ARG64243
anti-APH1A antibody
anti-APH1A antibody for IHC-Formalin-fixed paraffin-embedded sections,Western blot and Human
Developmental Biology antibody; Neuroscience antibody; Signaling Transduction antibody
概述
| 产品描述 | Goat Polyclonal antibody recognizes APH1A |
|---|---|
| 反应物种 | Hu |
| 预测物种 | Ms, Rat, Cow, Dog, Pig |
| 应用 | IHC-P, WB |
| 特异性 | This antibody is expected to recognize isoform 1 (NP_001071096.1) and isoform 2 (NP_057106.2). |
| 宿主 | Goat |
| 克隆 | Polyclonal |
| 同位型 | IgG |
| 靶点名称 | APH1A |
| 抗原物种 | Human |
| 抗原 | C-HVTDRSDARLQYG |
| 偶联标记 | Un-conjugated |
| 別名 | APH-1A; APH-1a; 6530402N02Rik; APH-1; CGI-78; Gamma-secretase subunit APH-1A; Presenilin-stabilization factor; Aph-1alpha |
应用说明
| 应用建议 |
|
||||||
|---|---|---|---|---|---|---|---|
| 应用说明 | WB: Recommend incubate at RT for 1h. IHC-P: Antigen Retrieval: Steam tissue section in Citrate buffer (pH 6.0). * The dilutions indicate recommended starting dilutions and the optimal dilutions or concentrations should be determined by the scientist. |
属性
| 形式 | Liquid |
|---|---|
| 纯化 | Purified from goat serum by antigen affinity chromatography. |
| 缓冲液 | Tris saline (pH 7.3), 0.02% Sodium azide and 0.5% BSA. |
| 抗菌剂 | 0.02% Sodium azide |
| 稳定剂 | 0.5% BSA |
| 浓度 | 0.5 mg/ml |
| 存放说明 | For continuous use, store undiluted antibody at 2-8°C for up to a week. For long-term storage, aliquot and store at -20°C or below. Storage in frost free freezers is not recommended. Avoid repeated freeze/thaw cycles. Suggest spin the vial prior to opening. The antibody solution should be gently mixed before use. |
| 注意事项 | For laboratory research only, not for drug, diagnostic or other use. |
生物信息
| 数据库连接 | |
|---|---|
| 背景介绍 | This gene encodes a component of the gamma secretase complex that cleaves integral membrane proteins such as Notch receptors and beta-amyloid precursor protein. The gamma secretase complex contains this gene product, or the paralogous anterior pharynx defective 1 homolog B (APH1B), along with the presenilin, nicastrin, and presenilin enhancer-2 proteins. The precise function of this seven-transmembrane-domain protein is unknown though it is suspected of facilitating the association of nicastrin and presenilin in the gamma secretase complex as well as interacting with substrates of the gamma secretase complex prior to their proteolytic processing. Polymorphisms in a promoter region of this gene have been associated with an increased risk for developing sporadic Alzheimer's disease. Alternative splicing results in multiple protein-coding and non-protein-coding transcript variants. [provided by RefSeq, Aug 2011] |
| 研究领域 | Developmental Biology antibody; Neuroscience antibody; Signaling Transduction antibody |
| 预测分子量 | 29 kDa |
检测图片 (3) Click the Picture to Zoom In
-
ARG64243 anti-APH1A antibody WB image
Western Blot: Human Brain (Cerebral Cortex) lysate (35 µg protein in RIPA buffer) stained with ARG64243 anti-APH1A antibody at 0.05 µg/ml dilution.
-
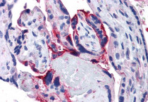
ARG64243 anti-APH1A antibody IHC-P image
Immunohistochemistry: Paraffin-embedded Human placenta tissue. Antigen Retrieval: Steam tissue section in Citrate buffer (pH 6.0). The tissue section was stained with ARG64243 anti-APH1A antibody at 5 µg/ml dilution followed by AP-staining.
-
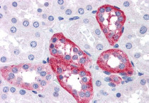
ARG64243 anti-APH1A antibody IHC-P image
Immunohistochemistry: Paraffin-embedded Human kidney tissue. Antigen Retrieval: Steam tissue section in Citrate buffer (pH 6.0). The tissue section was stained with ARG64243 anti-APH1A antibody at 5 µg/ml dilution followed by AP-staining.
