ARG59468
anti-AZIN2 antibody
anti-AZIN2 antibody for IHC-Formalin-fixed paraffin-embedded sections,Western blot and Human,Mouse,Rat
概述
| 产品描述 | Rabbit Polyclonal antibody recognizes AZIN2 |
|---|---|
| 反应物种 | Hu, Ms, Rat |
| 应用 | IHC-P, WB |
| 宿主 | Rabbit |
| 克隆 | Polyclonal |
| 同位型 | IgG |
| 靶点名称 | AZIN2 |
| 抗原物种 | Human |
| 抗原 | Recombinant protein corresponding to C111-Q301 of Human AZIN2. |
| 偶联标记 | Un-conjugated |
| 別名 | ornithine decarboxylase paralog; AzI2; ODC1L; ODC-like protein; ARGDC; AZI2; Arginine decarboxylase; ADC; Ornithine decarboxylase-like protein; AZIB1; ODC-p; ODCp; Antizyme inhibitor 2 |
应用说明
| 应用建议 |
|
||||||
|---|---|---|---|---|---|---|---|
| 应用说明 | IHC-P: Antigen Retrieval: By heat mediation. * The dilutions indicate recommended starting dilutions and the optimal dilutions or concentrations should be determined by the scientist. |
属性
| 形式 | Liquid |
|---|---|
| 纯化 | Affinity purification with immunogen. |
| 缓冲液 | 0.9% NaCl, 0.2% Na2HPO4, 0.05% Sodium azide and 5% BSA. |
| 抗菌剂 | 0.05% Sodium azide |
| 稳定剂 | 5% BSA |
| 浓度 | 0.5 mg/ml |
| 存放说明 | For continuous use, store undiluted antibody at 2-8°C for up to a week. For long-term storage, aliquot and store at -20°C or below. Storage in frost free freezers is not recommended. Avoid repeated freeze/thaw cycles. Suggest spin the vial prior to opening. The antibody solution should be gently mixed before use. |
| 注意事项 | For laboratory research only, not for drug, diagnostic or other use. |
生物信息
| 数据库连接 | |
|---|---|
| 基因名称 | AZIN2 |
| 全名 | antizyme inhibitor 2 |
| 背景介绍 | The protein encoded by this gene belongs to the antizyme inhibitor family, which plays a role in cell growth and proliferation by maintaining polyamine homeostasis within the cell. Antizyme inhibitors are homologs of ornithine decarboxylase (ODC, the key enzyme in polyamine biosynthesis) that have lost the ability to decarboxylase ornithine; however, retain the ability to bind to antizymes. Antizymes negatively regulate intracellular polyamine levels by binding to ODC and targeting it for degradation, as well as by inhibiting polyamine uptake. Antizyme inhibitors function as positive regulators of polyamine levels by sequestering antizymes and neutralizing their effect. This gene encodes antizyme inhibitor 2, the second member of this gene family. Like antizyme inhibitor 1, antizyme inhibitor 2 interacts with all 3 antizymes and stimulates ODC activity and polyamine uptake. However, unlike antizyme inhibitor 1, which is ubiquitously expressed and localized in the nucleus and cytoplasm, antizyme inhibitor 2 is predominantly expressed in the brain and testis and localized in the endoplasmic reticulum-golgi intermediate compartment. Recent studies indicate that antizyme inhibitor 2 is also expressed in specific cell types in ovaries, adrenal glands and pancreas, and in mast cells. The exact function of this gene is not known, however, available data suggest its role in cell growth, spermiogenesis, vesicular trafficking and secretion. Accumulation of antizyme inhibitor 2 has also been observed in brains of patients with Alzheimer's disease. There has been confusion in literature and databases over the nomenclature of this gene, stemming from an earlier report that a human cDNA clone (identical to ODCp/AZIN2) had arginine decarboxylase (ADC) activity (PMID:14738999). Subsequent studies in human and mouse showed that antizyme inhibitor 2 was devoid of arginine decarboxylase activity (PMID:19956990). Alternatively spliced transcript variants have been described for this gene. [provided by RefSeq, Sep 2014] |
| 生物功能 | Antizyme inhibitor protein that positively regulates ornithine decarboxylase (ODC) activity and polyamine uptake by counteracting the negative effect of antizymes OAZ1, OAZ2 and OAZ3 on ODC1 activity. Inhibits antizyme-dependent ODC1 degradation by binding to antizymes. Releases ODC1 from its inactive complex with antizymes, leading to formation of the catalytically active ODC1. Participates in the morphological integrity of the trans-Golgi network (TGN) and functions as a regulator of intracellular secretory vesicle trafficking. [UniProt] |
| 细胞定位 | Nucleus. Cytoplasm. Cytoplasm, perinuclear region. Membrane. Cytoplasmic vesicle. Endoplasmic reticulum-Golgi intermediate compartment. Golgi apparatus, cis-Golgi network. Golgi apparatus, trans-Golgi network. Cytoplasmic granule. Cell projection, axon. Cell projection, dendrite. Perikaryon. [UniProt] |
| 预测分子量 | 50 kDa |
| 翻译后修饰 | Ubiquitinated, leading to its proteosomal degradation; a process that is reduced in presence of antizymes. May also be degraded through the lysosomal degradative pathway in a proteosomal-independent manner. [UniProt] |
检测图片 (3) Click the Picture to Zoom In
-
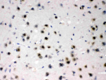
ARG59468 anti-AZIN2 antibody IHC-P image
Immunohistochemistry: Paraffin-embedded Mouse brain tissue stained with ARG59468 anti-AZIN2 antibody at 1 µg/ml dilution.
-
ARG59468 anti-AZIN2 antibody WB image
Western blot: Rat brain, Mouse brain and HeLa whole cell lysates stained with ARG59468 anti-AZIN2 antibody at 0.5 µg/ml dilution.
-
ARG59468 anti-AZIN2 antibody IHC-P image
Immunohistochemistry: Paraffin-embedded Rat brain stained with ARG59468 anti-AZIN2 antibody at 1 µg/ml dilution.
