ARG51675
anti-ASK1 phospho (Ser966) antibody
anti-ASK1 phospho (Ser966) antibody for IHC-Formalin-fixed paraffin-embedded sections,Western blot and Human,Mouse,Monkey
Cell Biology and Cellular Response antibody; Cell Death antibody
概述
| 产品描述 | Rabbit Polyclonal antibody recognizes ASK1 phospho (Ser966) |
|---|---|
| 反应物种 | Hu, Ms, Mk |
| 应用 | IHC-P, WB |
| 宿主 | Rabbit |
| 克隆 | Polyclonal |
| 同位型 | IgG |
| 靶点名称 | ASK1 |
| 抗原物种 | Human |
| 抗原 | Peptide sequence around phosphorylation site of serine 966 (S-I-S(p)-L-P) derived from Human ASK1. |
| 偶联标记 | Un-conjugated |
| 別名 | ASK-1; MEK kinase 5; ASK1; MAPK/ERK kinase kinase 5; Mitogen-activated protein kinase kinase kinase 5; MEKK5; Apoptosis signal-regulating kinase 1; MEKK 5; EC 2.7.11.25; MAPKKK5 |
应用说明
| 应用建议 |
|
||||||
|---|---|---|---|---|---|---|---|
| 应用说明 | * The dilutions indicate recommended starting dilutions and the optimal dilutions or concentrations should be determined by the scientist. |
属性
| 形式 | Liquid |
|---|---|
| 纯化 | Antibodies were produced by immunizing rabbits with KLH-conjugated synthetic phosphopeptide. Antibodies were purified by affinity-chromatography using epitope-specific phosphopeptide. In addition, non-phospho specific antibodies were removed by chromatogramphy using non-phosphopeptide. |
| 缓冲液 | PBS (without Mg2+ and Ca2+, pH 7.4), 150mM NaCl, 0.02% Sodium azide and 50% Glycerol. |
| 抗菌剂 | 0.02% Sodium azide |
| 稳定剂 | 50% Glycerol |
| 浓度 | 1 mg/ml |
| 存放说明 | For continuous use, store undiluted antibody at 2-8°C for up to a week. For long-term storage, aliquot and store at -20°C. Storage in frost free freezers is not recommended. Avoid repeated freeze/thaw cycles. Suggest spin the vial prior to opening. The antibody solution should be gently mixed before use. |
| 注意事项 | For laboratory research only, not for drug, diagnostic or other use. |
生物信息
| 数据库连接 |
Swiss-port # O35099 Mouse Mitogen-activated protein kinase kinase kinase 5 Swiss-port # Q99683 Human Mitogen-activated protein kinase kinase kinase 5 |
|---|---|
| 基因名称 | MAP3K5 |
| 全名 | mitogen-activated protein kinase kinase kinase 5 |
| 背景介绍 | Component of a protein kinase signal transduction cascade. Phosphorylates and activates MAP2K4 and MAP2K6, which in turn activate the JNK and p38 MAP kinases, respectively. Overexpression induces apoptotic cell death. |
| 生物功能 | Serine/threonine kinase which acts as an essential component of the MAP kinase signal transduction pathway. Plays an important role in the cascades of cellular responses evoked by changes in the environment. Mediates signaling for determination of cell fate such as differentiation and survival. Plays a crucial role in the apoptosis signal transduction pathway through mitochondria-dependent caspase activation. MAP3K5/ASK1 is required for the innate immune response, which is essential for host defense against a wide range of pathogens. Mediates signal transduction of various stressors like oxidative stress as well as by receptor-mediated inflammatory signals, such as the tumor necrosis factor (TNF) or lipopolysaccharide (LPS). Once activated, acts as an upstream activator of the MKK/JNK signal transduction cascade and the p38 MAPK signal transduction cascade through the phosphorylation and activation of several MAP kinase kinases like MAP2K4/SEK1, MAP2K3/MKK3, MAP2K6/MKK6 and MAP2K7/MKK7. These MAP2Ks in turn activate p38 MAPKs and c-jun N-terminal kinases (JNKs). Both p38 MAPK and JNKs control the transcription factors activator protein-1 (AP-1). [UniProt] |
| 研究领域 | Cell Biology and Cellular Response antibody; Cell Death antibody |
| 预测分子量 | 155 kDa |
| 翻译后修饰 | Phosphorylated at Thr-838 through autophosphorylation and by MAP3K6/ASK2 which leads to activation. Thr-838 is dephosphorylated by PPP5C. Ser-83 and Ser-1033 are inactivating phosphorylation sites, the former of which is phosphorylated by AKT1 and AKT2. Phosphorylated at Ser-966 which induces association of MAP3K5/ASK1 with the 14-3-3 family proteins and suppresses MAP3K5/ASK1 activity. Calcineurin (CN) dephosphorylates this site. Also dephosphorylated and activated by PGAM5. Ubiquitinated. Tumor necrosis factor (TNF) induces TNFR2-dependent ubiquitination leading to proteasomal degradation. |
检测图片 (2) Click the Picture to Zoom In
-
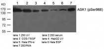
ARG51675 anti-ASK1 phospho (Ser966) antibody WB image
Western blot: Extracts from various cells stained with ARG51675 anti-ASK1 phospho (Ser966) antibody.
-
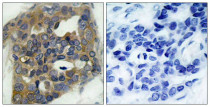
ARG51675 anti-ASK1 phospho (Ser966) antibody IHC-P image
Immunohistochemistry: Paraffin-embedded Human breast carcinoma tissue stained with ARG51675 anti-ASK1 phospho (Ser966) antibody (left) or the same antibody preincubated with blocking peptide (right).
