ARG66863
anti-ATR antibody
anti-ATR antibody for IHC-Formalin-fixed paraffin-embedded sections,Western blot and Human
概述
| 产品描述 | Rabbit Polyclonal antibody recognizes ATR |
|---|---|
| 反应物种 | Hu |
| 应用 | IHC-P, WB |
| 宿主 | Rabbit |
| 克隆 | Polyclonal |
| 同位型 | IgG |
| 靶点名称 | ATR |
| 抗原物种 | Human |
| 抗原 | Synthetic peptide corresponding to aa. 394-443 of Human ATR. |
| 偶联标记 | Un-conjugated |
| 別名 | FRP1; SCKL; FCTCS; FRAP-related protein 1; Serine/threonine-protein kinase ATR; EC 2.7.11.1; MEC1; SCKL1; Ataxia telangiectasia and Rad3-related protein |
应用说明
| 应用建议 |
|
||||||
|---|---|---|---|---|---|---|---|
| 应用说明 | * The dilutions indicate recommended starting dilutions and the optimal dilutions or concentrations should be determined by the scientist. | ||||||
| 阳性对照 | COLO |
属性
| 形式 | Liquid |
|---|---|
| 纯化 | Affinity purification with immunogen. |
| 缓冲液 | PBS, 0.02% Sodium azide, 50% Glycerol and 0.5% BSA. |
| 抗菌剂 | 0.02% Sodium azide |
| 稳定剂 | 50% Glycerol and 0.5% BSA |
| 浓度 | 1 mg/ml |
| 存放说明 | For continuous use, store undiluted antibody at 2-8°C for up to a week. For long-term storage, aliquot and store at -20°C. Storage in frost free freezers is not recommended. Avoid repeated freeze/thaw cycles. Suggest spin the vial prior to opening. The antibody solution should be gently mixed before use. |
| 注意事项 | For laboratory research only, not for drug, diagnostic or other use. |
生物信息
| 数据库连接 |
Swiss-port # Q13535 Human Serine/threonine-protein kinase ATR |
|---|---|
| 基因名称 | ATR |
| 全名 | ATR serine/threonine kinase |
| 背景介绍 | The protein encoded by this gene is a serine/threonine kinase and DNA damage sensor, activating cell cycle checkpoint signaling upon DNA stress. The encoded protein can phosphorylate and activate several proteins involved in the inhibition of DNA replication and mitosis, and can promote DNA repair, recombination, and apoptosis. This protein is also important for fragile site stability and centrosome duplication. Defects in this gene are a cause of Seckel syndrome 1. [provided by RefSeq, Aug 2017] |
| 生物功能 | Serine/threonine protein kinase which activates checkpoint signaling upon genotoxic stresses such as ionizing radiation (IR), ultraviolet light (UV), or DNA replication stalling, thereby acting as a DNA damage sensor. Recognizes the substrate consensus sequence [ST]-Q. Phosphorylates BRCA1, CHEK1, MCM2, RAD17, RPA2, SMC1 and p53/TP53, which collectively inhibit DNA replication and mitosis and promote DNA repair, recombination and apoptosis. Phosphorylates 'Ser-139' of histone variant H2AX/H2AFX at sites of DNA damage, thereby regulating DNA damage response mechanism. Required for FANCD2 ubiquitination. Critical for maintenance of fragile site stability and efficient regulation of centrosome duplication. [UniProt] |
| 细胞定位 | Nucleus. Nucleus, PML body. Chromosome. Note=Depending on the cell type, it can also be found in PML nuclear bodies. Recruited to chromatin during S-phase. Redistributes to discrete nuclear foci upon DNA damage, hypoxia or replication fork stalling. [UniProt] |
| 预测分子量 | 301 kDa |
| 翻译后修饰 | Phosphorylated; autophosphorylates in vitro. [UniProt] |
检测图片 (2) Click the Picture to Zoom In
-
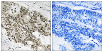
ARG66863 anti-ATR antibody IHC-P image
Immunohistochemistry: Paraffin-embedded Human colon carcinoma tissue stained with ARG66863 anti-ATR antibody. The picture on the right is blocked with the synthetic peptide.
-
ARG66863 anti-ATR antibody WB image
Western blot: COLO cell nucleus lysate stained with ARG66863 anti-ATR antibody.
