ARG43276
anti-ARL8B antibody
anti-ARL8B antibody for IHC-Formalin-fixed paraffin-embedded sections,Western blot and Human,Mouse
概述
| 产品描述 | Rabbit Polyclonal antibody recognizes ARL8B |
|---|---|
| 反应物种 | Hu, Ms |
| 应用 | IHC-P, WB |
| 宿主 | Rabbit |
| 克隆 | Polyclonal |
| 同位型 | IgG |
| 靶点名称 | ARL8B |
| 抗原物种 | Human |
| 抗原 | Recombinant protein corresponding to aa. 20-186 of Human ARL8B. |
| 偶联标记 | Un-conjugated |
| 別名 | Novel small G protein indispensable for equal chromosome segregation 1; ARL10C; ADP-ribosylation factor-like protein 8B; Gie1; ADP-ribosylation factor-like protein 10C |
应用说明
| 应用建议 |
|
||||||
|---|---|---|---|---|---|---|---|
| 应用说明 | * The dilutions indicate recommended starting dilutions and the optimal dilutions or concentrations should be determined by the scientist. | ||||||
| 阳性对照 | Mouse brain, NIH/3T3 and Jurkat | ||||||
| 实际分子量 | ~ 22 kDa |
属性
| 形式 | Liquid |
|---|---|
| 纯化 | Caprylic acid ammonium sulfate precipitation purified. |
| 缓冲液 | 0.01 M PBS (pH 7.4), 0.03% Proclin 300 and 50% Glycerol. |
| 抗菌剂 | 0.03% Proclin 300 |
| 稳定剂 | 50% Glycerol |
| 存放说明 | For continuous use, store undiluted antibody at 2-8°C for up to a week. For long-term storage, aliquot and store at -20°C. Storage in frost free freezers is not recommended. Avoid repeated freeze/thaw cycles. Suggest spin the vial prior to opening. The antibody solution should be gently mixed before use. |
| 注意事项 | For laboratory research only, not for drug, diagnostic or other use. |
生物信息
| 数据库连接 |
Swiss-port # Q9CQW2 Mouse ADP-ribosylation factor-like protein 8B Swiss-port # Q9NVJ2 Human ADP-ribosylation factor-like protein 8B |
|---|---|
| 基因名称 | ARL8B |
| 全名 | ADP-ribosylation factor-like 8B |
| 生物功能 | Plays a role in lysosome motility (PubMed:16537643, PubMed:25898167). In neurons, mediates the anterograde axonal long-range transport of presynaptic lysosome-related vesicles required for presynaptic biogenesis and synaptic function (By similarity). May play a role in chromosome segregation (PubMed:15331635). [UniProt] |
| 细胞定位 | Late endosome membrane. Lysosome membrane. Cytoplasm, cytoskeleton, spindle. Note=Localizes with microtubules at the spindle mid-zone during mitosis. [UniProt] |
| 预测分子量 | 22 kDa |
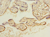
检测图片 (2) Click the Picture to Zoom In
-
ARG43276 anti-ARL8B antibody IHC-P image
Immunohistochemistry: Paraffin-embedded Human placenta tissue stained with ARG43276 anti-ARL8B antibody at 1:100 dilution.
-
ARG43276 anti-ARL8B antibody WB image
Western blot: Mouse brain, NIH/3T3 and Jurkat whole cell lysates stained with ARG43276 anti-ARL8B antibody at 4 µg/ml dilution.
