ARG45816
anti-ASAH1 antibody
anti-ASAH1 antibody for ICC/IF,IHC-Formalin-fixed paraffin-embedded sections,Western blot and Human,Mouse,Rat
概述
| 产品描述 | Rabbit Polyclonal antibody recognizes ASAH1 |
|---|---|
| 反应物种 | Hu, Ms, Rat |
| 应用 | ICC/IF, IHC-P, WB |
| 宿主 | Rabbit |
| 克隆 | Polyclonal |
| 同位型 | IgG |
| 靶点名称 | ASAH1 |
| 抗原物种 | Human |
| 抗原 | Recombinant protein containing to human ASAH1. |
| 偶联标记 | Un-conjugated |
| 別名 | ASAH1; N-acylsphingosine amidohydrolase (acid ceramidase) 1; AC; ASAH; Acid ceramidase; PHP32; Putative 32 kDa heart protein; EC 3.5.1.23; N-acylsphingosine amidohydrolase; SMAPME; Acylsphingosine deacylase; Acid CDase; PHP; ACDase |
应用说明
| 应用建议 |
|
||||||||
|---|---|---|---|---|---|---|---|---|---|
| 应用说明 | * The dilutions indicate recommended starting dilutions and the optimal dilutions or concentrations should be determined by the scientist. | ||||||||
| 实际分子量 | 45 kDa |
属性
| 形式 | Liquid |
|---|---|
| 纯化 | Affinity purified |
| 缓冲液 | 0.2% Na2HPO4, 0.9% NaCl, 0.05% Sodium azide and 4% Trehalose. |
| 抗菌剂 | 0.05% Sodium azide |
| 稳定剂 | 4% Trehalose |
| 浓度 | 0.5 mg/ml |
| 存放说明 | For continuous use, store undiluted antibody at 2-8°C for up to a week. For long-term storage, aliquot and store at -20°C or below. Storage in frost free freezers is not recommended. Avoid repeated freeze/thaw cycles. Suggest spin the vial prior to opening. The antibody solution should be gently mixed before use. |
| 注意事项 | For laboratory research only, not for drug, diagnostic or other use. |
生物信息
| 数据库连接 | |
|---|---|
| 基因名称 | ASAH1 |
| 全名 | N-acylsphingosine amidohydrolase (acid ceramidase) 1 |
| 背景介绍 | This gene encodes a heterodimeric protein consisting of a nonglycosylated alpha subunit and a glycosylated beta subunit that is cleaved to the mature enzyme posttranslationally. The encoded protein catalyzes the synthesis and degradation of ceramide into sphingosine and fatty acid. Mutations in this gene have been associated with a lysosomal storage disorder known as Farber disease. Multiple transcript variants encoding several distinct isoforms have been identified for this gene. [provided by RefSeq, Jul 2008] |
| 生物功能 | Hydrolyzes the sphingolipid ceramide into sphingosine and free fatty acid. [UniProt] |
| 细胞定位 | Lysosome. [UniProt] |
| 预测分子量 | 45 kDa |
| 翻译后修饰 | Disulfide bond; Glycoprotein. [UniProt] |
检测图片 (6) Click the Picture to Zoom In
-
ARG45816 anti-ASAH1 antibody IHC-P image
Immunohistochemistry: Human melanoma stained with ARG45816 anti-ASAH1 antibody at 1 μg/ml dilution.
-
ARG45816 anti-ASAH1 antibody ICC/IF image
Immunofluorescence: Hela stained with ARG45816 anti-ASAH1 antibody at 5 μg/ml dilution.
-
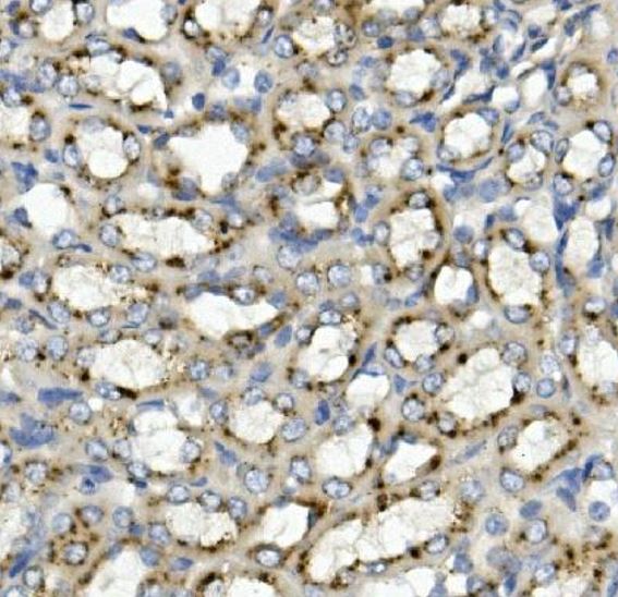
ARG45816 anti-ASAH1 antibody IHC-P image
Immunohistochemistry: Mouse kidney stained with ARG45816 anti-ASAH1 antibody at 1 μg/ml dilution.
-
ARG45816 anti-ASAH1 antibody WB image
Western blot: Hela stained with ARG45816 anti-ASAH1 antibody at 0.5 μg/ml dilution.
-
ARG45816 anti-ASAH1 antibody WB image
Western blot: Rat heart stained with ARG45816 anti-ASAH1 antibody at 0.5 μg/ml dilution.
-
ARG45816 anti-ASAH1 antibody WB image
Western blot: Mouse heart stained with ARG45816 anti-ASAH1 antibody at 0.5 μg/ml dilution.
