ARG46022
anti-ATAD3B antibody
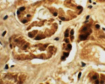
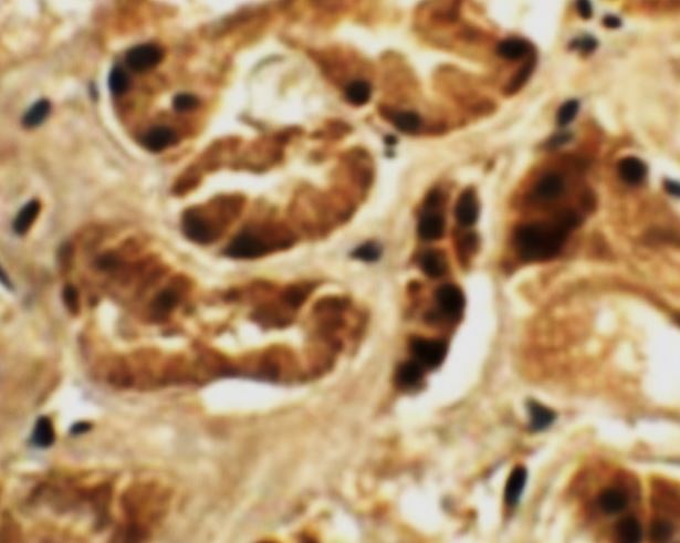
anti-ATAD3B antibody for Western blot,IHC-Formalin-fixed paraffin-embedded sections and Human
概述
| 产品描述 | Rabbit Polyclonal antibody recognizes ATAD3B |
|---|---|
| 反应物种 | Hu |
| 应用 | IHC-P, WB |
| 宿主 | Rabbit |
| 克隆 | Polyclonal |
| 同位型 | IgG |
| 靶点名称 | ATAD3B |
| 抗原物种 | Human |
| 抗原 | A 14 amino acid synthetic peptide within aa. 570 - 620 of human ATAD3B. |
| 偶联标记 | Un-conjugated |
| 別名 | ATAD3B; AAA-TOB3; ATPase family AAA domain-containing protein 3B; TOB3 |
应用说明
| 应用建议 |
|
||||||
|---|---|---|---|---|---|---|---|
| 应用说明 | * The dilutions indicate recommended starting dilutions and the optimal dilutions or concentrations should be determined by the scientist. |
属性
| 纯化 | Affinity chromatography purified |
|---|---|
| 缓冲液 | PBS and 0.02% Sodium azide. |
| 抗菌剂 | 0.02% Sodium azide |
| 浓度 | 1 mg/ml |
| 存放说明 | For continuous use, store undiluted antibody at 2-8°C for up to a week. For long-term storage, aliquot and store at -20°C. Storage in frost free freezers is not recommended. Avoid repeated freeze/thaw cycles. Suggest spin the vial prior to opening. The antibody solution should be gently mixed before use. |
| 注意事项 | For laboratory research only, not for drug, diagnostic or other use. |
生物信息
| 数据库连接 |
Swiss-port # Q5T9A4 Human ATPase family AAA domain-containing protein 3B |
|---|---|
| 基因名称 | ATAD3B |
| 全名 | ATPase family, AAA domain containing 3B |
| 背景介绍 | ATAD3A (MIM 612316) and ATAD3B are mitochondrial membrane proteins that contribute to the stabilization of large mitochondrial DNA (mtDNA)-protein complexes called nucleoids (He et al., 2007 [PubMed 17210950]).[supplied by OMIM, Sep 2008] |
| 生物功能 | May play a role in a mitochondrial network organization typical for stem cells, characterized by reduced mitochondrial metabolism, low mtDNA copies and fragmentated mitochondrial network. may act by suppressing ATAD3A function, interfering with ATAD3A interaction with matrix nucleoid complexes. [UniProt] |
| 预测分子量 | 73 kDa |
检测图片 (2) Click the Picture to Zoom In
