ARG58318
anti-ASNS / Asparagine Synthetase antibody
anti-ASNS / Asparagine Synthetase antibody for IHC-Formalin-fixed paraffin-embedded sections,Western blot and Human,Mouse
概述
| 产品描述 | Rabbit Polyclonal antibody recognizes ASNS / Asparagine Synthetase |
|---|---|
| 反应物种 | Hu, Ms |
| 应用 | IHC-P, WB |
| 宿主 | Rabbit |
| 克隆 | Polyclonal |
| 同位型 | IgG |
| 靶点名称 | ASNS / Asparagine Synthetase |
| 抗原物种 | Human |
| 抗原 | Synthetic peptide derived from Human ASNS. |
| 偶联标记 | Un-conjugated |
| 別名 | TS11; EC 6.3.5.4; Asparagine synthetase [glutamine-hydrolyzing]; Cell cycle control protein TS11; Glutamine-dependent asparagine synthetase; ASNSD |
应用说明
| 应用建议 |
|
||||||
|---|---|---|---|---|---|---|---|
| 应用说明 | * The dilutions indicate recommended starting dilutions and the optimal dilutions or concentrations should be determined by the scientist. | ||||||
| 阳性对照 | K562 | ||||||
| 实际分子量 | ~ 61 kDa |
属性
| 形式 | Liquid |
|---|---|
| 纯化 | Affinity purified. |
| 缓冲液 | PBS (pH 7.4), 0.02% Sodium azide and 50% Glycerol. |
| 抗菌剂 | 0.02% Sodium azide |
| 稳定剂 | 50% Glycerol |
| 存放说明 | For continuous use, store undiluted antibody at 2-8°C for up to a week. For long-term storage, aliquot and store at -20°C. Storage in frost free freezers is not recommended. Avoid repeated freeze/thaw cycles. Suggest spin the vial prior to opening. The antibody solution should be gently mixed before use. |
| 注意事项 | For laboratory research only, not for drug, diagnostic or other use. |
生物信息
| 数据库连接 |
Swiss-port # P08243 Human Asparagine synthetase [glutamine-hydrolyzing] Swiss-port # Q61024 Mouse Asparagine synthetase [glutamine-hydrolyzing] |
|---|---|
| 基因名称 | ASNS |
| 全名 | asparagine synthetase (glutamine-hydrolyzing) |
| 背景介绍 | The protein encoded by this gene is involved in the synthesis of asparagine. This gene complements a mutation in the temperature-sensitive hamster mutant ts11, which blocks progression through the G1 phase of the cell cycle at nonpermissive temperature. Alternatively spliced transcript variants have been described for this gene. [provided by RefSeq, May 2010] |
| 预测分子量 | 64 kDa |
检测图片 (2) Click the Picture to Zoom In
-
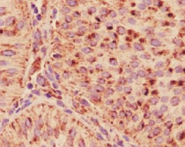
ARG58318 anti-ASNS / Asparagine Synthetase antibody IHC-P image
Immunohistochemistry: Paraffin-embedded Human bladder tissue stained with ARG58318 anti-ASNS / Asparagine Synthetase antibody.
-
ARG58318 anti-ASNS / Asparagine Synthetase antibody WB image
Western blot: K562 cell lysate stained with ARG58318 anti-ASNS / Asparagine Synthetase antibody.
