ARG42545
anti-Adenosine Receptor A2a antibody
anti-Adenosine Receptor A2a antibody for IHC-Formalin-fixed paraffin-embedded sections,IHC-Frozen sections,Western blot and Dog,Human,Monkey,Mouse,Rat
概述
| 产品描述 | Goat Polyclonal antibody recognizes Adenosine Receptor A2a |
|---|---|
| 反应物种 | Hu, Ms, Rat, Dog, Mk |
| 应用 | IHC-Fr, IHC-P, WB |
| 宿主 | Goat |
| 克隆 | Polyclonal |
| 同位型 | IgG |
| 靶点名称 | Adenosine Receptor A2a |
| 抗原物种 | Human |
| 抗原 | Recombinant peptide within aa. 360 to the C-terminus of Human Adenosine Receptor A2a. |
| 偶联标记 | Un-conjugated |
| 別名 | A2aR; Adenosine receptor A2a; RDC8; ADORA2 |
应用说明
| 应用建议 |
|
||||||||
|---|---|---|---|---|---|---|---|---|---|
| 应用说明 | * The dilutions indicate recommended starting dilutions and the optimal dilutions or concentrations should be determined by the scientist. | ||||||||
| 阳性对照 | Brain | ||||||||
| 实际分子量 | ~ 42 kDa |
属性
| 形式 | Liquid |
|---|---|
| 纯化 | Affinity purification with immunogen. |
| 缓冲液 | PBS, 0.05% Sodium azide and 20% Glycerol. |
| 抗菌剂 | 0.05% Sodium azide |
| 稳定剂 | 20% Glycerol |
| 浓度 | 3 mg/ml |
| 存放说明 | For continuous use, store undiluted antibody at 2-8°C for up to a week. For long-term storage, aliquot and store at -20°C. Storage in frost free freezers is not recommended. Avoid repeated freeze/thaw cycles. Suggest spin the vial prior to opening. The antibody solution should be gently mixed before use. |
| 注意事项 | For laboratory research only, not for drug, diagnostic or other use. |
生物信息
| 数据库连接 | |
|---|---|
| 基因名称 | ADORA2A |
| 全名 | adenosine A2a receptor |
| 背景介绍 | This gene encodes a member of the guanine nucleotide-binding protein (G protein)-coupled receptor (GPCR) superfamily, which is subdivided into classes and subtypes. The receptors are seven-pass transmembrane proteins that respond to extracellular cues and activate intracellular signal transduction pathways. This protein, an adenosine receptor of A2A subtype, uses adenosine as the preferred endogenous agonist and preferentially interacts with the G(s) and G(olf) family of G proteins to increase intracellular cAMP levels. It plays an important role in many biological functions, such as cardiac rhythm and circulation, cerebral and renal blood flow, immune function, pain regulation, and sleep. It has been implicated in pathophysiological conditions such as inflammatory diseases and neurodegenerative disorders. Alternative splicing results in multiple transcript variants. A read-through transcript composed of the upstream SPECC1L (sperm antigen with calponin homology and coiled-coil domains 1-like) and ADORA2A (adenosine A2a receptor) gene sequence has been identified, but it is thought to be non-coding. [provided by RefSeq, Jun 2013] |
| 生物功能 | Receptor for adenosine (By similarity). The activity of this receptor is mediated by G proteins which activate adenylyl cyclase (By similarity). [UniProt] |
| 细胞定位 | Cell membrane; Multi-pass membrane protein. [UniProt] |
| 预测分子量 | 45 kDa |
| 翻译后修饰 | Ubiquitinated. Deubiquitinated by USP4; leading to stabilization and expression at the cell surface. [UniProt] |
检测图片 (3) Click the Picture to Zoom In
-
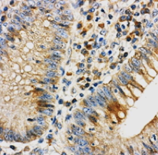
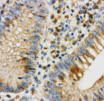
ARG42545 anti-Adenosine Receptor A2a antibody IHC-P image
Immunohistochemistry: Human appendix stained with ARG42545 anti-Adenosine Receptor A2a antibody at 1:500 dilution.
-
ARG42545 anti-Adenosine Receptor A2a antibody WB image
Western blot: 50 µg of brain lysate stained with ARG42545 anti-Adenosine Receptor A2a antibody at 1:1000 dilution.
-
ARG42545 anti-Adenosine Receptor A2a antibody IHC-P image
Immunohistochemistry: Mouse brain stained with ARG42545 anti-Adenosine Receptor A2a antibody at 1:500 dilution.
