ARG41560
anti-Aquaporin 1 antibody
anti-Aquaporin 1 antibody for Flow cytometry,IHC-Frozen sections,IHC-Formalin-fixed paraffin-embedded sections,Western blot and Human,Mouse,Rat
概述
| 产品描述 | Rabbit Polyclonal antibody recognizes Aquaporin 1 |
|---|---|
| 反应物种 | Hu, Ms, Rat |
| 预测物种 | Hm |
| 应用 | FACS, IHC-Fr, IHC-P, WB |
| 宿主 | Rabbit |
| 克隆 | Polyclonal |
| 同位型 | IgG |
| 靶点名称 | Aquaporin 1 |
| 抗原物种 | Human |
| 抗原 | Synthetic peptide corresponding to aa. 251-269 of Human Aquaporin 1. (EEYDLDADDINSRVEMKPK) |
| 偶联标记 | Un-conjugated |
| 別名 | Aquaporin-1; CO; AQP-CHIP; AQP-1; Aquaporin-CHIP; Water channel protein for red blood cells and kidney proximal tubule; CHIP28; Urine water channel |
应用说明
| 应用建议 |
|
||||||||||
|---|---|---|---|---|---|---|---|---|---|---|---|
| 应用说明 | IHC-P: Antigen Retrieval: Heat mediation was performed in Citrate buffer (pH 6.0) for 20 min, or performed in EDTA buffer (pH 8.0). * The dilutions indicate recommended starting dilutions and the optimal dilutions or concentrations should be determined by the scientist. |
||||||||||
| 实际分子量 | ~ 30 kDa |
属性
| 形式 | Liquid |
|---|---|
| 纯化 | Affinity purification with immunogen. |
| 缓冲液 | 0.2% Na2HPO4, 0.9% NaCl, 0.05% Thimerosal, 0.05% Sodium azide and 5% BSA. |
| 抗菌剂 | 0.05% Thimerosal and 0.05% Sodium azide |
| 稳定剂 | 5% BSA |
| 浓度 | 0.5 mg/ml |
| 存放说明 | For continuous use, store undiluted antibody at 2-8°C for up to a week. For long-term storage, aliquot and store at -20°C or below. Storage in frost free freezers is not recommended. Avoid repeated freeze/thaw cycles. Suggest spin the vial prior to opening. The antibody solution should be gently mixed before use. |
| 注意事项 | For laboratory research only, not for drug, diagnostic or other use. |
生物信息
| 数据库连接 | |
|---|---|
| 基因名称 | AQP1 |
| 全名 | aquaporin 1 (Colton blood group) |
| 背景介绍 | Aquaporins are a family of small integral membrane proteins related to the major intrinsic protein (MIP or AQP0). This gene encodes an aquaporin which functions as a molecular water channel protein. It is a homotetramer with 6 bilayer spanning domains and N-glycosylation sites. The protein physically resembles channel proteins and is abundant in erythrocytes and renal tubes. The gene encoding this aquaporin is a possible candidate for disorders involving imbalance in ocular fluid movement. Several transcript variants encoding different isoforms have been found for this gene. [provided by RefSeq, Jun 2010] |
| 生物功能 | Forms a water-specific channel that provides the plasma membranes of red cells and kidney proximal tubules with high permeability to water, thereby permitting water to move in the direction of an osmotic gradient. [UniProt] |
| 细胞定位 | Cell membrane; Multi-pass membrane protein. [UniProt] |
| 预测分子量 | 29 kDa |
检测图片 (7) Click the Picture to Zoom In
-
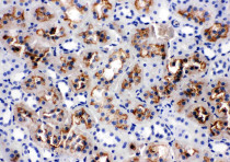
ARG41560 anti-Aquaporin 1 antibody IHC-P image
Immunohistochemistry: Paraffin-embedded Human renal cancer tissue. Antigen Retrieval: Heat mediation was performed in Citrate buffer (pH 6.0, epitope retrieval solution) for 20 min. The tissue section was blocked with 10% goat serum. The tissue section was then stained with ARG41560 anti-Aquaporin 1 antibody at 1 µg/ml dilution, overnight at 4°C.
-
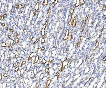
ARG41560 anti-Aquaporin 1 antibody IHC-P image
Immunohistochemistry: Paraffin-embedded Human liver cancer tissue. Antigen Retrieval: Heat mediation was performed in EDTA buffer (pH 8.0). The tissue section was blocked with 10% goat serum. The tissue section was then stained with ARG41560 anti-Aquaporin 1 antibody at 1 µg/ml dilution, overnight at 4°C.
-
ARG41560 anti-Aquaporin 1 antibody WB image
Western blot: 50 µg of samples under reducing conditions. Rat kidney, Rat lung and SMMC-7721 cell lysates stained with ARG41560 anti-Aquaporin 1 antibody at 0.5 µg/ml dilution, overnight at 4°C.
-
ARG41560 anti-Aquaporin 1 antibody FACS image
Flow Cytometry: U2OS cells were blocked with 10% normal Goat serum and then stained with ARG41560 anti-Aquaporin 1 antibody (blue) at 1 µg/10^6 cells for 30 min at 20°C, followed by incubation with DyLight®488 labelled secondary antibody. Isotype control antibody (green) was Rabbit IgG (1 µg/10^6 cells) used under the same conditions. Unlabelled sample (red) was also used as a control.
-
ARG41560 anti-Aquaporin 1 antibody IHC-P image
Immunohistochemistry: Paraffin-embedded Rat kidney tissue. Antigen Retrieval: Heat mediation was performed in Citrate buffer (pH 6.0, epitope retrieval solution) for 20 min. The tissue section was blocked with 10% goat serum. The tissue section was then stained with ARG41560 anti-Aquaporin 1 antibody at 1 µg/ml dilution, overnight at 4°C.
-
ARG41560 anti-Aquaporin 1 antibody IHC-P image
Immunohistochemistry: Paraffin-embedded Mouse kidney tissue. Antigen Retrieval: Heat mediation was performed in EDTA buffer (pH 8.0). The tissue section was blocked with 10% goat serum. The tissue section was then stained with ARG41560 anti-Aquaporin 1 antibody at 1 µg/ml dilution, overnight at 4°C.
-
ARG41560 anti-Aquaporin 1 antibody IHC-Fr image
Immunohistochemistry: Frozen section of Rat kidney tissue. The tissue section was blocked with 10% goat serum. The tissue section was then stained with ARG41560 anti-Aquaporin 1 antibody at 1 µg/ml, overnight at 4°C.
