ARG65260
anti-ALDH3A1 antibody
anti-ALDH3A1 antibody for IHC-Formalin-fixed paraffin-embedded sections,Western blot and Human,Mouse
Cell Biology and Cellular Response antibody; Metabolism antibody; Neuroscience antibody; Signaling Transduction antibody
概述
| 产品描述 | Goat Polyclonal antibody recognizes ALDH3A1 |
|---|---|
| 反应物种 | Hu, Ms |
| 应用 | IHC-P, WB |
| 特异性 | Reported variants represent identical protein: NP_001128639.1, NP_000682.3, NP_001128640.1 |
| 宿主 | Goat |
| 克隆 | Polyclonal |
| 同位型 | IgG |
| 靶点名称 | ALDH3A1 |
| 抗原物种 | Human |
| 抗原 | C-RYPPSPAKMTQH |
| 偶联标记 | Un-conjugated |
| 別名 | Aldehyde dehydrogenase, dimeric NADP-preferring; EC 1.2.1.5; ALDHIII; Aldehyde dehydrogenase family 3 member A1; Aldehyde dehydrogenase 3; ALDH3 |
应用说明
| 应用建议 |
|
||||||
|---|---|---|---|---|---|---|---|
| 应用说明 | IHC-P: Antigen Retrieval: Steam tissue section in Citrate buffer (pH 6.0). WB: Recommend incubate at RT for 1h. * The dilutions indicate recommended starting dilutions and the optimal dilutions or concentrations should be determined by the scientist. |
属性
| 形式 | Liquid |
|---|---|
| 纯化 | Purified from goat serum by antigen affinity chromatography. |
| 缓冲液 | Tris saline (pH 7.3), 0.02% Sodium azide and 0.5% BSA. |
| 抗菌剂 | 0.02% Sodium azide |
| 稳定剂 | 0.5% BSA |
| 浓度 | 0.5 mg/ml |
| 存放说明 | For continuous use, store undiluted antibody at 2-8°C for up to a week. For long-term storage, aliquot and store at -20°C or below. Storage in frost free freezers is not recommended. Avoid repeated freeze/thaw cycles. Suggest spin the vial prior to opening. The antibody solution should be gently mixed before use. |
| 注意事项 | For laboratory research only, not for drug, diagnostic or other use. |
生物信息
| 数据库连接 |
Swiss-port # P30838 Human Aldehyde dehydrogenase, dimeric NADP-preferring Swiss-port # P47739 Mouse Aldehyde dehydrogenase, dimeric NADP-preferring |
|---|---|
| 背景介绍 | Aldehyde dehydrogenases oxidize various aldehydes to the corresponding acids. They are involved in the detoxification of alcohol-derived acetaldehyde and in the metabolism of corticosteroids, biogenic amines, neurotransmitters, and lipid peroxidation. The enzyme encoded by this gene forms a cytoplasmic homodimer that preferentially oxidizes aromatic and medium-chain (6 carbons or more) saturated and unsaturated aldehyde substrates. It is thought to promote resistance to UV and 4-hydroxy-2-nonenal-induced oxidative damage in the cornea. The gene is located within the Smith-Magenis syndrome region on chromosome 17. Multiple alternatively spliced variants, encoding the same protein, have been identified. [provided by RefSeq, Sep 2008] |
| 研究领域 | Cell Biology and Cellular Response antibody; Metabolism antibody; Neuroscience antibody; Signaling Transduction antibody |
| 预测分子量 | 50 kDa |
检测图片 (2) Click the Picture to Zoom In
-
ARG65260 anti-ALDH3A1 antibody WB image
Western Blot: Mouse Eye lysate (35 µg protein in RIPA buffer) stained with ARG65260 anti-ALDH3A1 antibody at 0.01 µg/ml dilution.
-
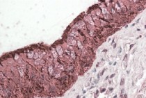
ARG65260 anti-ALDH3A1 antibody IHC-P image
Immunohistochemistry: paraffin embedded Human Lung. (Steamed antigen retrieval with citrate buffer pH 6) stained with ARG65260 anti-ALDH3A1 antibody at 3.8 µg/ml dilution followed by AP-staining.
