ARG46024
anti-ATG4C antibody
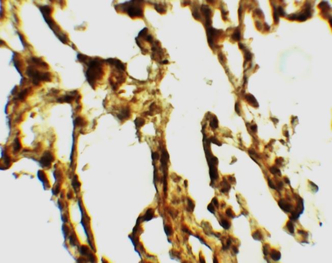
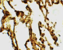
anti-ATG4C antibody for Western blot,IHC-Formalin-fixed paraffin-embedded sections and Human,Mouse,Rat
概述
| 产品描述 | Rabbit Polyclonal antibody recognizes ATG4C |
|---|---|
| 反应物种 | Hu, Ms, Rat |
| 应用 | IHC-P, WB |
| 宿主 | Rabbit |
| 克隆 | Polyclonal |
| 同位型 | IgG |
| 靶点名称 | ATG4C |
| 抗原物种 | Human |
| 抗原 | A 18 amino acid synthetic peptide within the last 50 amino acids of human ATG4C. |
| 偶联标记 | Un-conjugated |
| 別名 | ATG4C; Cysteine protease ATG4C; Autophagin-3; AUT-like 3 cysteine endopeptidase; Autophagy-related protein 4 homolog C; APG4C; APG4-C; Autophagy-related cysteine endopeptidase 3; EC 3.4.22.-; AUTL3; AUTL1 |
应用说明
| 应用建议 |
|
||||||
|---|---|---|---|---|---|---|---|
| 应用说明 | * The dilutions indicate recommended starting dilutions and the optimal dilutions or concentrations should be determined by the scientist. | ||||||
| 实际分子量 | 57 kDa |
属性
| 纯化 | Affinity chromatography purified |
|---|---|
| 缓冲液 | PBS and 0.02% Sodium azide. |
| 抗菌剂 | 0.02% Sodium azide |
| 浓度 | 1 mg/ml |
| 存放说明 | For continuous use, store undiluted antibody at 2-8°C for up to a week. For long-term storage, aliquot and store at -20°C. Storage in frost free freezers is not recommended. Avoid repeated freeze/thaw cycles. Suggest spin the vial prior to opening. The antibody solution should be gently mixed before use. |
| 注意事项 | For laboratory research only, not for drug, diagnostic or other use. |
生物信息
| 数据库连接 | |
|---|---|
| 基因名称 | ATG4C |
| 全名 | autophagy related 4C, cysteine peptidase |
| 背景介绍 | Autophagy is the process by which endogenous proteins and damaged organelles are destroyed intracellularly. Autophagy is postulated to be essential for cell homeostasis and cell remodeling during differentiation, metamorphosis, non-apoptotic cell death, and aging. Reduced levels of autophagy have been described in some malignant tumors, and a role for autophagy in controlling the unregulated cell growth linked to cancer has been proposed. This gene encodes a member of the autophagin protein family. The encoded protein is also designated as a member of the C-54 family of cysteine proteases. Alternate transcriptional splice variants, encoding the same protein, have been characterized. [provided by RefSeq, Jul 2008] |
| 生物功能 | Cysteine protease required for the cytoplasm to vacuole transport (Cvt) and autophagy. Is not essential for autophagy development under normal conditions but is required for a proper autophagic response under stressful conditions such as prolonged starvation (By similarity). Cleaves the C-terminal amino acid of ATG8 family proteins MAP1LC3 and GABARAPL2, to reveal a C-terminal glycine. Exposure of the glycine at the C-terminus is essential for ATG8 proteins conjugation to phosphatidylethanolamine (PE) and insertion to membranes, which is necessary for autophagy. Has also an activity of delipidating enzyme for the PE-conjugated forms. [UniProt] |
| 细胞定位 | Cytoplasm. |
| 预测分子量 | 50 kDa |
检测图片 (2) Click the Picture to Zoom In
