ARG45743
anti-ASK1 antibody
anti-ASK1 antibody for Flow cytometry,ICC/IF,IHC-Formalin-fixed paraffin-embedded sections,Western blot and Human,Mouse,Rat
概述
| 产品描述 | Rabbit Polyclonal antibody recognizes ASK1 |
|---|---|
| 反应物种 | Hu, Ms, Rat |
| 应用 | FACS, ICC/IF, IHC-P, WB |
| 宿主 | Rabbit |
| 克隆 | Polyclonal |
| 同位型 | IgG |
| 靶点名称 | ASK1 |
| 抗原物种 | Human |
| 抗原 | Recombinant protein containing to human ASK1. |
| 偶联标记 | Un-conjugated |
| 別名 | MAP3K5; Mitogen-Activated Protein Kinase Kinase Kinase 5; MAPKKK5; ASK1; MEKK5; Apoptosis Signal-Regulating Kinase 1; MAPK/ERK Kinase Kinase 5; MEK Kinase 5; EC 2.7.11.25 47; MEKK 5; ASK-1; Apoptosis Signal Regulating Kinase 1; MAP/ERK Kinase Kinase 5; EC 2.7.11 47 |
应用说明
| 应用建议 |
|
||||||||||
|---|---|---|---|---|---|---|---|---|---|---|---|
| 应用说明 | * The dilutions indicate recommended starting dilutions and the optimal dilutions or concentrations should be determined by the scientist. | ||||||||||
| 实际分子量 | 155 kDa |
属性
| 形式 | Liquid |
|---|---|
| 纯化 | Affinity purified |
| 缓冲液 | 0.2% Na2HPO4, 0.9% NaCl and 4% Trehalose. |
| 稳定剂 | 4% Trehalose |
| 浓度 | 0.5 mg/ml |
| 存放说明 | For continuous use, store undiluted antibody at 2-8°C for up to a week. For long-term storage, aliquot and store at -20°C or below. Storage in frost free freezers is not recommended. Avoid repeated freeze/thaw cycles. Suggest spin the vial prior to opening. The antibody solution should be gently mixed before use. |
| 注意事项 | For laboratory research only, not for drug, diagnostic or other use. |
生物信息
| 数据库连接 |
Swiss-port # O35099 Mouse Mitogen-activated protein kinase kinase kinase 5 Swiss-port # Q99683 Human Mitogen-activated protein kinase kinase kinase 5 |
|---|---|
| 基因名称 | MAP3K5 |
| 全名 | Mitogen-Activated Protein Kinase Kinase Kinase 5 |
| 背景介绍 | Mitogen-activated protein kinase (MAPK) signaling cascades include MAPK or extracellular signal-regulated kinase (ERK), MAPK kinase (MKK or MEK), and MAPK kinase kinase (MAPKKK or MEKK). MAPKK kinase/MEKK phosphorylates and activates its downstream protein kinase, MAPK kinase/MEK, which in turn activates MAPK. The kinases of these signaling cascades are highly conserved, and homologs exist in yeast, Drosophila, and mammalian cells. MAPKKK5 contains 1,374 amino acids with all 11 kinase subdomains. Northern blot analysis shows that MAPKKK5 transcript is abundantly expressed in human heart and pancreas. The MAPKKK5 protein phosphorylates and activates MKK4 (aliases SERK1, MAPKK4) in vitro, and activates c-Jun N-terminal kinase (JNK)/stress-activated protein kinase (SAPK) during transient expression in COS and 293 cells; MAPKKK5 does not activate MAPK/ERK. [provided by RefSeq, Jul 2008] |
| 生物功能 | Serine/threonine kinase which acts as an essential component of the MAP kinase signal transduction pathway. Plays an important role in the cascades of cellular responses evoked by changes in the environment. Mediates signaling for determination of cell fate such as differentiation and survival. Plays a crucial role in the apoptosis signal transduction pathway through mitochondria-dependent caspase activation. MAP3K5/ASK1 is required for the innate immune response, which is essential for host defense against a wide range of pathogens. Mediates signal transduction of various stressors like oxidative stress as well as by receptor-mediated inflammatory signals, such as the tumor necrosis factor (TNF) or lipopolysaccharide (LPS). Once activated, acts as an upstream activator of the MKK/JNK signal transduction cascade and the p38 MAPK signal transduction cascade through the phosphorylation and activation of several MAP kinase kinases like MAP2K4/SEK1, MAP2K3/MKK3, MAP2K6/MKK6 and MAP2K7/MKK7. These MAP2Ks in turn activate p38 MAPKs and c-jun N-terminal kinases (JNKs). Both p38 MAPK and JNKs control the transcription factors activator protein-1 (AP-1). . [UniProt] |
| 细胞定位 | Cytoplasm; Endoplasmic reticulum. [UniProt] |
| 预测分子量 | 155 kDa |
| 翻译后修饰 | Methylation; Phosphoprotein; Ubl conjugation. [UniProt] |
检测图片 (6) Click the Picture to Zoom In
-
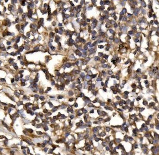
ARG45743 anti-ASK1 antibody IHC-P image
Immunohistochemistry: Human lung cancer stained with ARG45743 anti-ASK1 antibody at 2 μg/ml dilution.
-
ARG45743 anti-ASK1 antibody ICC/IF image
Immunofluorescence: MCF-7 stained with ARG45743 anti-ASK1 antibody at 5 μg/ml dilution.
-
ARG45743 anti-ASK1 antibody WB image
Western blot: THP-1 stained with ARG45743 anti-ASK1 antibody at 0.5 μg/ml dilution.
-
ARG45743 anti-ASK1 antibody FACS image
Flow Cytometry: Raji stained with ARG45743 anti-ASK1 antibody at 1 µg/10^6 cells dilution.
-
ARG45743 anti-ASK1 antibody WB image
Western blot: Rat liver stained with ARG45743 anti-ASK1 antibody at 0.5 μg/ml dilution.
-
ARG45743 anti-ASK1 antibody WB image
Western blot: Mouse liver stained with ARG45743 anti-ASK1 antibody at 0.5 μg/ml dilution.
