ARG45542
anti-ARL6IP6 antibody
anti-ARL6IP6 antibody for Flow cytometry,ICC/IF,IHC-Formalin-fixed paraffin-embedded sections,Western blot and Human,Mouse,Rat
概述
| 产品描述 | Rabbit Polyclonal antibody recognizes ARL6IP6 |
|---|---|
| 反应物种 | Hu, Ms, Rat |
| 应用 | FACS, ICC/IF, IHC-P, WB |
| 宿主 | Rabbit |
| 克隆 | Polyclonal |
| 同位型 | IgG |
| 靶点名称 | ARL6IP6 |
| 抗原物种 | Human |
| 抗原 | Synthetic peptide corresponding to middle region of human ARL6IP6. |
| 偶联标记 | Un-conjugated |
| 別名 | ARL6IP6; ARF Like GTPase 6 Interacting Protein 6; ADP Ribosylation Factor Like GTPase 6 Interacting Protein 6; ADP-Ribosylation Factor-Like Protein 6-Interacting Protein 6; ADP-Ribosylation Factor-Like 6 Interacting Protein 6; Phosphonoformate Immuno-Associated Protein 1; ARL-6-Interacting Protein 6; MGC33864; PFAAP1; ADP-Ribosylation Factor GTPase 6 Interacting Protein 6; ADP-Ribosylation-Like Factor 6 Interacting Protein 6; Regulated By Phosphonoformate; AIP-6; Aip-6; AIP6 |
应用说明
| 应用建议 |
|
||||||||||
|---|---|---|---|---|---|---|---|---|---|---|---|
| 应用说明 | * The dilutions indicate recommended starting dilutions and the optimal dilutions or concentrations should be determined by the scientist. | ||||||||||
| 实际分子量 | 22 kDa |
属性
| 形式 | Liquid |
|---|---|
| 纯化 | Affinity purified |
| 缓冲液 | 0.2% Na2HPO4, 0.9% NaCl and 4% Trehalose. |
| 稳定剂 | 4% Trehalose |
| 浓度 | 0.5 mg/ml |
| 存放说明 | For continuous use, store undiluted antibody at 2-8°C for up to a week. For long-term storage, aliquot and store at -20°C or below. Storage in frost free freezers is not recommended. Avoid repeated freeze/thaw cycles. Suggest spin the vial prior to opening. The antibody solution should be gently mixed before use. |
| 注意事项 | For laboratory research only, not for drug, diagnostic or other use. |
生物信息
| 数据库连接 | |
|---|---|
| 基因名称 | ARL6IP6 |
| 全名 | ARF Like GTPase 6 Interacting Protein 6 |
| 背景介绍 | Predicted to be located in nuclear inner membrane. [provided by Alliance of Genome Resources, Feb 2025] |
| 细胞定位 | Membrane; Nucleus. [UniProt] |
| 预测分子量 | 25 kDa |
| 翻译后修饰 | Phosphoprotein. [UniProt] |
检测图片 (6) Click the Picture to Zoom In
-
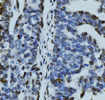
ARG45542 anti-ARL6IP6 antibody IHC-P image
Immunohistochemistry: Human bladder epithelial carcinoma stained with ARG45542 anti-ARL6IP6 antibody at 2 μg/ml dilution.
-
ARG45542 anti-ARL6IP6 antibody ICC/IF image
Immunofluorescence: CACO-2 stained with ARG45542 anti-ARL6IP6 antibody at 5 μg/ml dilution.
-
ARG45542 anti-ARL6IP6 antibody WB image
Western blot: 293T stained with ARG45542 anti-ARL6IP6 antibody at 0.5 μg/ml dilution.
-
ARG45542 anti-ARL6IP6 antibody FACS image
Flow Cytometry: HEPA1-6 stained with ARG45542 anti-ARL6IP6 antibody at 1 µg/10^6 cells dilution.
-
ARG45542 anti-ARL6IP6 antibody WB image
Western blot: Rat lung stained with ARG45542 anti-ARL6IP6 antibody at 0.5 μg/ml dilution.
-
ARG45542 anti-ARL6IP6 antibody WB image
Western blot: Mouse lung stained with ARG45542 anti-ARL6IP6 antibody at 0.5 μg/ml dilution.
