ARG45502
anti-ARHGEF7 antibody
anti-ARHGEF7 antibody for Flow cytometry,ICC/IF,IHC-Formalin-fixed paraffin-embedded sections,Western blot and Human,Mouse,Rat
概述
| 产品描述 | Rabbit Polyclonal antibody recognizes ARHGEF7 |
|---|---|
| 反应物种 | Hu, Ms, Rat |
| 应用 | FACS, ICC/IF, IHC-P, WB |
| 宿主 | Rabbit |
| 克隆 | Polyclonal |
| 同位型 | IgG |
| 靶点名称 | ARHGEF7 |
| 抗原物种 | Human |
| 抗原 | Recombinant protein containing to human ARHGEF7. |
| 偶联标记 | Un-conjugated |
| 別名 | PAK-interacting exchange factor beta; COOL-1; COOL1; P50BP; BETA-PIX; Rho guanine nucleotide exchange factor 7; P85; P85SPR; P85COOL1; p85; Nbla10314; PAK3; P50; Beta-Pix; PIXB |
应用说明
| 应用建议 |
|
||||||||||
|---|---|---|---|---|---|---|---|---|---|---|---|
| 应用说明 | * The dilutions indicate recommended starting dilutions and the optimal dilutions or concentrations should be determined by the scientist. | ||||||||||
| 实际分子量 | 80 kDa |
属性
| 形式 | Liquid |
|---|---|
| 纯化 | Affinity purified |
| 缓冲液 | 0.2% Na2HPO4, 0.9% NaCl and 4% Trehalose. |
| 稳定剂 | 4% Trehalose |
| 浓度 | 0.5 mg/ml |
| 存放说明 | For continuous use, store undiluted antibody at 2-8°C for up to a week. For long-term storage, aliquot and store at -20°C or below. Storage in frost free freezers is not recommended. Avoid repeated freeze/thaw cycles. Suggest spin the vial prior to opening. The antibody solution should be gently mixed before use. |
| 注意事项 | For laboratory research only, not for drug, diagnostic or other use. |
生物信息
| 数据库连接 | |
|---|---|
| 基因名称 | ARHGEF7 |
| 全名 | Rho guanine nucleotide exchange factor (GEF) 7 |
| 背景介绍 | Rho GTPases play a fundamental role in numerous cellular processes triggered by extracellular stimuli that work through G protein coupled receptors. The encoded protein belongs to a family of cytoplasmic proteins that activate the Ras-like family of Rho proteins by exchanging bound GDP for GTP. It forms a complex with the small GTP binding protein Rac1 and recruits Rac1 to membrane ruffles and to focal adhesions. This protein can induce membrane ruffling. Multiple alternatively spliced transcript variants encoding different isoforms have been described for this gene. [provided by RefSeq, Jul 2008] |
| 生物功能 | Acts as a RAC1 guanine nucleotide exchange factor (GEF) and can induce membrane ruffling. Functions in cell migration, attachment and cell spreading. Promotes targeting of RAC1 to focal adhesions (By similarity). May function as a positive regulator of apoptosis. Downstream of NMDA receptors and CaMKK-CaMK1 signaling cascade, promotes the formation of spines and synapses in hippocampal neurons. [UniProt] |
| 细胞定位 | Cell junction; Cell projection; Cytoplasm. [UniProt] |
| 预测分子量 | 90 kDa |
| 翻译后修饰 | Phosphorylated by PTK2/FAK1; this promotes interaction with RAC1 (By similarity). Phosphorylated on Ser-694 by CaMK1; enhancement of GEF activity and downstream activation of RAC1. [UniProt] |
检测图片 (6) Click the Picture to Zoom In
-
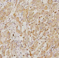
ARG45502 anti-ARHGEF7 antibody IHC-P image
Immunohistochemistry: Human lung adenocarcinoma stained with ARG45502 anti-ARHGEF7 antibody at 2 μg/ml dilution.
-
ARG45502 anti-ARHGEF7 antibody ICC/IF image
Immunofluorescence: Hela stained with ARG45502 anti-ARHGEF7 antibody at 5 μg/ml dilution.
-
ARG45502 anti-ARHGEF7 antibody WB image
Western blot: Hela stained with ARG45502 anti-ARHGEF7 antibody at 0.5 μg/ml dilution.
-
ARG45502 anti-ARHGEF7 antibody FACS image
Flow Cytometry: THP-1 stained with ARG45502 anti-ARHGEF7 antibody at 1 µg/10^6 cells dilution.
-
ARG45502 anti-ARHGEF7 antibody WB image
Western blot: PC-12 stained with ARG45502 anti-ARHGEF7 antibody at 0.5 μg/ml dilution.
-
ARG45502 anti-ARHGEF7 antibody WB image
Western blot: Mouse skeletal muscle stained with ARG45502 anti-ARHGEF7 antibody at 0.5 μg/ml dilution.
