ARG42473
anti-Adipophilin antibody
anti-Adipophilin antibody for IHC-Formalin-fixed paraffin-embedded sections,Western blot and Human,Mouse,Rat
概述
| 产品描述 | Rabbit Polyclonal antibody recognizes Adipophilin |
|---|---|
| 反应物种 | Hu, Ms, Rat |
| 应用 | IHC-P, WB |
| 宿主 | Rabbit |
| 克隆 | Polyclonal |
| 同位型 | IgG |
| 靶点名称 | Adipophilin |
| 抗原物种 | Human |
| 抗原 | Recombinant protein corresponding to K226-Q418 of Human Adipophilin. |
| 偶联标记 | Un-conjugated |
| 別名 | ADRP; Adipophilin; Adipose differentiation-related protein; ADFP; Perilipin-2 |
应用说明
| 应用建议 |
|
||||||
|---|---|---|---|---|---|---|---|
| 应用说明 | * The dilutions indicate recommended starting dilutions and the optimal dilutions or concentrations should be determined by the scientist. | ||||||
| 阳性对照 | MCF7 | ||||||
| 实际分子量 | ~ 48 kDa |
属性
| 形式 | Liquid |
|---|---|
| 纯化 | Affinity purification with immunogen. |
| 缓冲液 | 0.2% Na2HPO4, 0.9% NaCl, 0.05% Sodium azide and 5% BSA. |
| 抗菌剂 | 0.05% Sodium azide |
| 稳定剂 | 5% BSA |
| 浓度 | 0.5 mg/ml |
| 存放说明 | For continuous use, store undiluted antibody at 2-8°C for up to a week. For long-term storage, aliquot and store at -20°C or below. Storage in frost free freezers is not recommended. Avoid repeated freeze/thaw cycles. Suggest spin the vial prior to opening. The antibody solution should be gently mixed before use. |
| 注意事项 | For laboratory research only, not for drug, diagnostic or other use. |
生物信息
| 数据库连接 | |
|---|---|
| 基因名称 | PLIN2 |
| 全名 | perilipin 2 |
| 背景介绍 | The protein encoded by this gene belongs to the perilipin family, members of which coat intracellular lipid storage droplets. This protein is associated with the lipid globule surface membrane material, and maybe involved in development and maintenance of adipose tissue. However, it is not restricted to adipocytes as previously thought, but is found in a wide range of cultured cell lines, including fibroblasts, endothelial and epithelial cells, and tissues, such as lactating mammary gland, adrenal cortex, Sertoli and Leydig cells, and hepatocytes in alcoholic liver cirrhosis, suggesting that it may serve as a marker of lipid accumulation in diverse cell types and diseases. Alternatively spliced transcript variants have been found for this gene. [provided by RefSeq, Mar 2011] |
| 生物功能 | May be involved in development and maintenance of adipose tissue. [UniProt] |
| 细胞定位 | Membrane; Peripheral membrane protein. Lipid droplet. [UniProt] |
| 预测分子量 | 48 kDa |
| 翻译后修饰 | Acylated; primarily with C14, C16 and C18 fatty acids. [UniProt] |
检测图片 (4) Click the Picture to Zoom In
-
ARG42473 anti-Adipophilin antibody IHC-P image
Immunohistochemistry: Human epithelial cells stained with ARG42473 anti-Adipophilin antibody.
From Satoshi Sumida et al. The Journal of Medical Investigation (2023), doi: 10.2152/jmi.70.251, Fig. 2M.
-
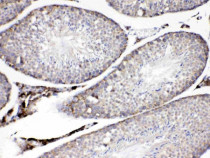
ARG42473 anti-Adipophilin antibody IHC-P image
Immunohistochemistry: Paraffin-embedded Rat testis tissue stained with ARG42473 anti-Adipophilin antibody at 1 µg/ml dilution.
-
ARG42473 anti-Adipophilin antibody WB image
Western blot: MCF7 whole cell lysate stained with ARG42473 anti-Adipophilin antibody at 0.5 µg/ml dilution.
-
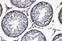
ARG42473 anti-Adipophilin antibody IHC-P image
Immunohistochemistry: Paraffin-embedded Mouse testis tissue stained with ARG42473 anti-Adipophilin antibody at 1 µg/ml dilution.

