ARG59431
anti-ASXL1 antibody
anti-ASXL1 antibody for Flow cytometry,Western blot and Human,Mouse
概述
| 产品描述 | Rabbit Polyclonal antibody recognizes ASXL1 |
|---|---|
| 反应物种 | Hu, Ms |
| 预测物种 | Rat |
| 应用 | FACS, WB |
| 宿主 | Rabbit |
| 克隆 | Polyclonal |
| 同位型 | IgG |
| 靶点名称 | ASXL1 |
| 抗原物种 | Human |
| 抗原 | Synthetic peptide corresponding to a sequence of Human ASXL1. (KKERTWAEAARLVLENYSDAPMTPKQILQVIEAE) |
| 偶联标记 | Un-conjugated |
| 別名 | MDS; Additional sex combs-like protein 1; BOPS; Putative Polycomb group protein ASXL1 |
应用说明
| 应用建议 |
|
||||||
|---|---|---|---|---|---|---|---|
| 应用说明 | * The dilutions indicate recommended starting dilutions and the optimal dilutions or concentrations should be determined by the scientist. |
属性
| 形式 | Liquid |
|---|---|
| 纯化 | Affinity purification with immunogen. |
| 缓冲液 | 0.2% Na2HPO4, 0.9% NaCl and 4% Trehalose. |
| 稳定剂 | 4% Trehalose |
| 浓度 | 0.5 mg/ml |
| 存放说明 | For continuous use, store undiluted antibody at 2-8°C for up to a week. For long-term storage, aliquot and store at -20°C or below. Storage in frost free freezers is not recommended. Avoid repeated freeze/thaw cycles. Suggest spin the vial prior to opening. The antibody solution should be gently mixed before use. |
| 注意事项 | For laboratory research only, not for drug, diagnostic or other use. |
生物信息
| 数据库连接 |
Swiss-port # P59598 Mouse Putative Polycomb group protein ASXL1 Swiss-port # Q8IXJ9 Human Putative Polycomb group protein ASXL1 |
|---|---|
| 基因名称 | ASXL1 |
| 全名 | additional sex combs like transcriptional regulator 1 |
| 背景介绍 | This gene is similar to the Drosophila additional sex combs gene, which encodes a chromatin-binding protein required for normal determination of segment identity in the developing embryo. The protein is a member of the Polycomb group of proteins, which are necessary for the maintenance of stable repression of homeotic and other loci. The protein is thought to disrupt chromatin in localized areas, enhancing transcription of certain genes while repressing the transcription of other genes. The protein encoded by this gene functions as a ligand-dependent co-activator for retinoic acid receptor in cooperation with nuclear receptor coactivator 1. Mutations in this gene are associated with myelodysplastic syndromes and chronic myelomonocytic leukemia. Alternative splicing results in multiple transcript variants. [provided by RefSeq, Sep 2009] |
| 生物功能 | Probable Polycomb group (PcG) protein involved in transcriptional regulation mediated by ligand-bound nuclear hormone receptors, such as retinoic acid receptors (RARs) and peroxisome proliferator-activated receptor gamma (PPARG). Acts as coactivator of RARA and RXRA through association with NCOA1. Acts as corepressor through recruitment of KDM1A and CBX5 to target genes in a cell-type specific manner; the function seems to involve differential recruitment of methylated histone H3 to respective promoters. Acts as corepressor for PPARG and suppresses its adipocyte differentiation-inducing activity (By similarity). Non-catalytic component of the PR-DUB complex, a complex that specifically mediates deubiquitination of histone H2A monoubiquitinated at 'Lys-119' (H2AK119ub1). [UniProt] |
| 细胞定位 | Nucleus. [UniProt] |
| 预测分子量 | 165 kDa |
检测图片 (3) Click the Picture to Zoom In
-
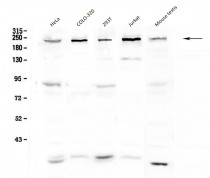
ARG59431 anti-ASXL1 antibody WB image
Western blot: 50 µg of samples under reducing conditions. HeLa, COLO-320, 293T, Jurkat and Mouse testis lysates stained with ARG59431 anti-ASXL1 antibody at 0.5 µg/ml, overnight at 4°C.
-
ARG59431 anti-ASXL1 antibody FACS image
Flow Cytometry: HepG2 cells were blocked with 10% normal goat serum and then stained with ARG59431 anti-ASXL1 antibody (blue) at 1 µg/10^6 cells for 30 min at 20°C, followed by incubation with DyLight®488 labelled secondary antibody. Isotype control antibody (green) was rabbit IgG (1 µg/10^6 cells) used under the same conditions. Unlabelled sample (red) was also used as a control.
-
ARG59431 anti-ASXL1 antibody FACS image
Flow Cytometry: U2OS cells were blocked with 10% normal goat serum and then stained with ARG59431 anti-ASXL1 antibody (blue) at 1 µg/10^6 cells for 30 min at 20°C, followed by incubation with DyLight®488 labelled secondary antibody. Isotype control antibody (green) was rabbit IgG (1 µg/10^6 cells) used under the same conditions. Unlabelled sample (red) was also used as a control.
