ARG40467
anti-ALDH6A1 antibody [147CT8.3.4]
anti-ALDH6A1 antibody [147CT8.3.4] for ICC/IF,IHC-Formalin-fixed paraffin-embedded sections and Human
概述
| 产品描述 | Mouse Monoclonal antibody recognizes ALDH6A1 |
|---|---|
| 反应物种 | Hu |
| 应用 | ICC/IF, IHC-P |
| 宿主 | Mouse |
| 克隆 | Monoclonal |
| 克隆号 | 147CT8.3.4 |
| 同位型 | IgG1, kappa |
| 靶点名称 | ALDH6A1 |
| 抗原物种 | Human |
| 抗原 | Human ALDH6A1 recombinant protein. |
| 偶联标记 | Un-conjugated |
| 別名 | MMSDH; Malonate-semialdehyde dehydrogenase [acylating]; Aldehyde dehydrogenase family 6 member A1; Methylmalonate-semialdehyde dehydrogenase [acylating], mitochondrial; EC 1.2.1.18; EC 1.2.1.27; MMSADHA |
应用说明
| 应用建议 |
|
||||||
|---|---|---|---|---|---|---|---|
| 应用说明 | * The dilutions indicate recommended starting dilutions and the optimal dilutions or concentrations should be determined by the scientist. |
属性
| 形式 | Liquid |
|---|---|
| 纯化 | Purification with Protein G. |
| 缓冲液 | PBS and 0.09% (W/V) Sodium azide. |
| 抗菌剂 | 0.09% (W/V) Sodium azide. |
| 存放说明 | For continuous use, store undiluted antibody at 2-8°C for up to a week. For long-term storage, aliquot and store at -20°C or below. Storage in frost free freezers is not recommended. Avoid repeated freeze/thaw cycles. Suggest spin the vial prior to opening. The antibody solution should be gently mixed before use. |
| 注意事项 | For laboratory research only, not for drug, diagnostic or other use. |
生物信息
| 数据库连接 |
Swiss-port # Q02252 Human Methylmalonate-semialdehyde dehydrogenase [acylating], mitochondrial |
|---|---|
| 基因名称 | ALDH6A1 |
| 全名 | aldehyde dehydrogenase 6 family, member A1 |
| 背景介绍 | This gene encodes a member of the aldehyde dehydrogenase protein family. The encoded protein is a mitochondrial methylmalonate semialdehyde dehydrogenase that plays a role in the valine and pyrimidine catabolic pathways. This protein catalyzes the irreversible oxidative decarboxylation of malonate and methylmalonate semialdehydes to acetyl- and propionyl-CoA. Methylmalonate semialdehyde dehydrogenase deficiency is characterized by elevated beta-alanine, 3-hydroxypropionic acid, and both isomers of 3-amino and 3-hydroxyisobutyric acids in urine organic acids. Alternate splicing results in multiple transcript variants. [provided by RefSeq, Jun 2013] |
| 生物功能 | Plays a role in valine and pyrimidine metabolism. Binds fatty acyl-CoA. [UniProt] |
| 细胞定位 | Mitochondrion. [UniProt] |
| 预测分子量 | 58 kDa |
检测图片 (2) Click the Picture to Zoom In
-
ARG40467 anti-ALDH6A1 antibody ICC/IF image
Immunofluorescence: MCF7 cells stained with ARG40467 anti-ALDH6A1 antibody (green) at 1:25 dilution. DAPI (blue) for nuclear staining. Cytoplasmic actin was counterstained with Alexa Fluor® 555 conjugated with Phalloidin (red).
-
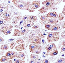
ARG40467 anti-ALDH6A1 antibody IHC-P image
Immunohistochemistry: Paraffin-embedded Human liver tissue stained with ARG40467 anti-ALDH6A1 antibody at 1:25 dilution.
