ARG41184
anti-ARHGAP44 antibody
anti-ARHGAP44 antibody for Western blot and Human,Mouse,Rat
概述
| 产品描述 | Rabbit Polyclonal antibody recognizes ARHGAP44 |
|---|---|
| 反应物种 | Hu, Ms, Rat |
| 应用 | WB |
| 宿主 | Rabbit |
| 克隆 | Polyclonal |
| 同位型 | IgG |
| 靶点名称 | ARHGAP44 |
| 抗原物种 | Human |
| 抗原 | Recombinant fusion protein corresponding to aa. 666-772 of Human ARHGAP44 (NP_055674.4). |
| 偶联标记 | Un-conjugated |
| 別名 | RICH2; RICH-2; RhoGAP interacting with CIP4 homologs protein 2; Rho-type GTPase-activating protein RICH2; Rho GTPase-activating protein 44; NPC-A-10 |
应用说明
| 应用建议 |
|
||||
|---|---|---|---|---|---|
| 应用说明 | * The dilutions indicate recommended starting dilutions and the optimal dilutions or concentrations should be determined by the scientist. | ||||
| 实际分子量 | 110 kDa |
属性
| 形式 | Liquid |
|---|---|
| 纯化 | Affinity purified. |
| 缓冲液 | PBS (pH 7.3), 0.02% Sodium azide and 50% Glycerol. |
| 抗菌剂 | 0.02% Sodium azide |
| 稳定剂 | 50% Glycerol |
| 存放说明 | For continuous use, store undiluted antibody at 2-8°C for up to a week. For long-term storage, aliquot and store at -20°C. Storage in frost free freezers is not recommended. Avoid repeated freeze/thaw cycles. Suggest spin the vial prior to opening. The antibody solution should be gently mixed before use. |
| 注意事项 | For laboratory research only, not for drug, diagnostic or other use. |
生物信息
| 数据库连接 | |
|---|---|
| 基因名称 | ARHGAP44 |
| 全名 | Rho GTPase activating protein 44 |
| 生物功能 | GTPase-activating protein (GAP) that stimulates the GTPase activity of Rho-type GTPases. Thereby, controls Rho-type GTPases cycling between their active GTP-bound and inactive GDP-bound states. May act as a GAP for CDC42 and RAC1. Endosomal recycling protein which, in association with SHANK3, is involved in synaptic plasticity. Promotes GRIA1 exocytosis from recycling endosomes and spine morphological changes associated to long-term potentiation. [UniProt] |
| 细胞定位 | Cell projection, dendritic spine. Recycling endosome. Cell junction, synapse. Note=In CA1 hippocampal synapses, detected at both presynaptic and postsynaptic sites. [UniProt] |
| 预测分子量 | 89 kDa |
检测图片 (3) Click the Picture to Zoom In
-
ARG41184 anti-ARHGAP44 antibody WB image
Western blot: MCF7 stained with ARG41184 anti-ARHGAP44 antibody at 1:1000 dilution.
-
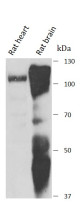
ARG41184 anti-ARHGAP44 antibody WB image
Western blot: Rat Heart and Rat Brain stained with ARG41184 anti-ARHGAP44 antibody at 1:1000 dilution.
-
ARG41184 anti-ARHGAP44 antibody WB image
Western blot: Mouse Heart and Mouse Lung stained with ARG41184 anti-ARHGAP44 antibody at 1:1000 dilution.
