibody (green) was Rabbit IgG (1 µg/10^6 cells) used under the same conditions. Unlabelled sample (red) was also used as a control.
-
ARG40567 anti-Aquaporin 2 antibody IHC-P image
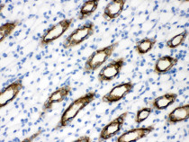
Immunohistochemistry: Paraffin-embedded Mouse kidney tissue. Antigen Retrieval: Heat mediation was performed in Citrate buffer (pH 6.0, epitope retrieval solution) for 20 min. The tissue section was blocked with 10% goat serum. The tissue section was then stained with ARG40567 anti-Aquaporin 2 antibody at 1 µg/ml, overnight at 4°C.
-
ARG40567 anti-Aquaporin 2 antibody WB image
Western blot: 50 µg of samples under reducing conditions. Rat kidney, Mouse kidney, HeLa, A549 and PANC whole cell lysates stained with ARG40567 anti-Aquaporin 2 antibody at 0.5 µg/ml, overnight at 4°C.
-
ARG40567 anti-Aquaporin 2 antibody IHC-P image
Immunohistochemistry: Paraffin-embedded Rat kidney tissue. Antigen Retrieval: Heat mediation was performed in Citrate buffer (pH 6.0, epitope retrieval solution) for 20 min. The tissue section was blocked with 10% goat serum. The tissue section was then stained with ARG40567 anti-Aquaporin 2 antibody at 1 µg/ml, overnight at 4°C.
-
ARG40567 anti-Aquaporin 2 antibody IHC-P image
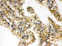
Immunohistochemistry: Paraffin-embedded Human renal cancer tissue. Antigen Retrieval: Heat mediation was performed in Citrate buffer (pH 6.0, epitope retrieval solution) for 20 min. The tissue section was blocked with 10% goat serum. The tissue section was then stained with ARG40567 anti-Aquaporin 2 antibody at 1 µg/ml, overnight at 4°C.
