ARG45604
anti-AMPD1 antibody
anti-AMPD1 antibody for Flow cytometry,IHC-Formalin-fixed paraffin-embedded sections,Western blot and Human,Mouse,Rat
概述
| 产品描述 | Rabbit Polyclonal antibody recognizes AMPD1 |
|---|---|
| 反应物种 | Hu, Ms, Rat |
| 应用 | FACS, IHC-P, WB |
| 宿主 | Rabbit |
| 克隆 | Polyclonal |
| 同位型 | IgG |
| 靶点名称 | AMPD1 |
| 抗原物种 | Human |
| 抗原 | Recombinant protein containing to human AMPD1. |
| 偶联标记 | Un-conjugated |
| 別名 | AMPD1; Adenosine Monophosphate Deaminase 1; Myoadenylate Deaminase; MADA; MAD; Adenosine Monophosphate Deaminase 1 (Isoform M); Skeletal Muscle AMPD; AMP Deaminase 1; EC 3.5.4.6; Adenosine Monophosphate Deaminase-1 (Muscle); AMP Deaminase Isoform M; AMPD Isoform M; MMDD; AMPD |
应用说明
| 应用建议 |
|
||||||||
|---|---|---|---|---|---|---|---|---|---|
| 应用说明 | * The dilutions indicate recommended starting dilutions and the optimal dilutions or concentrations should be determined by the scientist. |
属性
| 形式 | Liquid |
|---|---|
| 纯化 | Affinity purified |
| 缓冲液 | 0.2% Na2HPO4, 0.9% NaCl and 4% Trehalose. |
| 稳定剂 | 4% Trehalose |
| 浓度 | 0.5 mg/ml |
| 存放说明 | For continuous use, store undiluted antibody at 2-8°C for up to a week. For long-term storage, aliquot and store at -20°C or below. Storage in frost free freezers is not recommended. Avoid repeated freeze/thaw cycles. Suggest spin the vial prior to opening. The antibody solution should be gently mixed before use. |
| 注意事项 | For laboratory research only, not for drug, diagnostic or other use. |
生物信息
| 数据库连接 | |
|---|---|
| 基因名称 | AMPD1 |
| 全名 | Adenosine Monophosphate Deaminase 1 |
| 背景介绍 | Adenosine monophosphate deaminase 1 catalyzes the deamination of AMP to IMP in skeletal muscle and plays an important role in the purine nucleotide cycle. Two other genes have been identified, AMPD2 and AMPD3, for the liver- and erythocyte-specific isoforms, respectively. Deficiency of the muscle-specific enzyme is apparently a common cause of exercise-induced myopathy and probably the most common cause of metabolic myopathy in the human. Alternatively spliced transcript variants encoding different isoforms have been identified in this gene.[provided by RefSeq, Feb 2010] |
| 生物功能 | AMP deaminase plays a critical role in energy metabolism. [UniProt] |
| 细胞定位 | Cytosol. [UniProt] |
| 预测分子量 | 63 kDa |
| 翻译后修饰 | Phosphoprotein. [UniProt] |
检测图片 (5) Click the Picture to Zoom In
-
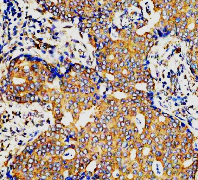
ARG45604 anti-AMPD1 antibody IHC-P image
Immunohistochemistry: Human breast cancer stained with ARG45604 anti-AMPD1 antibody at 2 μg/ml dilution.
-
ARG45604 anti-AMPD1 antibody WB image
Western blot: MCF-7 stained with ARG45604 anti-AMPD1 antibody at 0.5 μg/ml dilution.
-
ARG45604 anti-AMPD1 antibody FACS image
Flow Cytometry: U251 stained with ARG45604 anti-AMPD1 antibody at 1 µg/10^6 cells dilution.
-
ARG45604 anti-AMPD1 antibody WB image
Western blot: Rat heart stained with ARG45604 anti-AMPD1 antibody at 0.5 μg/ml dilution.
-
ARG45604 anti-AMPD1 antibody WB image
Western blot: Mouse skeletal muscle stained with ARG45604 anti-AMPD1 antibody at 0.5 μg/ml dilution.
