ARG59125
anti-ATX2 antibody
anti-ATX2 antibody for Flow cytometry,IHC-Formalin-fixed paraffin-embedded sections,Western blot and Human,Mouse,Rat
概述
| 产品描述 | Rabbit Polyclonal antibody recognizes ATX2 |
|---|---|
| 反应物种 | Hu, Ms, Rat |
| 预测物种 | Hm |
| 应用 | FACS, IHC-P, WB |
| 宿主 | Rabbit |
| 克隆 | Polyclonal |
| 同位型 | IgG |
| 靶点名称 | ATX2 |
| 抗原物种 | Human |
| 抗原 | Synthetic peptide corresponding to aa. 1283-1313 of Human ATX2. (QSALQPIPVSTTAHFPYMTHPSVQAHHQQQL) |
| 偶联标记 | Un-conjugated |
| 別名 | Ataxin-2; ATX2; Trinucleotide repeat-containing gene 13 protein; TNRC13; Spinocerebellar ataxia type 2 protein; ASL13; SCA2 |
应用说明
| 应用建议 |
|
||||||||
|---|---|---|---|---|---|---|---|---|---|
| 应用说明 | IHC-P: Antigen Retrieval: Heat mediated was performed in Citrate buffer (pH 6.0) for 20 min. * The dilutions indicate recommended starting dilutions and the optimal dilutions or concentrations should be determined by the scientist. |
属性
| 形式 | Liquid |
|---|---|
| 纯化 | Affinity purification with immunogen. |
| 缓冲液 | 0.9% NaCl, 0.2% Na2HPO4, 0.05% Sodium azide and 5% BSA. |
| 抗菌剂 | 0.05% Sodium azide |
| 稳定剂 | 5% BSA |
| 浓度 | 0.5 mg/ml |
| 存放说明 | For continuous use, store undiluted antibody at 2-8°C for up to a week. For long-term storage, aliquot and store at -20°C or below. Storage in frost free freezers is not recommended. Avoid repeated freeze/thaw cycles. Suggest spin the vial prior to opening. The antibody solution should be gently mixed before use. |
| 注意事项 | For laboratory research only, not for drug, diagnostic or other use. |
生物信息
| 数据库连接 | |
|---|---|
| 基因名称 | ATXN2 |
| 全名 | ataxin 2 |
| 背景介绍 | This gene belongs to a group of genes that is associated with microsatellite-expansion diseases, a class of neurological and neuromuscular disorders caused by expansion of short stretches of repetitive DNA. The protein encoded by this gene has two globular domains near the N-terminus, one of which contains a clathrin-mediated trans-Golgi signal and an endoplasmic reticulum exit signal. The protein is primarily localized to the Golgi apparatus, with deletion of the Golgi and endoplasmic reticulum signals resulting in abnormal subcellular localization. In addition, the N-terminal region contains a polyglutamine tract. Intermediate length expansions of this tract increase susceptibility to amyotrophic lateral sclerosis, while long expansions of this tract result in spinocerebellar ataxia-2, an autosomal-dominantly inherited, neurodegenerative disorder. Alternative splicing results in multiple transcript variants. [provided by RefSeq, Jun 2015] |
| 生物功能 | Involved in EGFR trafficking, acting as negative regulator of endocytic EGFR internalization at the plasma membrane. [UniProt] |
| 细胞定位 | Cytoplasm. [UniProt] |
| 预测分子量 | 140 kDa |
检测图片 (5) Click the Picture to Zoom In
-
ARG59125 anti-ATX2 antibody FACS image
Flow Cytometry: A549 cells were blocked with 10% normal goat serum and then stained with ARG59125 anti-ATX2 antibody (blue) at 1 µg/10^6 cells for 30 min at 20°C, followed by DyLight®488 labelled secondary antibody. Isotype control antibody (green) was Rabbit IgG (1 µg/10^6 cells) used under the same conditions. Unlabelled sample (red) was also used as a control.
-
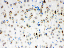
ARG59125 anti-ATX2 antibody IHC-P image
Immunohistochemistry: Paraffin-embedded Mouse brain Tissue. Antigen Retrieval: Heat mediated was performed in Citrate buffer (pH 6.0, epitope retrieval solution) for 20 min. The tissue section was blocked with 10% goat serum. The tissue section was then stained with ARG59125 anti-ATX2 antibody at 1 µg/ml, overnight at 4°C.
-
ARG59125 anti-ATX2 antibody WB image
Western blot: 50 µg of samples under reducing conditions. Mouse liver tissue lysate stained with ARG59125 anti-ATX2 antibody at 0.5 µg/ml, overnight at 4°C.
-
ARG59125 anti-ATX2 antibody IHC-P image
Immunohistochemistry: Paraffin-embedded Rat brain Tissue. Antigen Retrieval: Heat mediated was performed in Citrate buffer (pH 6.0, epitope retrieval solution) for 20 min. The tissue section was blocked with 10% goat serum. The tissue section was then stained with ARG59125 anti-ATX2 antibody at 1 µg/ml, overnight at 4°C.
-
ARG59125 anti-ATX2 antibody IHC-P image
Immunohistochemistry: Paraffin-embedded Human mammary cancer tissue. Antigen Retrieval: Heat mediated was performed in Citrate buffer (pH 6.0, epitope retrieval solution) for 20 min. The tissue section was blocked with 10% goat serum. The tissue section was then stained with ARG59125 anti-ATX2 antibody at 1 µg/ml, overnight at 4°C.
