ARG58212
anti-AMD1 antibody
anti-AMD1 antibody for IHC-Formalin-fixed paraffin-embedded sections and Human,Mouse,Rat
概述
| 产品描述 | Rabbit Polyclonal antibody recognizes AMD1 |
|---|---|
| 反应物种 | Hu, Ms, Rat |
| 应用 | IHC-P |
| 宿主 | Rabbit |
| 克隆 | Polyclonal |
| 同位型 | IgG |
| 靶点名称 | AMD1 |
| 抗原物种 | Human |
| 抗原 | Synthetic peptide corresponding to a sequence of Human AMD1 (RKNFMKPSHQGYPHRNFQEEIEFLNA). |
| 偶联标记 | Un-conjugated |
| 別名 | EC 4.1.1.50; SAMDC; ADOMETDC; AMD; S-adenosylmethionine decarboxylase proenzyme; AdoMetDC |
应用说明
| 应用建议 |
|
||||
|---|---|---|---|---|---|
| 应用说明 | IHC-P: Antigen Retrieval: Heat mediated was performed in Citrate buffer (pH 6.0) for 20 min. * The dilutions indicate recommended starting dilutions and the optimal dilutions or concentrations should be determined by the scientist. |
属性
| 形式 | Liquid |
|---|---|
| 纯化 | Affinity purification with immunogen. |
| 缓冲液 | 0.9% NaCl, 0.2% Na2HPO4, 0.05% Sodium azide and 5% BSA. |
| 抗菌剂 | 0.05% Sodium azide |
| 稳定剂 | 5% BSA |
| 浓度 | 0.5 mg/ml |
| 存放说明 | For continuous use, store undiluted antibody at 2-8°C for up to a week. For long-term storage, aliquot and store at -20°C or below. Storage in frost free freezers is not recommended. Avoid repeated freeze/thaw cycles. Suggest spin the vial prior to opening. The antibody solution should be gently mixed before use. |
| 注意事项 | For laboratory research only, not for drug, diagnostic or other use. |
生物信息
| 数据库连接 | |
|---|---|
| 基因名称 | AMD1 |
| 全名 | adenosylmethionine decarboxylase 1 |
| 背景介绍 | This gene encodes an important intermediate enzyme in polyamine biosynthesis. The polyamines spermine, spermidine, and putrescine are low-molecular-weight aliphatic amines essential for cellular proliferation and tumor promotion. Multiple alternatively spliced transcript variants have been identified. Pseudogenes of this gene are found on chromosomes 5, 6, 10, X and Y. [provided by RefSeq, Dec 2013] |
| 生物功能 | Essential for biosynthesis of the polyamines spermidine and spermine. Promotes maintenance and self-renewal of embryonic stem cells, by maintaining spermine levels (By similarity). [UniProt] |
| 预测分子量 | 38 kDa |
| 翻译后修饰 | Is synthesized initially as an inactive proenzyme. Formation of the active enzyme involves a self-maturation process in which the active site pyruvoyl group is generated from an internal serine residue via an autocatalytic post-translational modification. Two non-identical subunits are generated from the proenzyme in this reaction, and the pyruvate is formed at the N-terminus of the alpha chain, which is derived from the carboxyl end of the proenzyme. The post-translation cleavage follows an unusual pathway, termed non-hydrolytic serinolysis, in which the side chain hydroxyl group of the serine supplies its oxygen atom to form the C-terminus of the beta chain, while the remainder of the serine residue undergoes an oxidative deamination to produce ammonia and the pyruvoyl group blocking the N-terminus of the alpha chain. [UniProt] |
检测图片 (5) Click the Picture to Zoom In
-
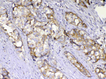
ARG58212 anti-AMD1 antibody IHC-P image
Immunohistochemistry: Paraffin-embedded Human intestinal cancer tissue. Antigen Retrieval: Heat mediated was performed in Citrate buffer (pH 6.0, epitope retrieval solution) for 20 min. The tissue section was blocked with 10% goat serum. The tissue section was then stained with ARG58212 anti-AMD1 antibody at 1 µg/ml dilution, overnight at 4°C.
-
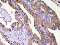
ARG58212 anti-AMD1 antibody IHC-P image
Immunohistochemistry: Paraffin-embedded Human lung cancer tissue. Antigen Retrieval: Heat mediated was performed in Citrate buffer (pH 6.0, epitope retrieval solution) for 20 min. The tissue section was blocked with 10% goat serum. The tissue section was then stained with ARG58212 anti-AMD1 antibody at 1 µg/ml dilution, overnight at 4°C.
-
ARG58212 anti-AMD1 antibody IHC-P image
Immunohistochemistry: Paraffin-embedded Mouse kidney tissue. Antigen Retrieval: Heat mediated was performed in Citrate buffer (pH 6.0, epitope retrieval solution) for 20 min. The tissue section was blocked with 10% goat serum. The tissue section was then stained with ARG58212 anti-AMD1 antibody at 1 µg/ml dilution, overnight at 4°C.
-
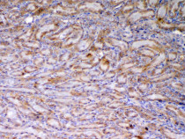
ARG58212 anti-AMD1 antibody IHC-P image
Immunohistochemistry: Paraffin-embedded Rat kidney tissue. Antigen Retrieval: Heat mediated was performed in Citrate buffer (pH 6.0, epitope retrieval solution) for 20 min. The tissue section was blocked with 10% goat serum. The tissue section was then stained with ARG58212 anti-AMD1 antibody at 1 µg/ml dilution, overnight at 4°C.
-
ARG58212 anti-AMD1 antibody IHC-P image
Immunohistochemistry: Paraffin-embedded Human mammary cancer. Antigen Retrieval: Heat mediated was performed in Citrate buffer (pH 6.0, epitope retrieval solution) for 20 min. The tissue section was blocked with 10% goat serum. The tissue section was then stained with ARG58212 anti-AMD1 antibody at 1 µg/ml dilution, overnight at 4°C.
