ARG40089
anti-ATP6V1G3 antibody
anti-ATP6V1G3 antibody for IHC-Formalin-fixed paraffin-embedded sections,Western blot and Mouse
概述
| 产品描述 | Rabbit Polyclonal antibody recognizes ATP6V1G3 |
|---|---|
| 反应物种 | Ms |
| 应用 | IHC-P, WB |
| 宿主 | Rabbit |
| 克隆 | Polyclonal |
| 同位型 | IgG |
| 靶点名称 | ATP6V1G3 |
| 抗原物种 | Human |
| 抗原 | Recombinant fusion protein corresponding to aa. 1-118 of Human ATP6V1G3 (NP_573569.1). |
| 偶联标记 | Un-conjugated |
| 別名 | ATP6G3; Vacuolar proton pump subunit G 3; Vma10; V-ATPase subunit G 3; V-type proton ATPase subunit G 3; V-ATPase 13 kDa subunit 3 |
应用说明
| 应用建议 |
|
||||||
|---|---|---|---|---|---|---|---|
| 应用说明 | * The dilutions indicate recommended starting dilutions and the optimal dilutions or concentrations should be determined by the scientist. | ||||||
| 阳性对照 | Mouse kidney | ||||||
| 实际分子量 | 14 kDa |
属性
| 形式 | Liquid |
|---|---|
| 纯化 | Affinity purified. |
| 缓冲液 | PBS (pH 7.3), 0.02% Sodium azide and 50% Glycerol. |
| 抗菌剂 | 0.02% Sodium azide |
| 稳定剂 | 50% Glycerol |
| 存放说明 | For continuous use, store undiluted antibody at 2-8°C for up to a week. For long-term storage, aliquot and store at -20°C. Storage in frost free freezers is not recommended. Avoid repeated freeze/thaw cycles. Suggest spin the vial prior to opening. The antibody solution should be gently mixed before use. |
| 注意事项 | For laboratory research only, not for drug, diagnostic or other use. |
生物信息
| 数据库连接 | |
|---|---|
| 基因名称 | ATP6V1G3 |
| 全名 | ATPase, H+ transporting, lysosomal 13kDa, V1 subunit G3 |
| 背景介绍 | This gene encodes a component of vacuolar ATPase (V-ATPase), a multisubunit enzyme that mediates acidification of eukaryotic intracellular organelles. V-ATPase dependent organelle acidification is necessary for such intracellular processes as protein sorting, zymogen activation, receptor-mediated endocytosis, and synaptic vesicle proton gradient generation. V-ATPase is composed of a cytosolic V1 domain and a transmembrane V0 domain. The V1 domain consists of three A and three B subunits, two G subunits plus the C, D, E, F, and H subunits. The V1 domain contains the ATP catalytic site. The V0 domain consists of five different subunits: a, c, c', c'' and d. Additional isoforms of many of the V1 and V0 subunit proteins are encoded by multiple genes or alternatively spliced transcript variants. This gene encodes one of three G subunit proteins. Transcript variants encoding different isoforms have been found for this gene. [provided by RefSeq, Jul 2008] |
| 生物功能 | Catalytic subunit of the peripheral V1 complex of vacuolar ATPase (V-ATPase). V-ATPase is responsible for acidifying a variety of intracellular compartments in eukaryotic cells. [UniProt] |
| 预测分子量 | 14 kDa |
检测图片 (2) Click the Picture to Zoom In
-
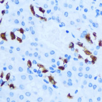
ARG40089 anti-ATP6V1G3 antibody IHC-P image
Immunohistochemistry: Paraffin-embedded Mouse kidney stained with ARG40089 anti-ATP6V1G3 antibody at 1:100 dilution.
-
ARG40089 anti-ATP6V1G3 antibody WB image
Western blot: 25 µg of Mouse kidney lysate stained with ARG40089 anti-ATP6V1G3 antibody at 1:1000 dilution.
