ARG63971
anti-AMPH / Amphiphysin antibody
anti-AMPH / Amphiphysin antibody for IHC-Formalin-fixed paraffin-embedded sections,Western blot and Human,Mouse
Immune System antibody; Neuroscience antibody
概述
| 产品描述 | Goat Polyclonal antibody recognizes AMPH / Amphiphysin |
|---|---|
| 反应物种 | Hu, Ms |
| 预测物种 | Dog, Rat |
| 应用 | IHC-P, WB |
| 特异性 | This antibody is expected to recognise both reported isoforms (NP_001626.1 and NP_647477.1). |
| 宿主 | Goat |
| 克隆 | Polyclonal |
| 同位型 | IgG |
| 靶点名称 | AMPH / Amphiphysin |
| 抗原物种 | Human |
| 抗原 | C-KRKDESRISKAE |
| 偶联标记 | Un-conjugated |
| 別名 | Amphiphysin; AMPH1 |
应用说明
| 应用建议 |
|
||||||
|---|---|---|---|---|---|---|---|
| 应用说明 | IHC-P: Antigen Retrieval: Steam tissue section in Citrate buffer (pH 6.0). WB: Recommend incubate at RT for 1h. * The dilutions indicate recommended starting dilutions and the optimal dilutions or concentrations should be determined by the scientist. |
属性
| 形式 | Liquid |
|---|---|
| 纯化 | Purified from goat serum by antigen affinity chromatography. |
| 缓冲液 | Tris saline (pH 7.3), 0.02% Sodium azide and 0.5% BSA. |
| 抗菌剂 | 0.02% Sodium azide |
| 稳定剂 | 0.5% BSA |
| 浓度 | 0.5 mg/ml |
| 存放说明 | For continuous use, store undiluted antibody at 2-8°C for up to a week. For long-term storage, aliquot and store at -20°C or below. Storage in frost free freezers is not recommended. Avoid repeated freeze/thaw cycles. Suggest spin the vial prior to opening. The antibody solution should be gently mixed before use. |
| 注意事项 | For laboratory research only, not for drug, diagnostic or other use. |
生物信息
| 数据库连接 | |
|---|---|
| 背景介绍 | This gene encodes a protein associated with the cytoplasmic surface of synaptic vesicles. A subset of patients with stiff-man syndrome who were also affected by breast cancer are positive for autoantibodies against this protein. Alternate splicing of this gene results in two transcript variants encoding different isoforms. Additional splice variants have been described, but their full length sequences have not been determined. A pseudogene of this gene is found on chromosome 11.[provided by RefSeq, Nov 2010] |
| 研究领域 | Immune System antibody; Neuroscience antibody |
| 预测分子量 | 76 kDa |
检测图片 (2) Click the Picture to Zoom In
-
ARG63971 anti-AMPH / Amphiphysin antibody WB image
Western blot: Mouse brain lysate (35 µg protein in RIPA buffer) stained with ARG63971 anti-AMPH / Amphiphysin antibody at 0.5 µg/ml dilution.
-
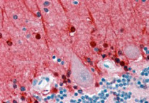
ARG63971 anti-AMPH / Amphiphysin antibody IHC-P image
Immunohistochemistry: Paraffin embedded Human Cerebellum. (Steamed antigen retrieval with citrate buffer pH 6) stained with ARG63971 anti-AMPH / Amphiphysin antibody at 2.5 µg/ml dilution followed by AP-staining.
