ARG58306
anti-ALDH7A1 antibody
anti-ALDH7A1 antibody for Flow cytometry,ICC/IF,IHC-Formalin-fixed paraffin-embedded sections,Western blot and Human,Rat
概述
| 产品描述 | Rabbit Polyclonal antibody recognizes ALDH7A1 |
|---|---|
| 反应物种 | Hu, Rat |
| 应用 | FACS, ICC/IF, IHC-P, WB |
| 宿主 | Rabbit |
| 克隆 | Polyclonal |
| 同位型 | IgG |
| 靶点名称 | ALDH7A1 |
| 抗原物种 | Human |
| 抗原 | Synthetic peptide corresponding to a sequence at the C-terminus of Human ALDH7A1 (333-369aa ARRLFIHESIHDEVVNRLKKAYAQIRVGNPWDPNVLY), different from the related Mouse sequence by eight amino acids, and from the related Rat sequence by six amino acids. |
| 偶联标记 | Un-conjugated |
| 別名 | Alpha-AASA dehydrogenase; P6c dehydrogenase; Alpha-aminoadipic semialdehyde dehydrogenase; Antiquitin-1; ATQ1; EC 1.2.1.8; Delta1-piperideine-6-carboxylate dehydrogenase; Betaine aldehyde dehydrogenase; Aldehyde dehydrogenase family 7 member A1; EC 1.2.1.31; EPD; PDE; EC 1.2.1.3 |
应用说明
| 应用建议 |
|
||||||||||
|---|---|---|---|---|---|---|---|---|---|---|---|
| 应用说明 | IHC-P: Antigen Retrieval: By heat mediation. * The dilutions indicate recommended starting dilutions and the optimal dilutions or concentrations should be determined by the scientist. |
属性
| 形式 | Liquid |
|---|---|
| 纯化 | Affinity purification with immunogen. |
| 缓冲液 | 0.9% NaCl, 0.2% Na2HPO4, 0.05% Sodium azide and 5% BSA. |
| 抗菌剂 | 0.05% Sodium azide |
| 稳定剂 | 5% BSA |
| 浓度 | 0.5 mg/ml |
| 存放说明 | For continuous use, store undiluted antibody at 2-8°C for up to a week. For long-term storage, aliquot and store at -20°C or below. Storage in frost free freezers is not recommended. Avoid repeated freeze/thaw cycles. Suggest spin the vial prior to opening. The antibody solution should be gently mixed before use. |
| 注意事项 | For laboratory research only, not for drug, diagnostic or other use. |
生物信息
| 数据库连接 |
Swiss-port # P49419 Human Alpha-aminoadipic semialdehyde dehydrogenase Swiss-port # Q64057 Rat Alpha-aminoadipic semialdehyde dehydrogenase |
|---|---|
| 基因名称 | ALDH7A1 |
| 全名 | aldehyde dehydrogenase 7 family, member A1 |
| 背景介绍 | The protein encoded by this gene is a member of subfamily 7 in the aldehyde dehydrogenase gene family. These enzymes are thought to play a major role in the detoxification of aldehydes generated by alcohol metabolism and lipid peroxidation. This particular member has homology to a previously described protein from the green garden pea, the 26g pea turgor protein. It is also involved in lysine catabolism that is known to occur in the mitochondrial matrix. Recent reports show that this protein is found both in the cytosol and the mitochondria, and the two forms likely arise from the use of alternative translation initiation sites. An additional variant encoding a different isoform has also been found for this gene. Mutations in this gene are associated with pyridoxine-dependent epilepsy. Several related pseudogenes have also been identified. [provided by RefSeq, Jan 2011] |
| 生物功能 | Multifunctional enzyme mediating important protective effects. Metabolizes betaine aldehyde to betaine, an important cellular osmolyte and methyl donor. Protects cells from oxidative stress by metabolizing a number of lipid peroxidation-derived aldehydes. Involved in lysine catabolism. [UniProt] |
| 细胞定位 | Cytoplasm, cytosol. Nucleus. [UniProt] |
| 预测分子量 | 58 kDa |
检测图片 (6) Click the Picture to Zoom In
-
ARG58306 anti-ALDH7A1 antibody ICC/IF image
Immunofluorescence: U2OS cells were blocked with 10% goat serum and then stained with ARG58306 anti-ALDH7A1 antibody (green) at 2 µg/ml dilution, overnight at 4°C. DAPI (blue) for nuclear staining.
-
ARG58306 anti-ALDH7A1 antibody IHC-P image
Immunohistochemistry: Paraffin-embedded Rat brain stained with ARG58306 anti-ALDH7A1 antibody at 1 µg/ml dilution.
-
ARG58306 anti-ALDH7A1 antibody WB image
Western blot: Rat liver extract, HEPA whole cell lysates and HeLa whole cell lysates stained with ARG58306 anti-ALDH7A1 antibody at 0.5 µg/ml dilution.
-
ARG58306 anti-ALDH7A1 antibody FACS image
Flow Cytometry: A431 cells were blocked with 10% normal goat serum and then stained with ARG58306 anti-ALDH7A1 antibody (blue) at 1 µg/10^6 cells for 30 min at 20°C, followed by incubation with DyLight®488 labelled secondary antibody. Isotype control antibody (green) was rabbit IgG (1 µg/10^6 cells) used under the same conditions. Unlabelled sample (red) was also used as a control.
-
ARG58306 anti-ALDH7A1 antibody ICC/IF image
Immunofluorescence: U2OS cells were blocked with 10% goat serum and then stained with ARG58306 anti-ALDH7A1 antibody (green) at 2 µg/ml dilution, overnight at 4°C. DAPI (blue) for nuclear staining.
-
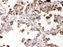
ARG58306 anti-ALDH7A1 antibody IHC-P image
Immunohistochemistry: Paraffin-embedded Human lung cancer stained with ARG58306 anti-ALDH7A1 antibody at 1 µg/ml dilution.
