ARG42925
anti-API5 / FIF antibody
anti-API5 / FIF antibody for ICC/IF,IHC-Frozen sections,IHC-Formalin-fixed paraffin-embedded sections,Western blot and Human,Mouse,Rat
概述
| 产品描述 | Rabbit Polyclonal antibody recognizes API5 / FIF |
|---|---|
| 反应物种 | Hu, Ms, Rat |
| 应用 | ICC/IF, IHC-Fr, IHC-P, WB |
| 宿主 | Rabbit |
| 克隆 | Polyclonal |
| 同位型 | IgG |
| 靶点名称 | API5 / FIF |
| 抗原物种 | Human |
| 抗原 | Synthetic peptide corresponding to aa. 487-504 of Human API5 / FIF. (KYSSNLGNFNYERSLQGK) |
| 偶联标记 | Un-conjugated |
| 別名 | Apoptosis inhibitor 5; Antiapoptosis clone 11 protein; API-5; AAC11; Protein XAGL; AAC-11; FIF; Fibroblast growth factor 2-interacting factor; Cell migration-inducing gene 8 protein |
应用说明
| 应用建议 |
|
||||||||||
|---|---|---|---|---|---|---|---|---|---|---|---|
| 应用说明 | IHC-P: Antigen Retrieval: Heat mediation was performed in Citrate buffer (pH 6.0) for 20 min. * The dilutions indicate recommended starting dilutions and the optimal dilutions or concentrations should be determined by the scientist. |
||||||||||
| 实际分子量 | ~ 55 kDa |
属性
| 形式 | Liquid |
|---|---|
| 纯化 | Affinity purification with immunogen. |
| 缓冲液 | 0.2% Na2HPO4, 0.9% NaCl, 0.05% Thimerosal, 0.05% Sodium azide and 5% BSA. |
| 抗菌剂 | 0.05% Thimerosal and 0.05% Sodium azide |
| 稳定剂 | 5% BSA |
| 浓度 | 0.5 mg/ml |
| 存放说明 | For continuous use, store undiluted antibody at 2-8°C for up to a week. For long-term storage, aliquot and store at -20°C or below. Storage in frost free freezers is not recommended. Avoid repeated freeze/thaw cycles. Suggest spin the vial prior to opening. The antibody solution should be gently mixed before use. |
| 注意事项 | For laboratory research only, not for drug, diagnostic or other use. |
生物信息
| 数据库连接 | |
|---|---|
| 基因名称 | API5 |
| 全名 | apoptosis inhibitor 5 |
| 背景介绍 | This gene encodes an apoptosis inhibitory protein whose expression prevents apoptosis after growth factor deprivation. This protein suppresses the transcription factor E2F1-induced apoptosis and also interacts with, and negatively regulates Acinus, a nuclear factor involved in apoptotic DNA fragmentation. Its depletion enhances the cytotoxic action of the chemotherapeutic drugs. Multiple alternatively spliced transcript variants encoding different isoforms have been identified. [provided by RefSeq, Aug 2011] |
| 生物功能 | Antiapoptotic factor that may have a role in protein assembly. Negatively regulates ACIN1. By binding to ACIN1, it suppresses ACIN1 cleavage from CASP3 and ACIN1-mediated DNA fragmentation. Also known to efficiently suppress E2F1-induced apoptosis. Its depletion enhances the cytotoxic action of the chemotherapeutic drugs. [UniProt] |
| 细胞定位 | Nucleus. Cytoplasm. Note=Mainly nuclear. Can also be cytoplasmic. Isoform 3: Cytoplasm. [UniProt] |
| 预测分子量 | 59 kDa |
| 翻译后修饰 | Acetylation at Lys-251 impairs antiapoptotic function. [UniProt] |
检测图片 (7) Click the Picture to Zoom In
-
ARG42925 anti-API5 / FIF antibody ICC image
Immunocytochemistry: HeLa cells stained with ARG42925 anti-API5 / FIF antibody.
-
ARG42925 anti-API5 / FIF antibody IHC-P image
Immunohistochemistry: Paraffin-embedded Rat brain tissue stained with ARG42925 anti-API5 / FIF antibody.
-
ARG42925 anti-API5 / FIF antibody WB image
Western blot: Rat cardiac muscle, Rat brain, Rat testis, Rat placenta, MCF7, HeLa, CEM and SMMC-7721 cell lysates stained with ARG42925 anti-API5 / FIF antibody.
-
ARG42925 anti-API5 / FIF antibody IHC-Fr image
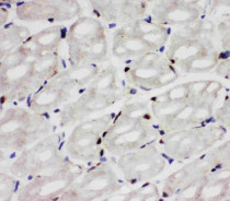
Immunohistochemistry: Frozen section of Rat cardiac muscle tissue stained with ARG42925 anti-API5 / FIF antibody.
-
ARG42925 anti-API5 / FIF antibody IHC-P image
Immunohistochemistry: Paraffin-embedded Human placenta tissue. Antigen Retrieval: Heat mediation was performed in Citrate buffer (pH 6.0) for 20 min. The tissue section was blocked with 10% goat serum. The tissue section was then stained with ARG42925 anti-API5 / FIF antibody at 1 µg/ml dilution, overnight at 4°C.
-
ARG42925 anti-API5 / FIF antibody IHC-P image
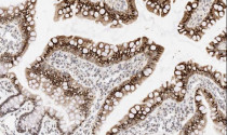
Immunohistochemistry: Paraffin-embedded Rat intestines tissue. Antigen Retrieval: Heat mediation was performed in Citrate buffer (pH 6.0) for 20 min. The tissue section was blocked with 10% goat serum. The tissue section was then stained with ARG42925 anti-API5 / FIF antibody at 1 µg/ml dilution, overnight at 4°C.
-
ARG42925 anti-API5 / FIF antibody IHC-P image
Immunohistochemistry: Paraffin-embedded Mouse intestines tissue. Antigen Retrieval: Heat mediation was performed in Citrate buffer (pH 6.0) for 20 min. The tissue section was blocked with 10% goat serum. The tissue section was then stained with ARG42925 anti-API5 / FIF antibody at 1 µg/ml dilution, overnight at 4°C.
