ARG41166
anti-ARHGAP25 antibody
anti-ARHGAP25 antibody for ICC/IF,IHC-Formalin-fixed paraffin-embedded sections,Western blot and Human,Mouse
概述
| 产品描述 | Rabbit Polyclonal antibody recognizes ARHGAP25 |
|---|---|
| 反应物种 | Hu, Ms |
| 应用 | ICC/IF, IHC-P, WB |
| 宿主 | Rabbit |
| 克隆 | Polyclonal |
| 同位型 | IgG |
| 靶点名称 | ARHGAP25 |
| 抗原物种 | Human |
| 抗原 | Recombinant fusion protein corresponding to aa. 1-370 of Human ARHGAP25 (NP_001159748.1). |
| 偶联标记 | Un-conjugated |
| 別名 | Rho-type GTPase-activating protein 25; KAIA0053; HEL-S-308; Rho GTPase-activating protein 25 |
应用说明
| 应用建议 |
|
||||||||
|---|---|---|---|---|---|---|---|---|---|
| 应用说明 | * The dilutions indicate recommended starting dilutions and the optimal dilutions or concentrations should be determined by the scientist. | ||||||||
| 阳性对照 | OVCAR3 | ||||||||
| 实际分子量 | 70 kDa |
属性
| 形式 | Liquid |
|---|---|
| 纯化 | Affinity purified. |
| 缓冲液 | PBS (pH 7.3), 0.02% Sodium azide and 50% Glycerol. |
| 抗菌剂 | 0.02% Sodium azide |
| 稳定剂 | 50% Glycerol |
| 存放说明 | For continuous use, store undiluted antibody at 2-8°C for up to a week. For long-term storage, aliquot and store at -20°C. Storage in frost free freezers is not recommended. Avoid repeated freeze/thaw cycles. Suggest spin the vial prior to opening. The antibody solution should be gently mixed before use. |
| 注意事项 | For laboratory research only, not for drug, diagnostic or other use. |
生物信息
| 数据库连接 | |
|---|---|
| 基因名称 | ARHGAP25 |
| 全名 | Rho GTPase activating protein 25 |
| 背景介绍 | ARHGAPs, such as ARHGAP25, encode negative regulators of Rho GTPases (see ARHA; MIM 165390), which are implicated in actin remodeling, cell polarity, and cell migration (Katoh and Katoh, 2004 [PubMed 15254788]).[supplied by OMIM, Mar 2008] |
| 生物功能 | GTPase activator for the Rho-type GTPases by converting them to an inactive GDP-bound state. [UniProt] |
| 预测分子量 | 73 kDa |
检测图片 (3) Click the Picture to Zoom In
-
ARG41166 anti-ARHGAP25 antibody ICC/IF image
Immunofluorescence: L929 cells stained with ARG41166 anti-ARHGAP25 antibody at 1:100 dilution.
-
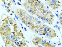
ARG41166 anti-ARHGAP25 antibody IHC-P image
Immunohistochemistry: Paraffin-embedded Human gastric tissue stained with ARG41166 anti-ARHGAP25 antibody at 1:100 dilution.
-
ARG41166 anti-ARHGAP25 antibody WB image
Western blot: 25 µg of OVCAR3 cell lysate stained with ARG41166 anti-ARHGAP25 antibody at 1:1000 dilution.
