ARG45594
anti-AKR1B10 antibody
anti-AKR1B10 antibody for ICC/IF,IHC-Formalin-fixed paraffin-embedded sections,Western blot and Human
概述
| 产品描述 | Rabbit Polyclonal antibody recognizes AKR1B10 |
|---|---|
| 反应物种 | Hu |
| 应用 | ICC/IF, IHC-P, WB |
| 宿主 | Rabbit |
| 克隆 | Polyclonal |
| 同位型 | IgG |
| 靶点名称 | AKR1B10 |
| 抗原物种 | Human |
| 抗原 | Synthetic peptide corresponding to C-terminal region of human AKR1B10. |
| 偶联标记 | Un-conjugated |
| 別名 | AKR1B10; aldo-keto reductase family 1, member B10 (aldose reductase); ARP; AKR1B12; AKR1B11; HIS; ARL-1; Aldo-keto reductase family 1 member B10; ARL1; HSI; SI reductase; ALDRLn; EC 1.1.1.-; Aldose reductase-like; Small intestine reductase; Aldose reductase-related protein; hARP |
应用说明
| 应用建议 |
|
||||||||
|---|---|---|---|---|---|---|---|---|---|
| 应用说明 | * The dilutions indicate recommended starting dilutions and the optimal dilutions or concentrations should be determined by the scientist. | ||||||||
| 实际分子量 | 36 kDa |
属性
| 形式 | Liquid |
|---|---|
| 纯化 | Affinity purified |
| 缓冲液 | 0.9% NaCl, 0.2% Na2HPO4, 0.05% Sodium azide and 4% Trehalose. |
| 抗菌剂 | 0.05% Sodium azide |
| 稳定剂 | 4% Trehalose |
| 浓度 | 0.5 mg/ml |
| 存放说明 | For continuous use, store undiluted antibody at 2-8°C for up to a week. For long-term storage, aliquot and store at -20°C or below. Storage in frost free freezers is not recommended. Avoid repeated freeze/thaw cycles. Suggest spin the vial prior to opening. The antibody solution should be gently mixed before use. |
| 注意事项 | For laboratory research only, not for drug, diagnostic or other use. |
生物信息
| 数据库连接 |
Swiss-port # O60218 Human Aldo-keto reductase family 1 member B10 |
|---|---|
| 基因名称 | AKR1B10 |
| 全名 | aldo-keto reductase family 1, member B10 (aldose reductase) |
| 背景介绍 | This gene encodes a member of the aldo/keto reductase superfamily, which consists of more than 40 known enzymes and proteins. This member can efficiently reduce aliphatic and aromatic aldehydes, and it is less active on hexoses. It is highly expressed in adrenal gland, small intestine, and colon, and may play an important role in liver carcinogenesis. [provided by RefSeq, Jul 2008] |
| 生物功能 | Acts as all-trans-retinaldehyde reductase. Can efficiently reduce aliphatic and aromatic aldehydes, and is less active on hexoses (in vitro). May be responsible for detoxification of reactive aldehydes in the digested food before the nutrients are passed on to other organs. [UniProt] |
| 细胞定位 | Lysosome; Secreted. [UniProt] |
| 预测分子量 | 36 kDa |
| 翻译后修饰 | Acetylation. [UniProt] |
检测图片 (3) Click the Picture to Zoom In
-
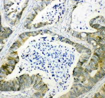
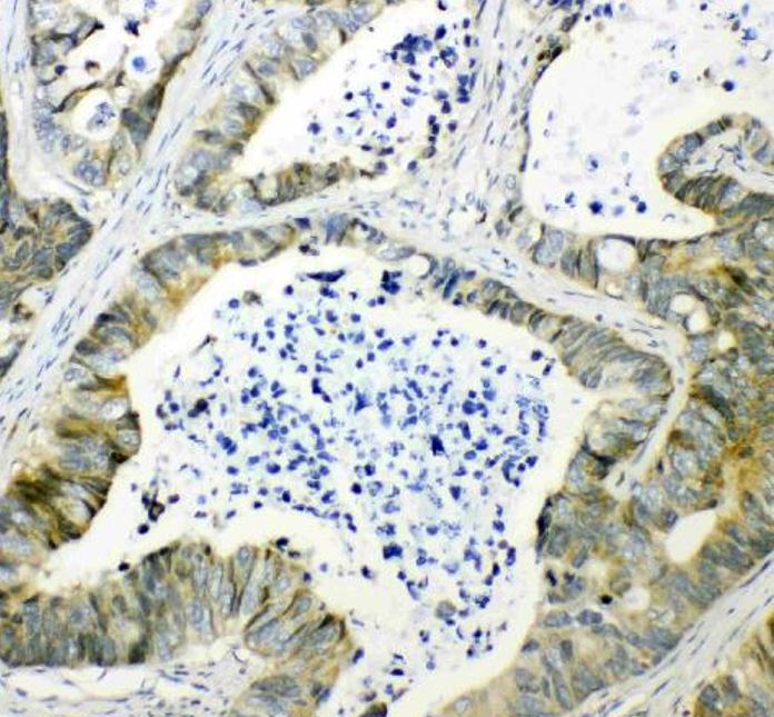
ARG45594 anti-AKR1B10 antibody IHC-P image
Immunohistochemistry: Human intestinal cancer stained with ARG45594 anti-AKR1B10 antibody at 1 μg/ml dilution.
-
ARG45594 anti-AKR1B10 antibody ICC/IF image
Immunofluorescence: A549 stained with ARG45594 anti-AKR1B10 antibody at 5 μg/ml dilution.
-
ARG45594 anti-AKR1B10 antibody WB image
Western blot: A549 stained with ARG45594 anti-AKR1B10 antibody at 0.5 μg/ml dilution.
