ARG42679
anti-Adenosine Receptor A1 antibody
anti-Adenosine Receptor A1 antibody for IHC-Formalin-fixed paraffin-embedded sections,Western blot and Human,Mouse,Rat
概述
| 产品描述 | Rabbit Polyclonal antibody recognizes Adenosine Receptor A1 |
|---|---|
| 反应物种 | Hu, Ms, Rat |
| 应用 | IHC-P, WB |
| 宿主 | Rabbit |
| 克隆 | Polyclonal |
| 同位型 | IgG |
| 靶点名称 | Adenosine Receptor A1 |
| 抗原物种 | Human |
| 抗原 | Synthetic peptide derived from Human Adenosine Receptor A1. |
| 偶联标记 | Un-conjugated |
| 別名 | Adenosine receptor A1; RDC7 |
应用说明
| 应用建议 |
|
||||||
|---|---|---|---|---|---|---|---|
| 应用说明 | * The dilutions indicate recommended starting dilutions and the optimal dilutions or concentrations should be determined by the scientist. |
属性
| 形式 | Liquid |
|---|---|
| 纯化 | Affinity purified. |
| 缓冲液 | PBS (pH 7.3), 0.02% Sodium azide, 50% Glycerol and 0.05% BSA. |
| 抗菌剂 | 0.02% Sodium azide |
| 稳定剂 | 50% Glycerol and 0.05% BSA |
| 存放说明 | For continuous use, store undiluted antibody at 2-8°C for up to a week. For long-term storage, aliquot and store at -20°C. Storage in frost free freezers is not recommended. Avoid repeated freeze/thaw cycles. Suggest spin the vial prior to opening. The antibody solution should be gently mixed before use. |
| 注意事项 | For laboratory research only, not for drug, diagnostic or other use. |
生物信息
| 数据库连接 | |
|---|---|
| 基因名称 | ADORA1 |
| 全名 | adenosine A1 receptor |
| 背景介绍 | The protein encoded by this gene is an adenosine receptor that belongs to the G-protein coupled receptor 1 family. There are 3 types of adenosine receptors, each with a specific pattern of ligand binding and tissue distribution, and together they regulate a diverse set of physiologic functions. The type A1 receptors inhibit adenylyl cyclase, and play a role in the fertilization process. Animal studies also suggest a role for A1 receptors in kidney function and ethanol intoxication. Transcript variants with alternative splicing in the 5' UTR have been found for this gene. [provided by RefSeq, Jul 2008] |
| 生物功能 | Receptor for adenosine. The activity of this receptor is mediated by G proteins which inhibit adenylyl cyclase. [UniProt] |
| 细胞定位 | Cell membrane; Multi-pass membrane protein. [UniProt] |
| 预测分子量 | 37 kDa |
检测图片 (2) Click the Picture to Zoom In
-
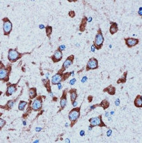
ARG42679 anti-Adenosine Receptor A1 antibody IHC-P image
Immunohistochemistry: Paraffin-embedded Rat brain tissue stained with ARG42679 anti-Adenosine Receptor A1 antibody at 1:100 dilution.
-
ARG42679 anti-Adenosine Receptor A1 antibody WB image
Western blot: 25 µg of Raji cell lysate stained with ARG42679 anti-Adenosine Receptor A1 antibody at 1:1000 dilution.
