ARG45662
anti-ATP4B antibody
anti-ATP4B antibody for Flow cytometry,IHC-Formalin-fixed paraffin-embedded sections,Western blot and Human,Mouse,Rat
概述
| 产品描述 | Rabbit Polyclonal antibody recognizes ATP4B |
|---|---|
| 反应物种 | Hu, Ms, Rat |
| 应用 | FACS, IHC-P, WB |
| 宿主 | Rabbit |
| 克隆 | Polyclonal |
| 同位型 | IgG |
| 靶点名称 | ATP4B |
| 抗原物种 | Human |
| 抗原 | Recombinant protein containing to human ATP4B. |
| 偶联标记 | Un-conjugated |
| 別名 | ATP4B; ATPase, H+/K+ exchanging, beta polypeptide; Gastric H; +; Proton pump beta chain; ATP6B; Potassium-transporting ATPase subunit beta |
应用说明
| 应用建议 |
|
||||||||
|---|---|---|---|---|---|---|---|---|---|
| 应用说明 | * The dilutions indicate recommended starting dilutions and the optimal dilutions or concentrations should be determined by the scientist. |
属性
| 形式 | Liquid |
|---|---|
| 纯化 | Affinity purified |
| 缓冲液 | 0.2% Na2HPO4, 0.9% NaCl and 4% Trehalose. |
| 稳定剂 | 4% Trehalose |
| 浓度 | 0.5 mg/ml |
| 存放说明 | For continuous use, store undiluted antibody at 2-8°C for up to a week. For long-term storage, aliquot and store at -20°C or below. Storage in frost free freezers is not recommended. Avoid repeated freeze/thaw cycles. Suggest spin the vial prior to opening. The antibody solution should be gently mixed before use. |
| 注意事项 | For laboratory research only, not for drug, diagnostic or other use. |
生物信息
| 数据库连接 | |
|---|---|
| 基因名称 | ATP4B |
| 全名 | ATPase, H+/K+ exchanging, beta polypeptide |
| 背景介绍 | The protein encoded by this gene belongs to a family of P-type cation-transporting ATPases. The gastric H+, K+-ATPase is a heterodimer consisting of a high molecular weight catalytic alpha subunit and a smaller but heavily glycosylated beta subunit. This enzyme is a proton pump that catalyzes the hydrolysis of ATP coupled with the exchange of H(+) and K(+) ions across the plasma membrane. It is also responsible for gastric acid secretion. This gene encodes the beta subunit of the gastric H+, K+-ATPase. [provided by RefSeq, Jul 2008] |
| 生物功能 | Required for stabilization and maturation of the catalytic proton pump alpha subunit and may also involved in cell adhesion and establishing epithelial cell polarity. [UniProt] |
| 细胞定位 | Cell membrane; Single-pass type II membrane protein. [UniProt] |
| 预测分子量 | 33 kDa |
| 翻译后修饰 | Disulfide bond; Glycoprotein. [UniProt] |
检测图片 (4) Click the Picture to Zoom In
-
ARG45662 anti-ATP4B antibody FACS image
Flow Cytometry: HepG2 stained with ARG45662 anti-ATP4B antibody at 1 µg/10^6 cells dilution.
-
ARG45662 anti-ATP4B antibody WB image
Western blot: Rat stomach stained with ARG45662 anti-ATP4B antibody at 0.5 μg/ml dilution.
-
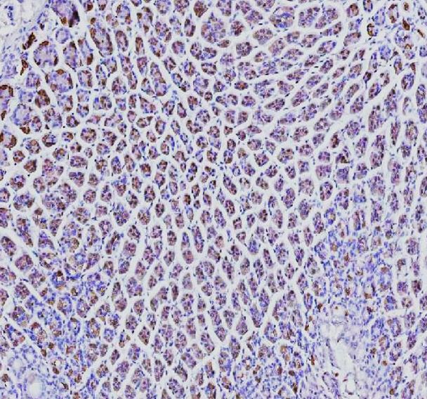
ARG45662 anti-ATP4B antibody IHC-P image
Immunohistochemistry: Mouse stomach stained with ARG45662 anti-ATP4B antibody at 2 μg/ml dilution.
-
ARG45662 anti-ATP4B antibody WB image
Western blot: Mouse stomach stained with ARG45662 anti-ATP4B antibody at 0.5 μg/ml dilution.
