ARG45977
anti-Adiponectin antibody
anti-Adiponectin antibody for Western blot,IHC-Formalin-fixed paraffin-embedded sections and Human,Mouse,Rat
概述
| 产品描述 | Rabbit Polyclonal antibody recognizes Adiponectin |
|---|---|
| 反应物种 | Hu, Ms, Rat |
| 应用 | IHC-P, WB |
| 宿主 | Rabbit |
| 克隆 | Polyclonal |
| 同位型 | IgG |
| 靶点名称 | Adiponectin |
| 抗原物种 | Human |
| 抗原 | A 15 amino acid synthetic peptide within the last 50 amino acids of human Adiponectin. |
| 偶联标记 | Un-conjugated |
| 別名 | ADIPOQ; Adipose most abundant gene transcript 1 protein; ADPN; APM-1; Gelatin-binding protein; APM1; ACDC; Adiponectin; apM-1; ACRP30; ADIPQTL1; GBP28; 30 kDa adipocyte complement-related protein; Adipocyte, C1q and collagen domain-containing protein; Adipocyte complement-related 30 kDa protein |
应用说明
| 应用建议 |
|
||||||
|---|---|---|---|---|---|---|---|
| 应用说明 | * The dilutions indicate recommended starting dilutions and the optimal dilutions or concentrations should be determined by the scientist. | ||||||
| 实际分子量 | 26 kDa |
属性
| 纯化 | Affinity chromatography purified |
|---|---|
| 缓冲液 | PBS and 0.02% Sodium azide. |
| 抗菌剂 | 0.02% Sodium azide |
| 浓度 | 1 mg/ml |
| 存放说明 | For continuous use, store undiluted antibody at 2-8°C for up to a week. For long-term storage, aliquot and store at -20°C. Storage in frost free freezers is not recommended. Avoid repeated freeze/thaw cycles. Suggest spin the vial prior to opening. The antibody solution should be gently mixed before use. |
| 注意事项 | For laboratory research only, not for drug, diagnostic or other use. |
生物信息
| 数据库连接 | |
|---|---|
| 基因名称 | ADIPOQ |
| 全名 | adiponectin, C1Q and collagen domain containing |
| 背景介绍 | This gene is expressed in adipose tissue exclusively. It encodes a protein with similarity to collagens X and VIII and complement factor C1q. The encoded protein circulates in the plasma and is involved with metabolic and hormonal processes. Mutations in this gene are associated with adiponectin deficiency. Multiple alternatively spliced variants, encoding the same protein, have been identified. [provided by RefSeq, Apr 2010] |
| 生物功能 | Important adipokine involved in the control of fat metabolism and insulin sensitivity, with direct anti-diabetic, anti-atherogenic and anti-inflammatory activities. Stimulates AMPK phosphorylation and activation in the liver and the skeletal muscle, enhancing glucose utilization and fatty-acid combustion. Antagonizes TNF-alpha by negatively regulating its expression in various tissues such as liver and macrophages, and also by counteracting its effects. Inhibits endothelial NF-kappa-B signaling through a cAMP-dependent pathway. May play a role in cell growth, angiogenesis and tissue remodeling by binding and sequestering various growth factors with distinct binding affinities, depending on the type of complex, LMW, MMW or HMW. [UniProt] |
| 预测分子量 | 27 kDa |
| 翻译后修饰 | Hydroxylated Lys-33 was not identified in PubMed:16497731, probably due to poor representation of the N-terminal peptide in mass fingerprinting. HMW complexes are more extensively glycosylated than smaller oligomers. Hydroxylation and glycosylation of the lysine residues within the collagene-like domain of adiponectin seem to be critically involved in regulating the formation and/or secretion of HMW complexes and consequently contribute to the insulin-sensitizing activity of adiponectin in hepatocytes (By similarity). O-glycosylated. Not N-glycosylated. O-linked glycans on hydroxylysines consist of Glc-Gal disaccharides bound to the oxygen atom of post-translationally added hydroxyl groups. Sialylated to varying degrees depending on tissue. Thr-22 appears to be the major site of sialylation. Higher sialylation found in SGBS adipocytes than in HEK fibroblasts. Sialylation is not required neither for heterodimerization nor for secretion. Not sialylated on the glycosylated hydroxylysines. Desialylated forms are rapidly cleared from the circulation. |
检测图片 (3) Click the Picture to Zoom In
-
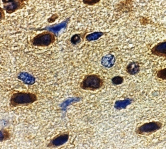
ARG45977 anti-Adiponectin antibody IHC-P image
Immunohistochemistry: Rat brain stained with ARG45977 anti-Adiponectin antibody.
-
ARG45977 anti-Adiponectin antibody ICC/IF image
Immunofluorescence: Rat Brain stained with ARG45977 anti-Adiponectin antibody.
-
ARG45977 anti-Adiponectin antibody WB image
Western blot: HL60 stained with ARG45977 anti-Adiponectin antibody.
