ARG66604
anti-ARNT2 antibody
anti-ARNT2 antibody for ICC/IF,IHC-Formalin-fixed paraffin-embedded sections,Western blot and Human
概述
| 产品描述 | Rabbit Polyclonal antibody recognizes ARNT2 |
|---|---|
| 反应物种 | Hu |
| 应用 | ICC/IF, IHC-P, WB |
| 宿主 | Rabbit |
| 克隆 | Polyclonal |
| 同位型 | IgG |
| 靶点名称 | ARNT2 |
| 抗原物种 | Human |
| 抗原 | Synthetic peptide within aa. 40-120 of Human ARNT2. |
| 偶联标记 | Un-conjugated |
| 別名 | WEDAS; Class E basic helix-loop-helix protein 1; ARNT protein 2; bHLHe1; Aryl hydrocarbon receptor nuclear translocator 2 |
应用说明
| 应用建议 |
|
||||||||
|---|---|---|---|---|---|---|---|---|---|
| 应用说明 | IHC-P: Antigen Retrieval: High-pressure and temperature Tris-EDTA buffer (pH 8.0). * The dilutions indicate recommended starting dilutions and the optimal dilutions or concentrations should be determined by the scientist. |
||||||||
| 实际分子量 | ~ 80 kDa |
属性
| 形式 | Liquid |
|---|---|
| 纯化 | Affinity purification with immunogen. |
| 缓冲液 | PBS, 0.02% Sodium azide, 50% Glycerol and 0.5% BSA. |
| 抗菌剂 | 0.02% Sodium azide |
| 稳定剂 | 50% Glycerol and 0.5% BSA |
| 浓度 | 1 mg/ml |
| 存放说明 | For continuous use, store undiluted antibody at 2-8°C for up to a week. For long-term storage, aliquot and store at -20°C. Storage in frost free freezers is not recommended. Avoid repeated freeze/thaw cycles. Suggest spin the vial prior to opening. The antibody solution should be gently mixed before use. |
| 注意事项 | For laboratory research only, not for drug, diagnostic or other use. |
生物信息
| 数据库连接 |
Swiss-port # Q9HBZ2 Human Aryl hydrocarbon receptor nuclear translocator 2 |
|---|---|
| 基因名称 | ARNT2 |
| 全名 | aryl-hydrocarbon receptor nuclear translocator 2 |
| 背景介绍 | This gene encodes a member of the basic-helix-loop-helix-Per-Arnt-Sim (bHLH-PAS) superfamily of transcription factors. The encoded protein acts as a partner for several sensor proteins of the bHLH-PAS family, forming heterodimers with the sensor proteins that bind regulatory DNA sequences in genes responsive to developmental and environmental stimuli. Under hypoxic conditions, the encoded protein complexes with hypoxia-inducible factor 1alpha in the nucleus and this complex binds to hypoxia-responsive elements in enhancers and promoters of oxygen-responsive genes. A highly similar protein in mouse forms functional complexes with both aryl hydrocarbon receptors and Single-minded proteins, suggesting additional roles for the encoded protein in the metabolism of xenobiotic compounds and the regulation of neurogenesis, respectively. [provided by RefSeq, Dec 2013] |
| 生物功能 | Transcription factor that plays a role in the development of the hypothalamo-pituitary axis, postnatal brain growth, and visual and renal function. Specifically recognizes the xenobiotic response element (XRE). [UniProt] |
| 细胞定位 | Nucleus. [UniProt] |
| 预测分子量 | 79 kDa |
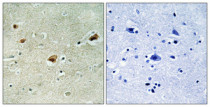
检测图片 (2) Click the Picture to Zoom In
-
ARG66604 anti-ARNT2 antibody IHC-P image
Immunohistochemistry: Paraffin-embedded Human brain tissue stained with ARG66604 anti-ARNT2 antibody at 1:100 dilution (4°C, overnight). Antigen Retrieval: High-pressure and temperature Tris-EDTA buffer (pH 8.0). Negative control (right) was pre-absorbed by immunogen peptide.
-
ARG66604 anti-ARNT2 antibody WB image
Western blot: Jurkat and 293 cell lysates stained with ARG66604 anti-ARNT2 antibody. The lane on the right was blocked with the synthetic peptide.
